ORIGINAL RESEARCH article
Front. Oncol.
Sec. Gastrointestinal Cancers: Gastric and Esophageal Cancers
Immune Mediation Between Sarcopenia, Performance Status, and Survival in Gastric Cancer Patients Undergoing Radical Resection
Provisionally accepted- 1Neijiang Normal University, Neijiang, China
- 2Harbin Medical University Cancer Hospital, Harbin, China
- 3The Affiliated Hospital of Southwest Medical University, Luzhou, China
Select one of your emails
You have multiple emails registered with Frontiers:
Notify me on publication
Please enter your email address:
If you already have an account, please login
You don't have a Frontiers account ? You can register here
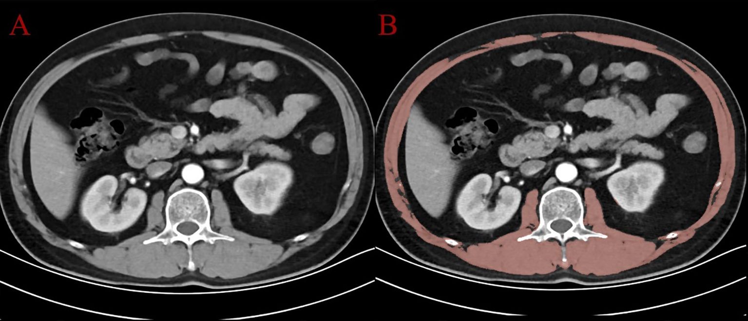
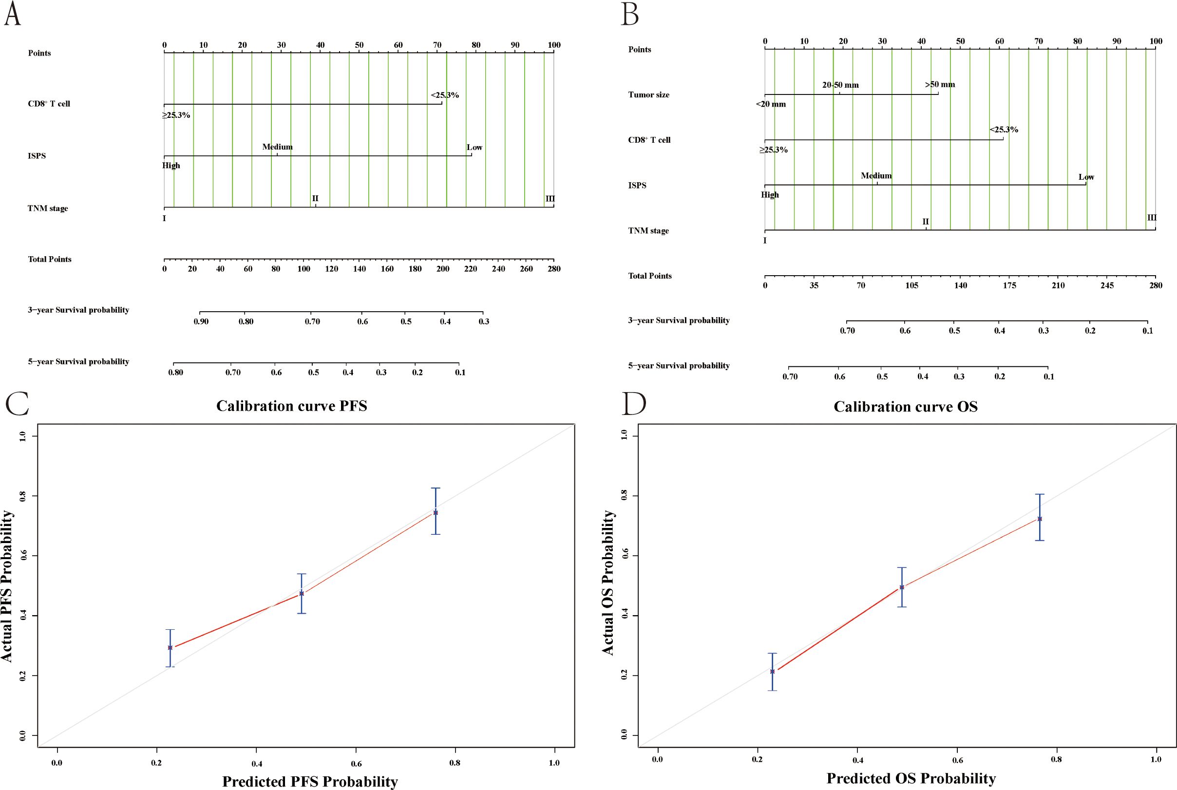
Objective: This study aimed to explore the combined impact of sarcopenia and physical performance on immune status and prognosis in patients with resectable gastric cancer, and to evaluate the mediating role of immune function. Methods: A retrospective cohort of 413 patients undergoing radical gastrectomy was analyzed. Sarcopenia was assessed by skeletal muscle index (SMI) on CT, and physical performance by ECOG score. Patients were stratified into ISPS (Integrated Sarcopenia and Performance Status) high, medium, and low groups. Peripheral lymphocyte subsets were measured preoperatively. Kaplan–Meier curves, Cox regression, and mediation analysis were used to examine survival and immune interactions. Prognostic nomograms were constructed based on independent variables. Results: Lower ISPS scores were significantly associated with reduced CD3⁺, CD8⁺, and NK cells. Survival analysis showed that the ISPS-Low group had significantly worse progression-free survival (PFS, χ² = 27.36, P < 0.001) and overall survival (OS, χ² = 31.54, P < 0.001). ISPS and CD8⁺ T cell levels were independent predictors of both PFS and OS. Mediation analysis indicated that CD8⁺ T cells partially mediated the effect of ISPS on survival, accounting for approximately 24% of the total effect. Nomograms incorporating ISPS, immune status, TNM stage, and tumor size demonstrated good predictive performance (C-index: 0.732 for PFS, 0.718 for OS). Conclusion: Sarcopenia and poor functional status are linked to impaired immunity and unfavorable outcomes in gastric cancer. Immune status may partially explain this relationship. ISPS may serve as a useful prognostic tool, and integrating physical and immune assessments could improve prognostic evaluation and support personalized perioperative strategies.
Keywords: gastric cancer, Sarcopenia, immune status, prognosis, Lymphocyte Subsets
Received: 21 Jul 2025; Accepted: 18 Nov 2025.
Copyright: © 2025 Diao, Wang, Wang and He. This is an open-access article distributed under the terms of the Creative Commons Attribution License (CC BY). The use, distribution or reproduction in other forums is permitted, provided the original author(s) or licensor are credited and that the original publication in this journal is cited, in accordance with accepted academic practice. No use, distribution or reproduction is permitted which does not comply with these terms.
* Correspondence: Lijuan He, 15181993200@163.com
Disclaimer: All claims expressed in this article are solely those of the authors and do not necessarily represent those of their affiliated organizations, or those of the publisher, the editors and the reviewers. Any product that may be evaluated in this article or claim that may be made by its manufacturer is not guaranteed or endorsed by the publisher.
