CASE REPORT article
Front. Oncol.
Sec. Gastrointestinal Cancers: Hepato Pancreatic Biliary Cancers
This article is part of the Research TopicIntrahepatic Cholangiocarcinoma: Emerging Insights from Pathobiology to Clinical Translation – Innovative Strategies, Challenges, and OpportunitiesView all 12 articles
A case of intrahepatic bile duct papillary tumor with invasive adenocarcinoma in a young patient and review of the literature
Provisionally accepted- Peking University First Hospital, Bejing, China
Select one of your emails
You have multiple emails registered with Frontiers:
Notify me on publication
Please enter your email address:
If you already have an account, please login
You don't have a Frontiers account ? You can register here
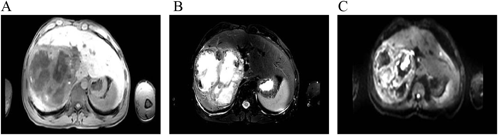
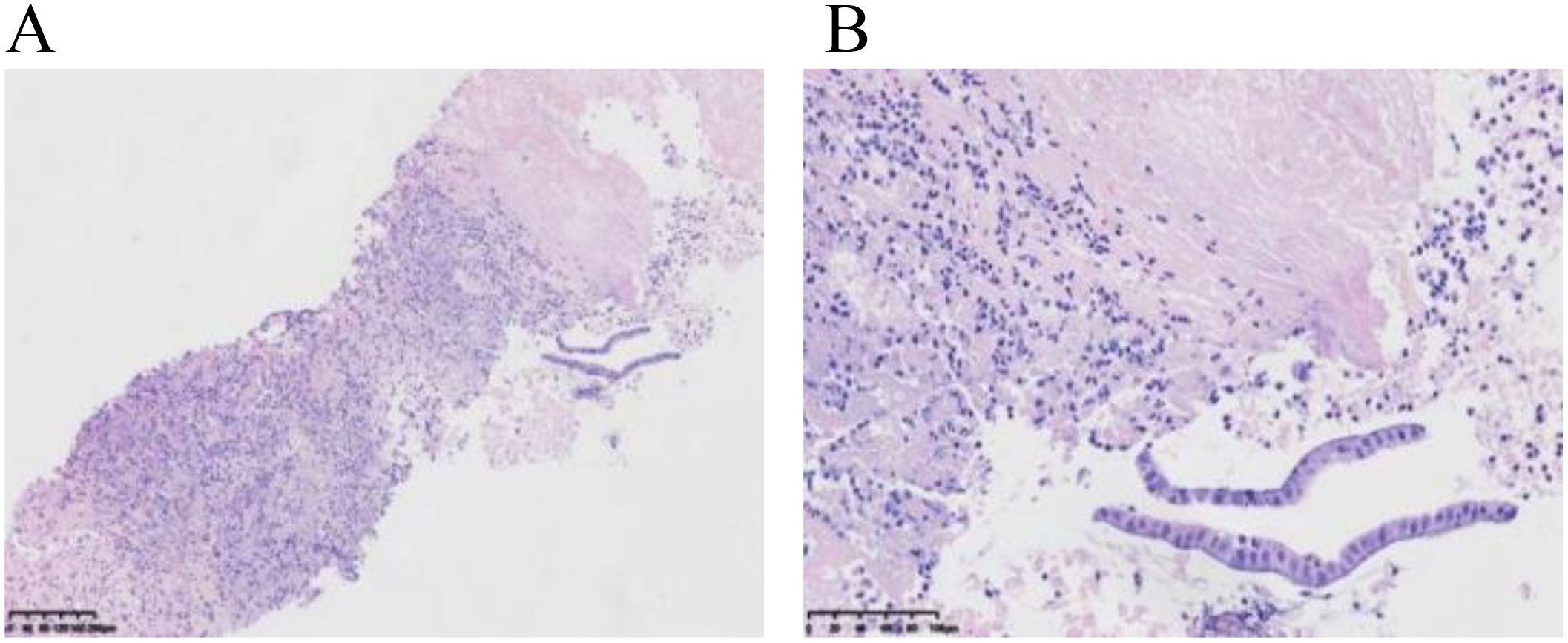
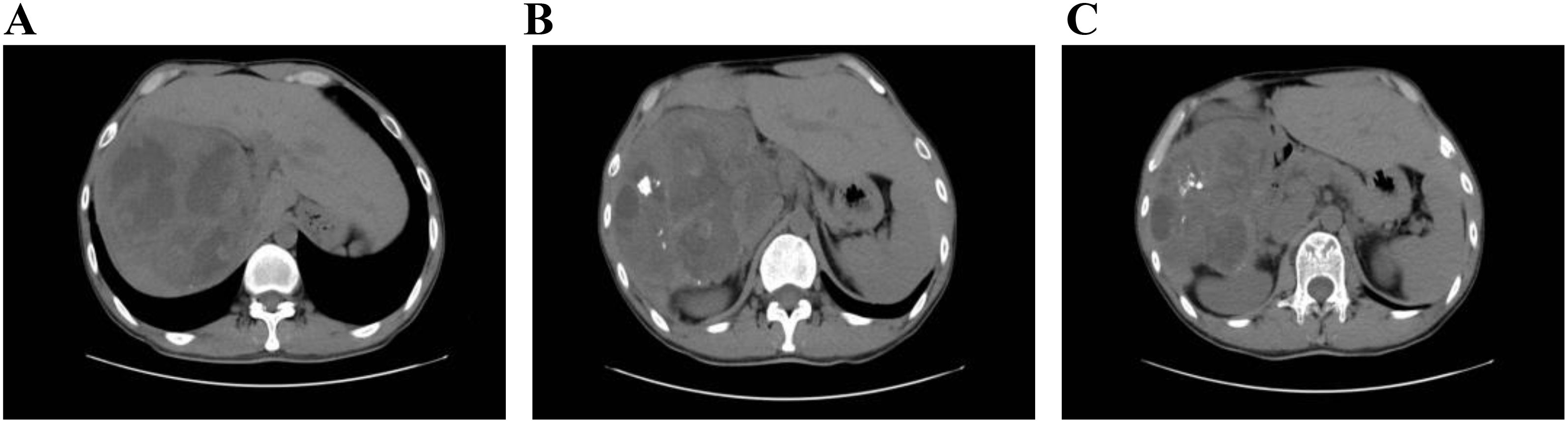
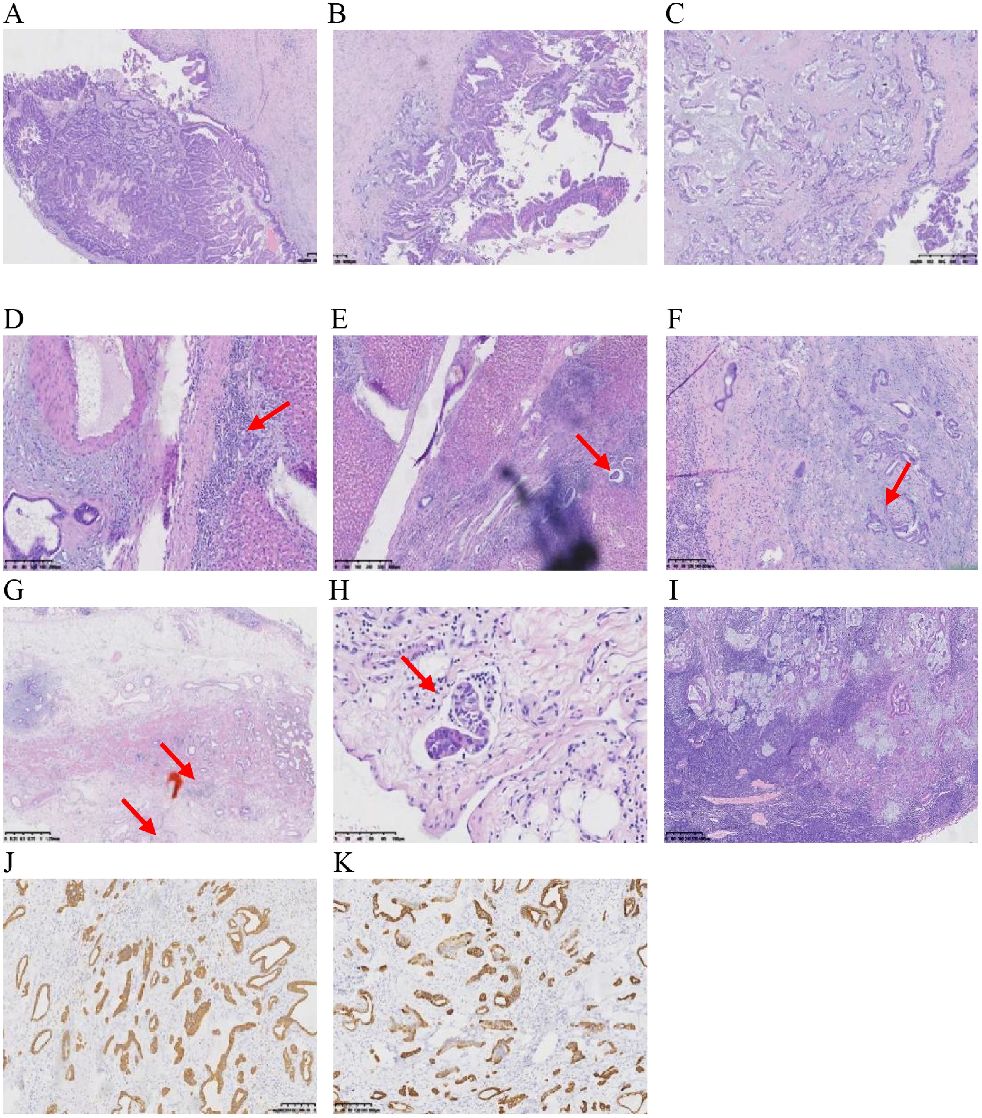
Introduction: Intrahepatic papillary neoplasm of the bile duct (IPNB) with invasive carcinoma is a rare cholangiocarcinoma with most frequent site of origin being intrahepatic bile ducts. Given its rarity and nonspecific clinical presentations, accurate diagnosis plagues clinicians to improve patient outcomes. Case presentation: We present a case of a 31-year-old male who initially exhibited fever. Routine ultrasonography and computed tomography (CT) revealed a large mass in the right liver lobe, suggesting a high likelihood of an infectious lesion. However, multidisciplinary discussion offered a variety of possible scenarios. The patient subsequently underwent an extend right hepatectomy (ERH), and histopathological examination suggested a intrahepatic IPNB with invasive adenocarcinoma. Clinical discussion: The diagnosis and management of IPNB remain challenging, particularly in patients who present with atypical clinical symptoms and lack significant abnormalities in laboratory tests. Early imaging plays a critical role in guiding the diagnostic process. However, a comprehensive diagnostic speculations, clinical expertise, and even invasive detections are essential for establishing a definitive diagnosis and determining the appropriate treatment strategy. Given the potential to invasive carcinoma, early detection and resection are vital to improve prognosis.
Keywords: Intrahepatic papillary neoplasm of the bile duct, diagnosis, prognosis, Fever, Carcinoma
Received: 21 Jul 2025; Accepted: 10 Nov 2025.
Copyright: © 2025 Hu, Wan, Hong, Liang and Wang. This is an open-access article distributed under the terms of the Creative Commons Attribution License (CC BY). The use, distribution or reproduction in other forums is permitted, provided the original author(s) or licensor are credited and that the original publication in this journal is cited, in accordance with accepted academic practice. No use, distribution or reproduction is permitted which does not comply with these terms.
* Correspondence: Yan Wang, wangyanwang@126.com
Disclaimer: All claims expressed in this article are solely those of the authors and do not necessarily represent those of their affiliated organizations, or those of the publisher, the editors and the reviewers. Any product that may be evaluated in this article or claim that may be made by its manufacturer is not guaranteed or endorsed by the publisher.
