CASE REPORT article
Front. Oncol.
Sec. Neuro-Oncology and Neurosurgical Oncology
This article is part of the Research TopicImproving neurosurgical precision: leveraging technology for enhanced visualization and navigation of complex neuroanatomyView all 11 articles
A rare case of bone destructive Sacrococcygeal Chordoma presenting as anal distension
Provisionally accepted- The First Affiliated Hospital of Anhui University of Chinese Medicine, Anhui, China
Select one of your emails
You have multiple emails registered with Frontiers:
Notify me on publication
Please enter your email address:
If you already have an account, please login
You don't have a Frontiers account ? You can register here
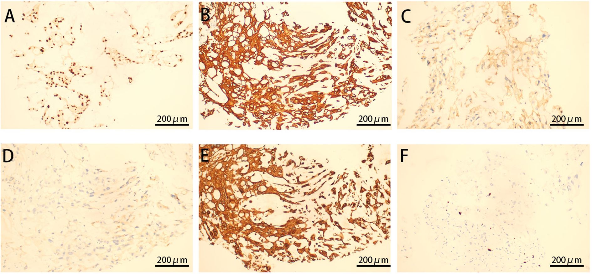
Various pathologies, environmental factors, and medications can cause anal distension. Sacrococcygeal chordoma is a rare tumor originating from the remnants of the primitive spinal cord. Nonetheless, only a few case reports of anal swelling caused by sacrococcygeal chordoma have been published. This article reports a female patient with a history of mastectomy due to breast cancer who presented with anal swelling and was finally diagnosed with sacrococcygeal chordoma. The patient experienced anal swelling and discomfort that worsened at night. A smooth, oval-shaped mass was palpable in the rectum, 4 cm from the anal verge near the coccyx. The mass was tender and no blood was found on the glove after examination. A mass shadow was observed in and around the S2-5 vertebrae according to MRI. Immunohistochemical analysis revealed strong positivity for vimentin(VIM), cytokeratin(CK) AE1/AE3, epithelial, embrane antigen(EMA), and S-100 protein. The cytogenetic marker SMARCB1/INI1 was positive but not missing, and the Ki-67 proliferation index was approximately 5%. These findings confirmed the diagnosis of sacrococcygeal chordoma. This article aims to expand the knowledge about sacrococcygeal chordoma and its pathogenesis. Notably, chordoma can exclusively cause anal swelling, and clinicians should consider differential diagnosis in practice.
Keywords: Sacrococcygeal chordoma, anal distension, Sacral nerve, Radiotherapy, Surgery
Received: 24 Jul 2025; Accepted: 25 Nov 2025.
Copyright: © 2025 Mei, Li, Tang, Tang, Wang, Cheng, Chen, Wu, Wang and Wang. This is an open-access article distributed under the terms of the Creative Commons Attribution License (CC BY). The use, distribution or reproduction in other forums is permitted, provided the original author(s) or licensor are credited and that the original publication in this journal is cited, in accordance with accepted academic practice. No use, distribution or reproduction is permitted which does not comply with these terms.
* Correspondence:
Jiuxiang Wang
Jianming Wang
Disclaimer: All claims expressed in this article are solely those of the authors and do not necessarily represent those of their affiliated organizations, or those of the publisher, the editors and the reviewers. Any product that may be evaluated in this article or claim that may be made by its manufacturer is not guaranteed or endorsed by the publisher.
