REVIEW article
Front. Oncol.
Sec. Cancer Molecular Targets and Therapeutics
This article is part of the Research TopicExosomes in Renal Cell Cancer: A New Era in Diagnosis and TreatmentView all 4 articles
Microfluidics and Molecular Diagnostics in Renal Cell Carcinoma: Advances, Challenges, and Future Directions
Provisionally accepted- 1Alfaisal University College of Medicine, Riyadh, Saudi Arabia
- 2Alfaisal University College of Pharmacy, Riyadh, Saudi Arabia
- 3King Faisal Specialist Hospital & Research Centre - Jeddah, Jeddah, Saudi Arabia
- 4Alfaisal University, Riyadh, Saudi Arabia
Select one of your emails
You have multiple emails registered with Frontiers:
Notify me on publication
Please enter your email address:
If you already have an account, please login
You don't have a Frontiers account ? You can register here
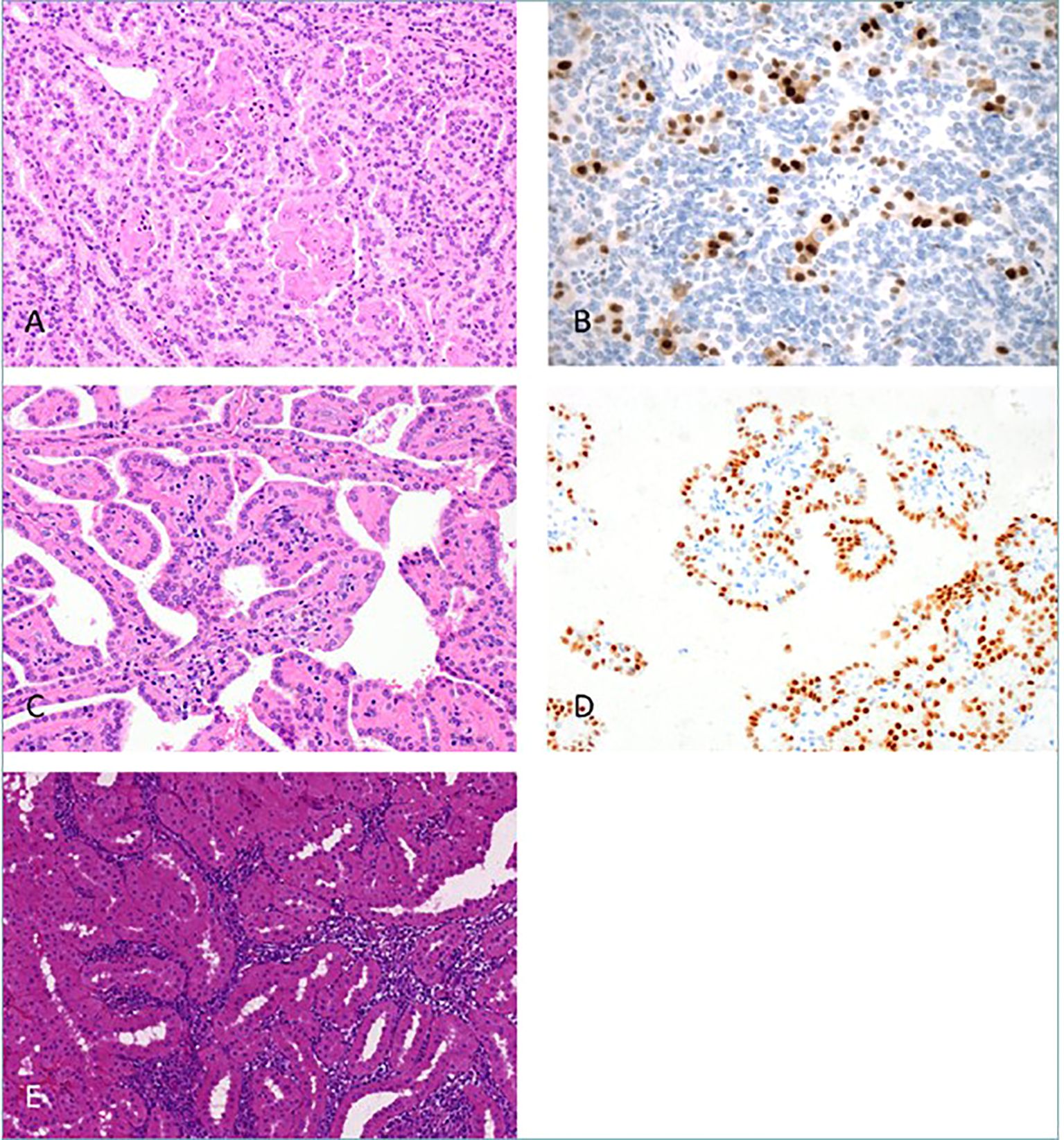
RCC represents the predominant form of kidney cancer, with rising global incidence and notable mortality despite advancements in diagnosis and treatment. Traditional imaging and histopathological techniques, while foundational, face limitations in early detection, subtype differentiation, and treatment personalization. This review comprehensively explores RCC's clinical and pathological landscape, then transitions to focus on recent innovations in microfluidics and molecular diagnostics that are reshaping kidney cancer management. Microfluidic platforms facilitate efficient, minimally invasive analysis of biomarkers such as CTCs, ctDNA, and exosomes, enabling real-time disease monitoring and drug response assessment. Biomolecular technologies—including single-cell sequencing, spatial transcriptomics, and next-generation sequencing—offer deeper insights into tumor heterogeneity and therapeutic resistance. The integration of multi-omics data and emerging platforms like kidney cancer-on-a-chip highlight the promise of precision medicine. Challenges in clinical translation, including assay standardization and regulatory hurdles, are also addressed. Together, these developments underscore a paradigm shift toward individualized, biomarker-driven care in RCC.
Keywords: Renal cell carcinoma (RCC), Microfluidics, Molecular diagnostics, Liquidbiopsy, biomarkers, precision oncology
Received: 28 Jul 2025; Accepted: 27 Nov 2025.
Copyright: © 2025 Abu-Dawas, Alwadi, Farahat, Abu-Dawas, Quraiba, Abu-Omar, Alkattan, Khan and Yaqinuddin. This is an open-access article distributed under the terms of the Creative Commons Attribution License (CC BY). The use, distribution or reproduction in other forums is permitted, provided the original author(s) or licensor are credited and that the original publication in this journal is cited, in accordance with accepted academic practice. No use, distribution or reproduction is permitted which does not comply with these terms.
* Correspondence: Ahmed Yaqinuddin
Disclaimer: All claims expressed in this article are solely those of the authors and do not necessarily represent those of their affiliated organizations, or those of the publisher, the editors and the reviewers. Any product that may be evaluated in this article or claim that may be made by its manufacturer is not guaranteed or endorsed by the publisher.
