ORIGINAL RESEARCH article
Front. Oncol.
Sec. Gastrointestinal Cancers: Colorectal Cancer
This article is part of the Research TopicAdvances in Gastrointestinal CancersView all 7 articles
The Role of TMEM59L in Colorectal Cancer Progression and Its Interaction with the TGF-β/Smad Pathway
Provisionally accepted- Tianjin Union Medical Centre, Nankai University, Tianjin, China
Select one of your emails
You have multiple emails registered with Frontiers:
Notify me on publication
Please enter your email address:
If you already have an account, please login
You don't have a Frontiers account ? You can register here
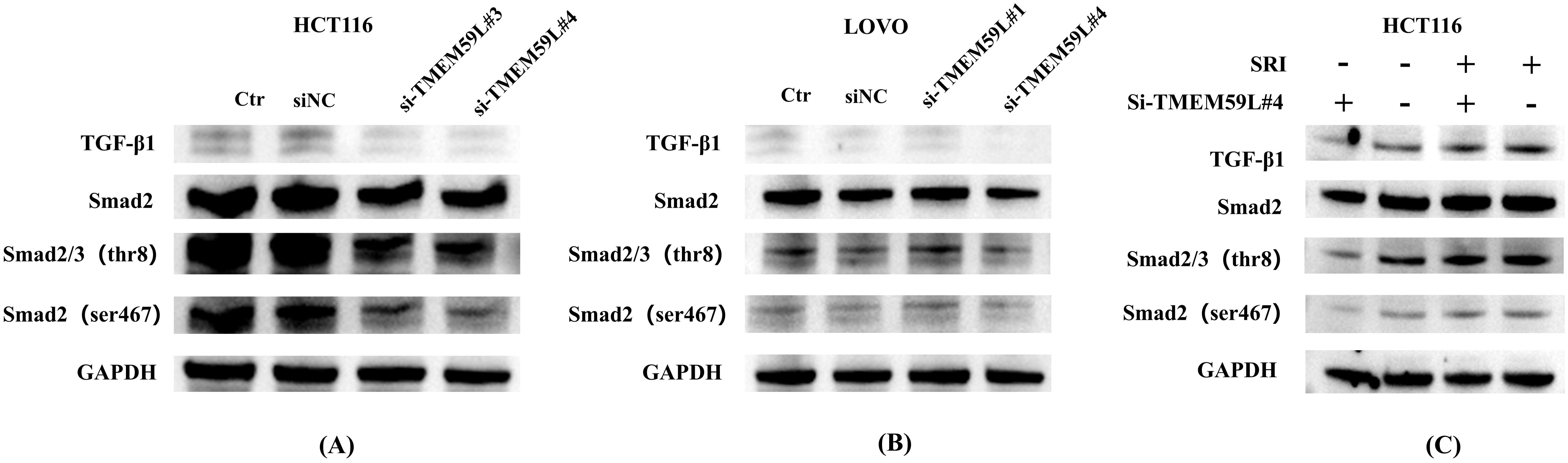
Objective: This study aimed to investigate the role of TMEM59L in colorectal cancer (CRC) and its interaction with the TGF-β/Smad signaling pathway. Methods: We analyzed the correlation between TMEM59L expression levels and patient survival, as well as its impact on the TGF-β/Smad signaling pathway, using data from The Cancer Genome Atlas (TCGA)TCGA. Additionally, transwell, CCK-8, EdU, and colony formation assays were conducted to assess the effects of TMEM59L on CRC cell migration, invasion, and proliferation. Gene silencing and overexpression, along with specific inhibitors/agonists, were used to validate the involvement of TMEM59L in the regulation of the TGF-β/Smad signaling pathway. Results: We found that high TMEM59L expression was associated with poor patient survival and TGF-β pathway activation. After si-TMEM59L treatment, the migration and invasion abilities of CRC cells were reduced, while cell proliferation remained affected to a lesser extent. Additionally, the levels of TGF-β protein were decreased, and the phosphorylation of Smad2/3 was reduced. In vivo, TMEM59L knockdown reduced metastatic potential as demonstrated by decreased fluorescence intensity, while overexpression of TMEM59L increased metastatic potential, which was reversed by TGF-β inhibition. Conclusion: TMEM59L may promote CRC metastasis by enhancing cell migration and invasion, with minimal impact on cell proliferation, potentially through the TGF-β /Smad signaling pathway.
Keywords: Colorectal Neoplasms, TMEM59L, TGF-β signaling pathway, metastasis, Therapeutic target
Received: 23 Aug 2025; Accepted: 10 Nov 2025.
Copyright: © 2025 Yang, Liu, Jiang, Sun, Chen and Zhu. This is an open-access article distributed under the terms of the Creative Commons Attribution License (CC BY). The use, distribution or reproduction in other forums is permitted, provided the original author(s) or licensor are credited and that the original publication in this journal is cited, in accordance with accepted academic practice. No use, distribution or reproduction is permitted which does not comply with these terms.
* Correspondence: Siwei Zhu, zhusiwei@163.net
Disclaimer: All claims expressed in this article are solely those of the authors and do not necessarily represent those of their affiliated organizations, or those of the publisher, the editors and the reviewers. Any product that may be evaluated in this article or claim that may be made by its manufacturer is not guaranteed or endorsed by the publisher.
