CASE REPORT article
Front. Oncol.
Sec. Cancer Imaging and Image-directed Interventions
Case report and literature review: Primary hepatic leiomyosarcoma with misdiagnosis and SDHB positive expression
Provisionally accepted- 1Kunming Medical University, Kunming, China
- 2Yunnan Cancer Hospital, Kunming, China
Select one of your emails
You have multiple emails registered with Frontiers:
Notify me on publication
Please enter your email address:
If you already have an account, please login
You don't have a Frontiers account ? You can register here
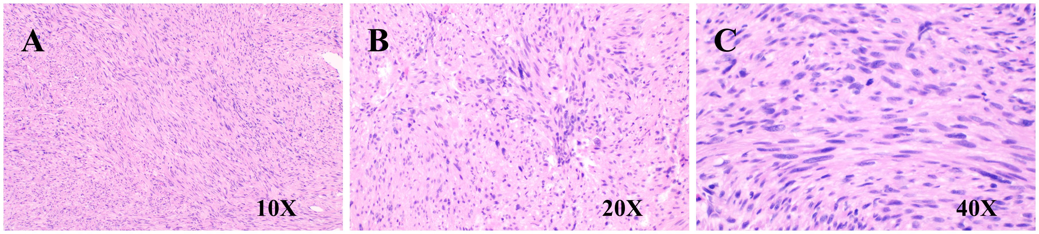
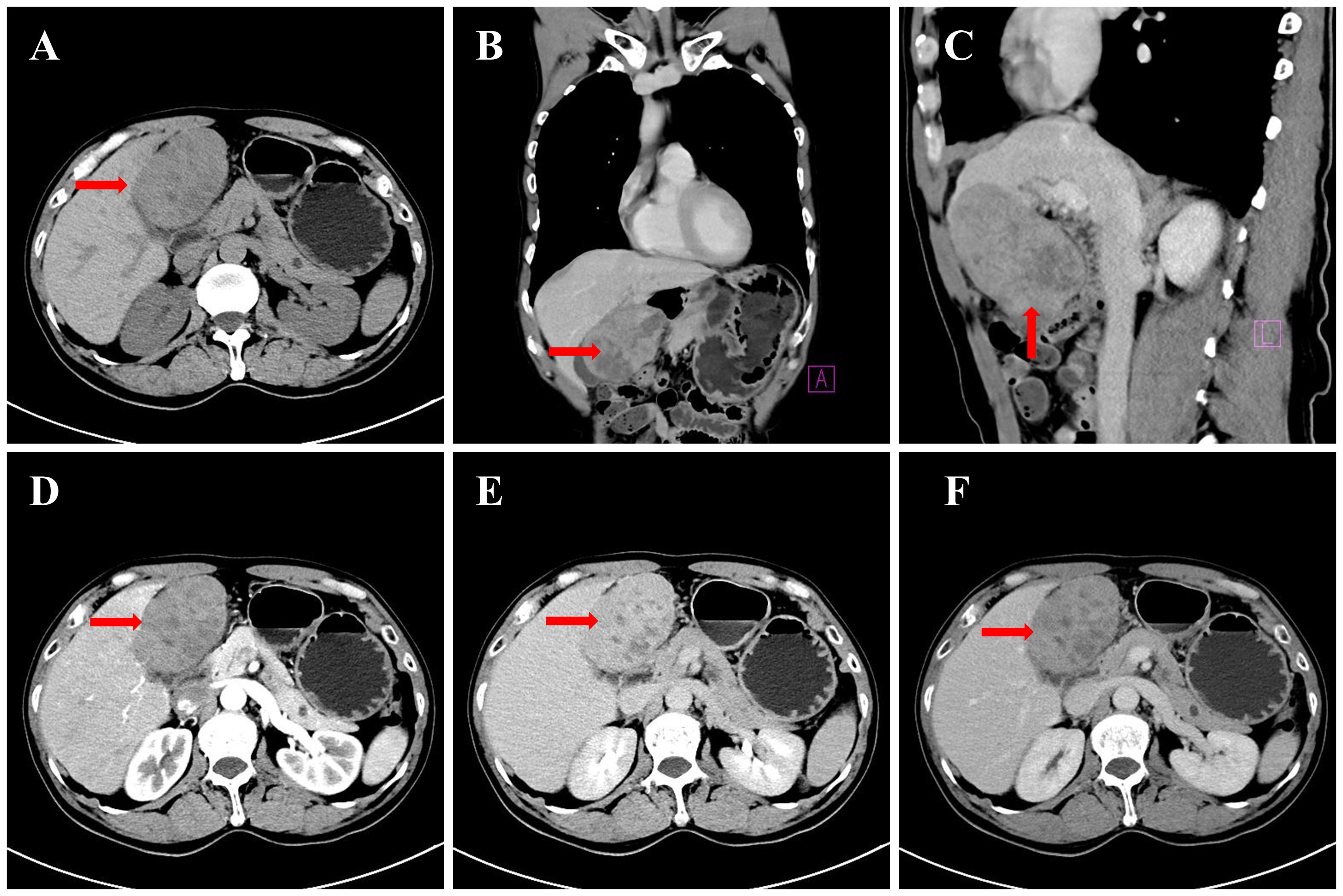
Background: Primary hepatic leiomyosarcoma (PHL) is an extremely rare malignancy often misdiagnosed due to nonspecific imaging features overlapping with cholangiocarcinoma. This case highlights diagnostic challenges and the potential association of SDHB positivity with PHL prognosis. Case Presentation: A middle-aged male presented with an asymptomatic liver mass. Preoperative CT/MRI revealed a 10-cm lesion with progressive heterogeneous enhancement and delayed capsular enhancement, initially diagnosed as cholangiocarcinoma. Left hepatic lobectomy confirmed PHL. Immunohistochemistry showed SDHB positivity and low Ki67 (15%). The patient recovered well with no recurrence at 6-month follow-up. Conclusions: PHL can radiologically mimic cholangiocarcinoma, necessitating inclusion in differential diagnoses for "cholangiocarcinoma-like" liver masses. SDHB positivity may indicate favorable tumor biology, but further studies are needed to validate its prognostic value. Surgical resection remains curative for localized PHL.
Keywords: Hepatic leiomyosarcoma, Misdiagnosis, radiological differentiation, SDHB, case report
Received: 14 Aug 2025; Accepted: 30 Oct 2025.
Copyright: © 2025 Lu, Ding, Ma, Xu, Luo, Li, Yang, Yang, Shi and Bai. This is an open-access article distributed under the terms of the Creative Commons Attribution License (CC BY). The use, distribution or reproduction in other forums is permitted, provided the original author(s) or licensor are credited and that the original publication in this journal is cited, in accordance with accepted academic practice. No use, distribution or reproduction is permitted which does not comply with these terms.
* Correspondence:
Yuanlong Shi, 20221312@kmmu.edu.cn
Yufan Bai, b18787784906@163.com
Disclaimer: All claims expressed in this article are solely those of the authors and do not necessarily represent those of their affiliated organizations, or those of the publisher, the editors and the reviewers. Any product that may be evaluated in this article or claim that may be made by its manufacturer is not guaranteed or endorsed by the publisher.
