ORIGINAL RESEARCH article
Front. Oncol.
Sec. Head and Neck Cancer
This article is part of the Research TopicAdvancements in Personalized Medicine for Head and Neck Cancer: Molecular-based Approaches to Treatment and CareView all 15 articles
Ga-68 DOTATATE PET Imaging in the Management of Head and Neck Paragangliomas: A Potential Game Changer
Provisionally accepted- 1Department of Radiology, College of Medicine, Qassim University, Buraidah, Saudi Arabia, Buraidah, Saudi Arabia
- 2Nuclear Medicine Department, Kuwait Cancer Control Center, Ministry of Health Kuwait, Kuwait, Kuwait, Kuwait, Kuwait
- 3Department of Radiology, King Faisal Specialist Hospital & Research Center, Riyadh, 11211, Saudi Arabia., Riyadh, Saudi Arabia
- 4University College London Institute of Nuclear Medicine, London, United Kingdom
Select one of your emails
You have multiple emails registered with Frontiers:
Notify me on publication
Please enter your email address:
If you already have an account, please login
You don't have a Frontiers account ? You can register here
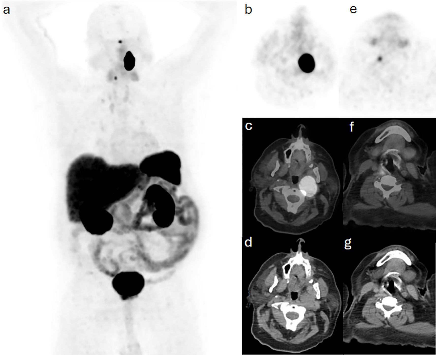
Background: Head and neck paragangliomas (HNPGs) are rare neuroendocrine tumors originating from neural crest cells, with some exhibiting malignant potential. Traditional imaging modalities, such as magnetic resonance imaging (MRI), often have limitations in detecting multifocal or metastatic disease, driving interest in more sensitive diagnostic approaches like Gallium-68 DOTATATE positron emission tomography/computed tomography (Ga-68 DOTATATE PET/CT). Methods: This retrospective study aimed to assess the effectiveness of Ga-68 DOTATATE PET/CT in the detection and management of HNPGs. Imaging data from 2015 to 2024 were reviewed, identifying four confirmed cases of HNPG. All patients underwent head and neck MRI and Ga-68 DOTATATE PET/CT scans. Data on imaging findings, treatment history, and clinical outcomes were collected and analyzed to compare the performance of Ga-68 DOTATATE PET/CT with other imaging techniques, including Iodine-123 meta-iodobenzylguanidine (I-123 MIBG) scintigraphy and Fluorine-18 fluorodeoxyglucose (F-18 FDG) PET/CT. Results: Ga-68 DOTATATE PET/CT demonstrated enhanced sensitivity in detecting both primary and metastatic lesions compared to MRI and other imaging modalities. It identified additional lesions not seen on MRI, confirmed local recurrence, and detected unsuspected metastatic sites, influencing clinical management. While Ga-68 DOTATATE PET/CT provided more diagnostic clarity than I-123 MIBG in one case, it also revealed additional metastatic sites in a patient with a succinate dehydrogenase (SDH) gene mutation, which were not detected by F-18 FDG PET/CT. Conclusion: Ga-68 DOTATATE PET/CT is a valuable imaging tool for evaluating HNPGs, with superior sensitivity in detecting both primary and metastatic lesions compared to conventional imaging. Its diagnostic advantages can significantly impact treatment planning and patient management. Integrating Ga-68 DOTATATE PET/CT into clinical guidelines for HNPG evaluation may enhance diagnostic accuracy. Further research with larger cohorts is warranted to confirm these findings and establish standardized interpretation criteria.
Keywords: Diagnostic sensitivity, gallium-68 dotatate PET/CT, Head and neck paragangliomas, Metastatic Disease Detection, Metastatic Disease Detection.
Received: 29 Jul 2025; Accepted: 27 Oct 2025.
Copyright: © 2025 Alduraibi, Essa, Alruwaili and Bomanji. This is an open-access article distributed under the terms of the Creative Commons Attribution License (CC BY). The use, distribution or reproduction in other forums is permitted, provided the original author(s) or licensor are credited and that the original publication in this journal is cited, in accordance with accepted academic practice. No use, distribution or reproduction is permitted which does not comply with these terms.
* Correspondence:
Alaa Alduraibi, dr.alduraibi@gmail.com
Noora Essa, noora_binessa@hotmail.com
Ahmed Abdulrahman Alruwaili, a.alruwaili@gmail.com
Disclaimer: All claims expressed in this article are solely those of the authors and do not necessarily represent those of their affiliated organizations, or those of the publisher, the editors and the reviewers. Any product that may be evaluated in this article or claim that may be made by its manufacturer is not guaranteed or endorsed by the publisher.
