ORIGINAL RESEARCH article
Front. Oncol.
Sec. Breast Cancer
Caprine Herpes Virus-1 (CpHV-1) Reduces Cell Viability and Enhances Chemosensitivity in Breast Cancer Cells
Provisionally accepted- 1Experimental Clinical Oncology of Breast Unit, Department of Breast and Thoracic Oncology, Istituto Nazionale Tumori IRCCS "Fondazione G. Pascale", Naples, Italy, Naples, Italy
- 2Universita degli studi della Campania Luigi Vanvitelli Dipartimento di Salute Mentale e Fisica e Medicina Preventiva, Naples, Italy
- 3Scuola Superiore Meridionale, Naples, Italy
- 4Clinical and Translational Oncology Program, Scuola Superiore Meridionale (SSM, School of Advanced Studies), University of Naples Federico, Naples, Italy
- 5Universita degli Studi di Siena Dipartimento di Biotecnologie Mediche, Siena, Italy
- 6Cell Biology and Biotherapy Unit, Istituto Nazionale Tumori, IRCCS, Fondazione G. Pascale, I-80131 Naples, Italy;, Naples, Italy
- 7Universita degli Studi di Napoli Federico II Dipartimento di Medicina Veterinaria e Produzioni Animali, Naples, Italy
- 8Temple University Sbarro Institute for Cancer Research and Molecular Medicine, Philadelphia, United States
- 9G. Pascale National Cancer Institute Foundation (IRCCS), Naples, Italy
Select one of your emails
You have multiple emails registered with Frontiers:
Notify me on publication
Please enter your email address:
If you already have an account, please login
You don't have a Frontiers account ? You can register here
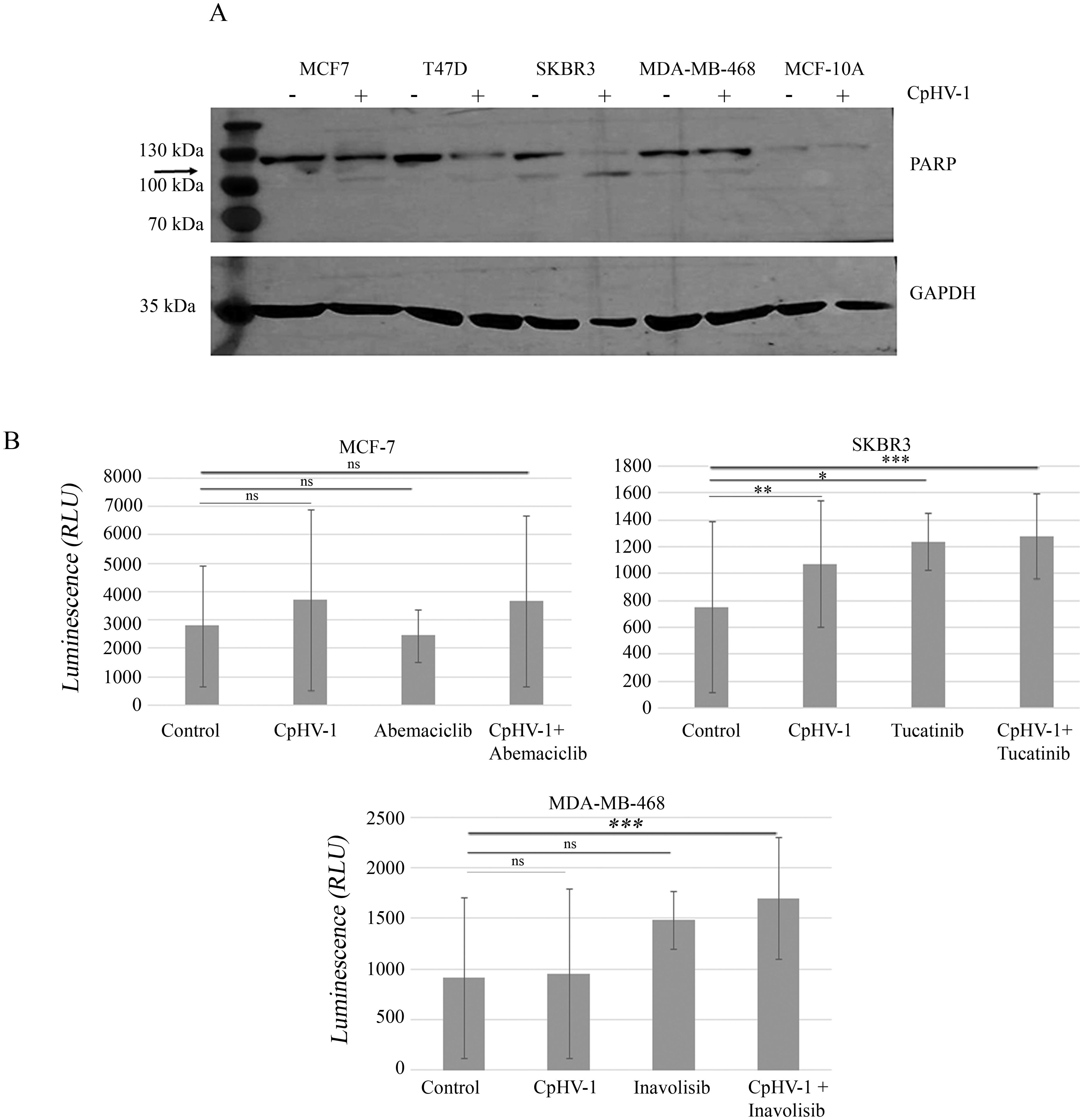
Oncolytic viruses (OVs) are promising therapeutic agents in oncology that directly lyse tumor cells, modulate the immune response, and alter the tumor microenvironment. Non-human OVs offer advantages over their human counterparts, such as being non-pathogenic in humans and lacking pre-existing immunity. In previous studies, we demonstrated that a non-human caprine herpesvirus 1 (CpHV-1) effectively kills various human cancer cell lines. In this study, we evaluate CpHV-1's antitumor effects across different breast cancer (BC) cell lines and its potential synergy with FDA-approved BC therapies. We assessed the effects of CpHV-1 on BC cell viability and clonogenic potential, cell cycle regulation, and apoptosis in MCF-7, T47D, SKBR3 and MDA-MB-468 cell lines and on the non-tumorigenic mammary epithelial cells (MCF-10A). Additionally, CpHV-1 was tested in combination with Abemaciclib, Tucatinib, and Inavolisib, and synergism was evaluated using Chou-Talalay analysis. Our data show that CpHV-1 induced a dose-dependent cytotoxic effect, with an MOI of 5 reducing viability by ~50% 72 hours post-infection. Clonogenic assays confirmed long-term growth inhibition. We also demonstrated modulation of cell cycle progression and induction of apoptosis in tumour cells mediated by CpHV-1. Finally, combined treatments showed synergy across all BC subtypes, without significant toxicity in normal cells. These findings highlight CpHV-1 as a promising oncolytic agent, particularly in combination with targeted therapies, warranting further investigation for BC treatment.
Keywords: oncolytic virus, CpHV-1, breast cancer, targeted therapy, viral oncology, combination therapy
Received: 30 Jul 2025; Accepted: 06 Nov 2025.
Copyright: © 2025 Iannuzzi, Pagano, Tomeo, Sfera, Calabrese, Alfano, Carmerlingo, Cocco, Damiano, Montagnarp, CIARCIA, Giordano, De Laurentiis, Von Arx and Forte. This is an open-access article distributed under the terms of the Creative Commons Attribution License (CC BY). The use, distribution or reproduction in other forums is permitted, provided the original author(s) or licensor are credited and that the original publication in this journal is cited, in accordance with accepted academic practice. No use, distribution or reproduction is permitted which does not comply with these terms.
* Correspondence:
Michelino De Laurentiis, m.delaurentiis@istitutotumori.na.it
Iris Maria Forte, m.forte@istitutotumori.na.it
Disclaimer: All claims expressed in this article are solely those of the authors and do not necessarily represent those of their affiliated organizations, or those of the publisher, the editors and the reviewers. Any product that may be evaluated in this article or claim that may be made by its manufacturer is not guaranteed or endorsed by the publisher.
