CASE REPORT article
Front. Oncol.
Sec. Radiation Oncology
This article is part of the Research TopicCase Reports in Radiation Oncology: 2025View all 23 articles
Adjuvant Radiotherapy Treatment of Chordoid Glioma: a case report with a literature review
Provisionally accepted- ARNAS Ospedali Civico Di Cristina Benfratelli, Palermo, Italy
Select one of your emails
You have multiple emails registered with Frontiers:
Notify me on publication
Please enter your email address:
If you already have an account, please login
You don't have a Frontiers account ? You can register here
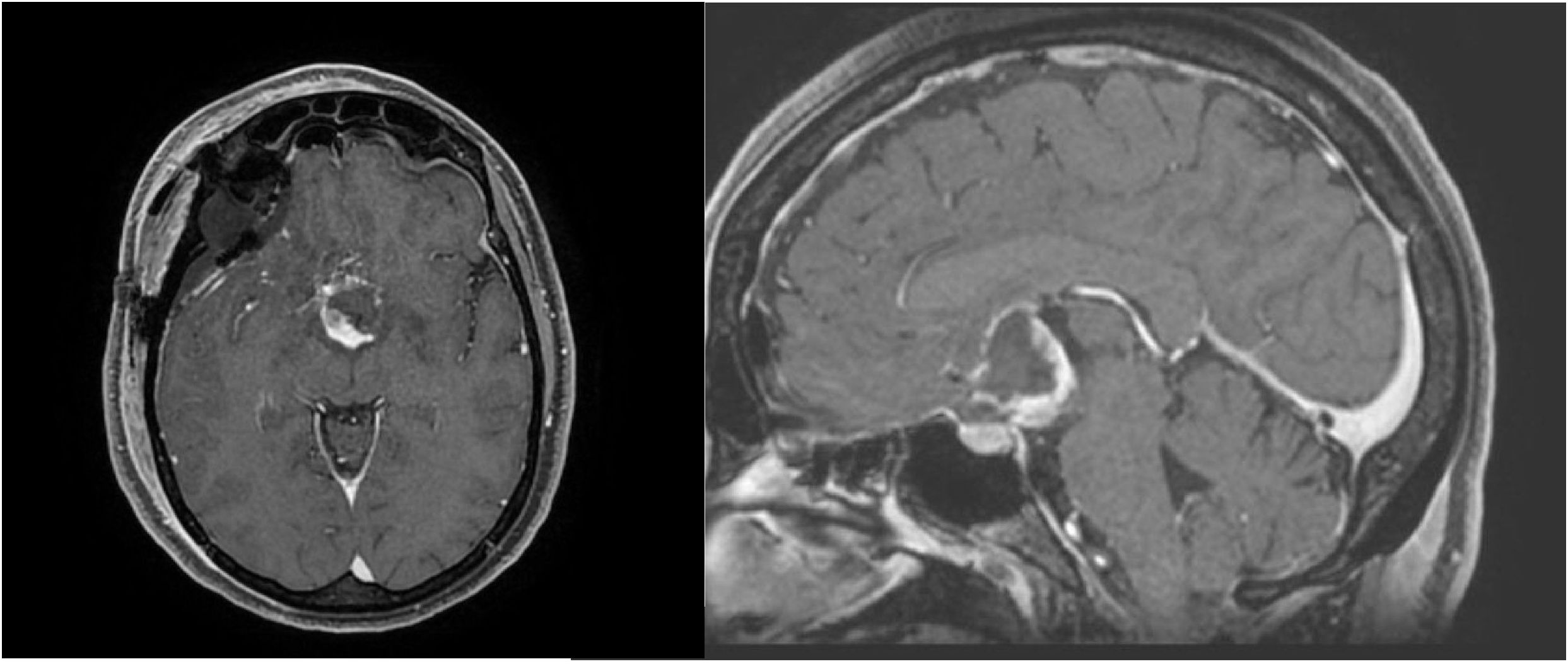
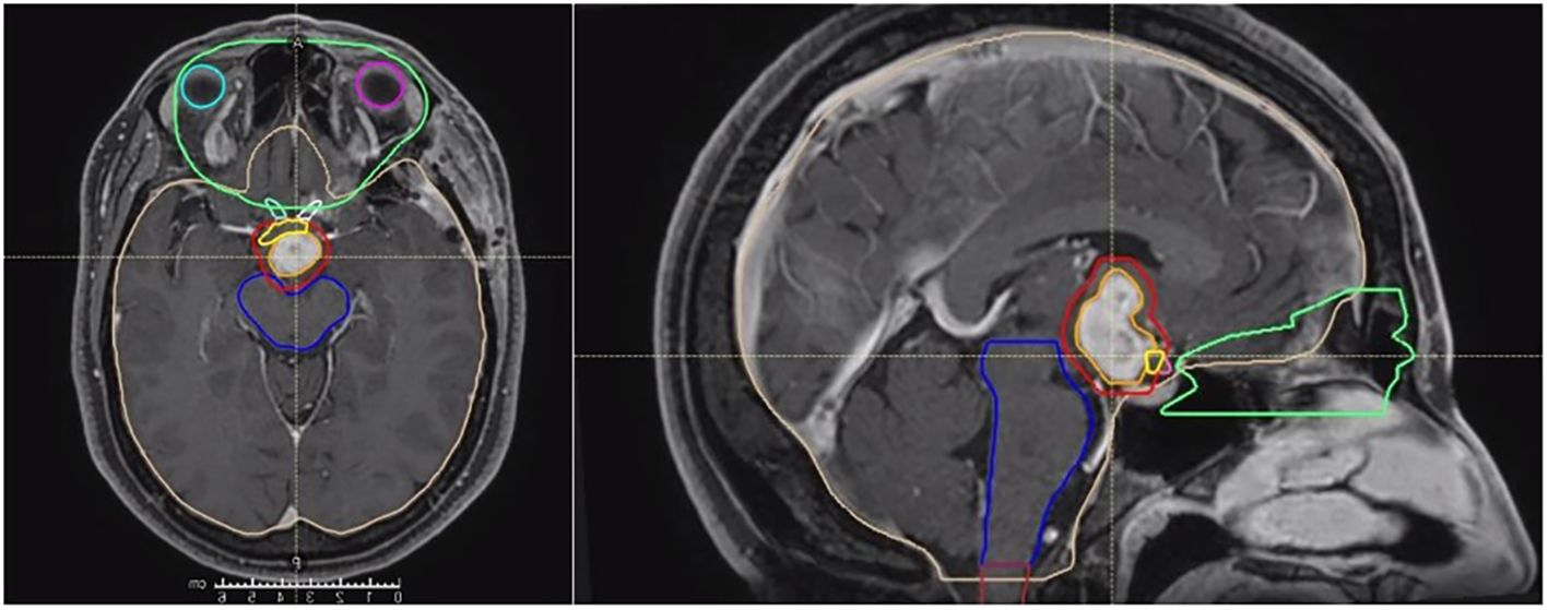
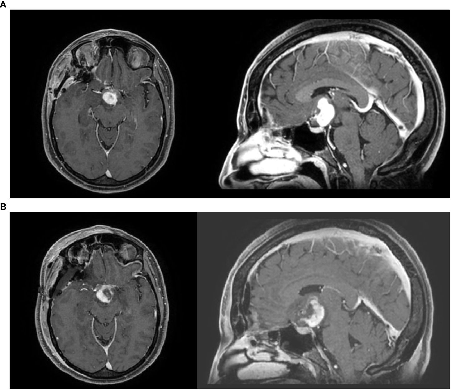
Background Chordoid glioma is a rare Grade II WHO brain tumor located in proximity of the third ventricle. Less than 100 cases are reported in the literature and surgery represents the main treatment option. Due to the typical location, complete surgical resection is uncommon, but the role of adjuvant radiotherapy is controversial. Methods Starting from a case report, we performed a literature review focused on the potential role of adjuvant radiotherapy for chordoid gliomas, reporting data on patients'characteristics, surgical approach and extent resection, radiotherapy technique and dose, and clinical outcomes. Results A total of 18 patients in 14 studies were identified, with a prevalent use of stereotactic treatments over conventional external beam radiotherapy, with doses respectively ranging between 11.5-18 Gy and 45-59.4 Gy, for a median time of local control of 26 months. Five patients developed disease recurrence after a median time of 22.4 months. In the case of the present study, the patient received adjuvant conventional radiotherapy (59.4 Gy/33 fx) is alive after 12 months of follow-up with no major side effects Conclusions From the available evidence, modern radiotherapy could be considered as a therapeutic tool able to conjugate less invasive surgical procedures with improved local control, thus reducing the risk of severe post-operative complications. Larger studies with longer follow-up are mandatory.
Keywords: Chordoid glioma, Radiotherapy, Adjuvant treatment, rare tumors, CNS tumors
Received: 06 Aug 2025; Accepted: 24 Oct 2025.
Copyright: © 2025 Cuccia, D'Alessandro, Messina, Tringali, Craparo, Blasi, Azzarello, Carruba and Ferrera. This is an open-access article distributed under the terms of the Creative Commons Attribution License (CC BY). The use, distribution or reproduction in other forums is permitted, provided the original author(s) or licensor are credited and that the original publication in this journal is cited, in accordance with accepted academic practice. No use, distribution or reproduction is permitted which does not comply with these terms.
* Correspondence: Francesco Cuccia, francesco.cuccia@arnascivico.it
Disclaimer: All claims expressed in this article are solely those of the authors and do not necessarily represent those of their affiliated organizations, or those of the publisher, the editors and the reviewers. Any product that may be evaluated in this article or claim that may be made by its manufacturer is not guaranteed or endorsed by the publisher.
