CASE REPORT article
Front. Oncol.
Sec. Gastrointestinal Cancers: Gastric and Esophageal Cancers
Finger Gangrene as Initial Manifestation of Esophageal Squamous Cell Carcinoma: A Case Report
Provisionally accepted- 1Shantou University Medical College Cancer Hospital, Shantou, China
- 2Shantou University Medical College, Shantou, China
Select one of your emails
You have multiple emails registered with Frontiers:
Notify me on publication
Please enter your email address:
If you already have an account, please login
You don't have a Frontiers account ? You can register here
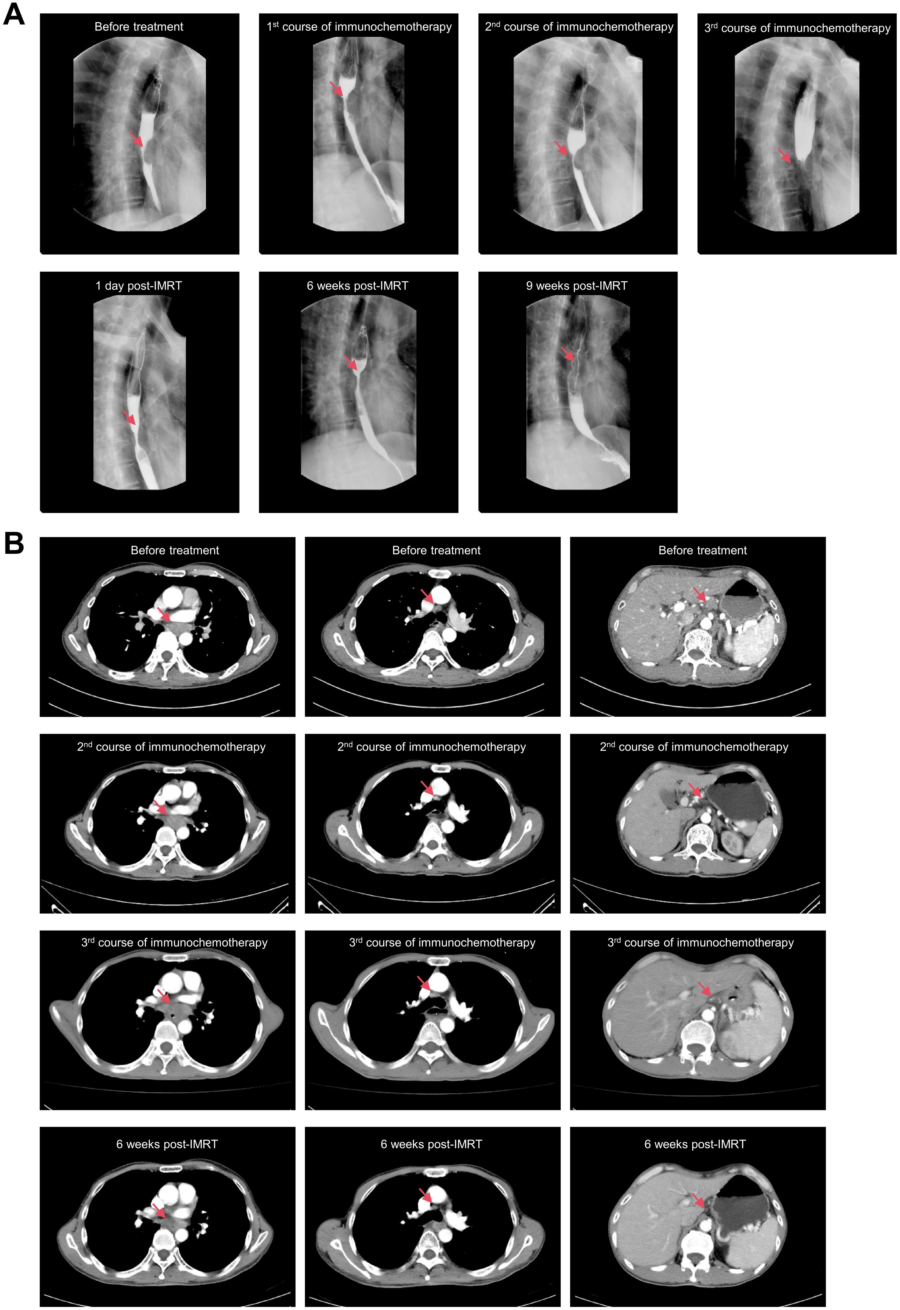
Esophageal cancer exhibits a high incidence in the Chaoshan region of south China, an area characterized by distinctive dietary habits prominently featuring the consumption of preserved pickles and hot tea. Common metastatic sites of esophageal cancer include the lungs, liver, brains, and bones, while occurrence in the distal ends of the limbs is exceptionally rare. Here we present a case of a 62-year-old man from China's Chaoshan region presented with progressive right ring finger pain, swelling, and gangrene. After the amputation of digit, histopathology unexpectedly identified well-differentiated esophageal squamous cell carcinoma (ESCC) with positive margins. A comprehensive retrospective evaluation of medical history identified previously undocumented intermittent dysphagia and mild thoracodorsal pain, postdating the initial presentation of digital symptom by one months. The Esophageal Cancer Multidisciplinary Team confirmed the diagnosis of mid-thoracic ESCC at stage T4bN2M1 according to the AJCC(The American Joint Committee on Cancer, AJCC)8th edition criteria based on further examinations. Following a multidisciplinary approach encompassing digital amputation, immunochemotherapy, and localized radiotherapy to the primary lesion, the disease achieved partial response according to RECIST(Response Evaluation Criteria in Solid Tumors, RECIST)1.1 criteria.This case highlights the diagnostic challenges of rare metastatic presentations in ESCC, and the critical importance of recognizing atypical symptoms in high-risk populations. Early multidisciplinary intervention may improve outcomes in rare oligometastatic disease .
Keywords: esophageal, Squamous, cell, Carcinoma, Finger, Gangrene, Phalangectomy, immunochemotherapy
Received: 06 Aug 2025; Accepted: 29 Oct 2025.
Copyright: © 2025 Chen, Jiang, Zhou, Yang, Zhong and Zhai. This is an open-access article distributed under the terms of the Creative Commons Attribution License (CC BY). The use, distribution or reproduction in other forums is permitted, provided the original author(s) or licensor are credited and that the original publication in this journal is cited, in accordance with accepted academic practice. No use, distribution or reproduction is permitted which does not comply with these terms.
* Correspondence: Tiantian  Zhai, tiantianzhai@qq.com
Disclaimer: All claims expressed in this article are solely those of the authors and do not necessarily represent those of their affiliated organizations, or those of the publisher, the editors and the reviewers. Any product that may be evaluated in this article or claim that may be made by its manufacturer is not guaranteed or endorsed by the publisher.
