ORIGINAL RESEARCH article
Front. Oncol.
Sec. Gastrointestinal Cancers: Gastric and Esophageal Cancers
Histomorphological Development and Progression of Gastric Intramucosal Papillary Adenocarcinoma—A Retrospective Study
Provisionally accepted- 1The Fourth People's Hospital of Longgang District, Shenzhen, China
- 2Shenzhen Polytechnic University, Shenzhen, China
- 3Shenzhen Hospital of Southern Medical University, Shenzhen, China
- 4Weifang Army 80th Group Military Hospital, Weifang, China
Select one of your emails
You have multiple emails registered with Frontiers:
Notify me on publication
Please enter your email address:
If you already have an account, please login
You don't have a Frontiers account ? You can register here
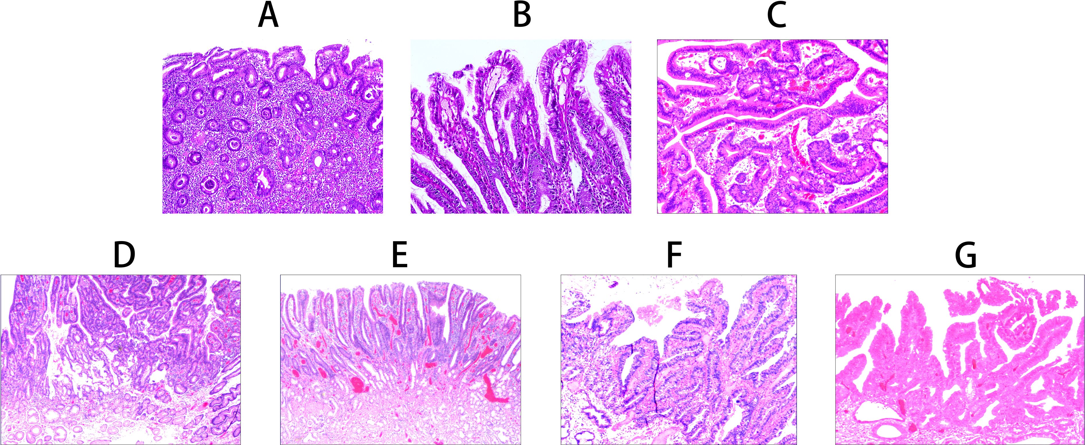
Objective: The aim of this study is to elucidate the developmental process, progression patterns, and histomorphological features of gastric-type intramucosal papillary adenocarcinoma. Methods: This study employed a retrospective research method. Histological examination and immunohistochemical analyses were conducted on endoscopic biopsy samples and endoscopic submucosal dissection (ESD) specimens from 450 cases of superficial gastric epithelial lesions. Results: Atrophic changes in gastric foveolar epithelium, resulting from infectious, chemical, autoimmune, or genetic factors, were associated with a sequential process of tumorigenesis in gastric intramucosal papillary adenocarcinoma. This process involved two phases of compensatory epithelial proliferation followed by three distinct stages of neoplastic transformation. The initial compensatory phase was characterized histologically by papillary hyperplasia of the gastric crypt epithelium. The second phase, representing transitional or dysregulated proliferation, was observed as gastric surface epithelial-type adenoma. The first neoplastic stage was identified as gastric-type low-grade intraepithelial neoplasia, followed by high-grade intraepithelial neoplasia, and culminating in the third stage as gastric-type intramucosal papillary adenocarcinoma. The progression of these stages was delineated based on histopathological features and immunophenotypic profiles. Conclusion: Recognizing the histopathological and immunophenotypic features involved in the stepwise development of gastric-type papillary adenocarcinoma enhances the accuracy of clinical management and surveillance of neoplastic progression. This has significant implications for early intervention and prevention of gastric cancer progression.
Keywords: Immunohistochemistry, Gastric neoplasms, Gastric-type adenocarcinoma, neoplastic transformation, Pathological features
Received: 07 Aug 2025; Accepted: 17 Nov 2025.
Copyright: © 2025 Wang, Zou, Wang, Li, Zhong, Guo, Wang, Xu and Wang. This is an open-access article distributed under the terms of the Creative Commons Attribution License (CC BY). The use, distribution or reproduction in other forums is permitted, provided the original author(s) or licensor are credited and that the original publication in this journal is cited, in accordance with accepted academic practice. No use, distribution or reproduction is permitted which does not comply with these terms.
* Correspondence:
Si-Liang Xu, siliangxu_xu@126.com
Su-Nan Wang, mwangsunan@163.com
Disclaimer: All claims expressed in this article are solely those of the authors and do not necessarily represent those of their affiliated organizations, or those of the publisher, the editors and the reviewers. Any product that may be evaluated in this article or claim that may be made by its manufacturer is not guaranteed or endorsed by the publisher.
