CASE REPORT article
Front. Oncol.
Sec. Gastrointestinal Cancers: Hepato Pancreatic Biliary Cancers
Spontaneous Tumor Lysis Syndrome Following Liver Biopsy: A Case Report and Literature Review
Provisionally accepted- 1Department of Critical Care Medicine, Zhejiang Hospital, Hangzhou, China
- 2Department of Endocrinology, Zhejiang Hospital, Hangzhou, China
Select one of your emails
You have multiple emails registered with Frontiers:
Notify me on publication
Please enter your email address:
If you already have an account, please login
You don't have a Frontiers account ? You can register here
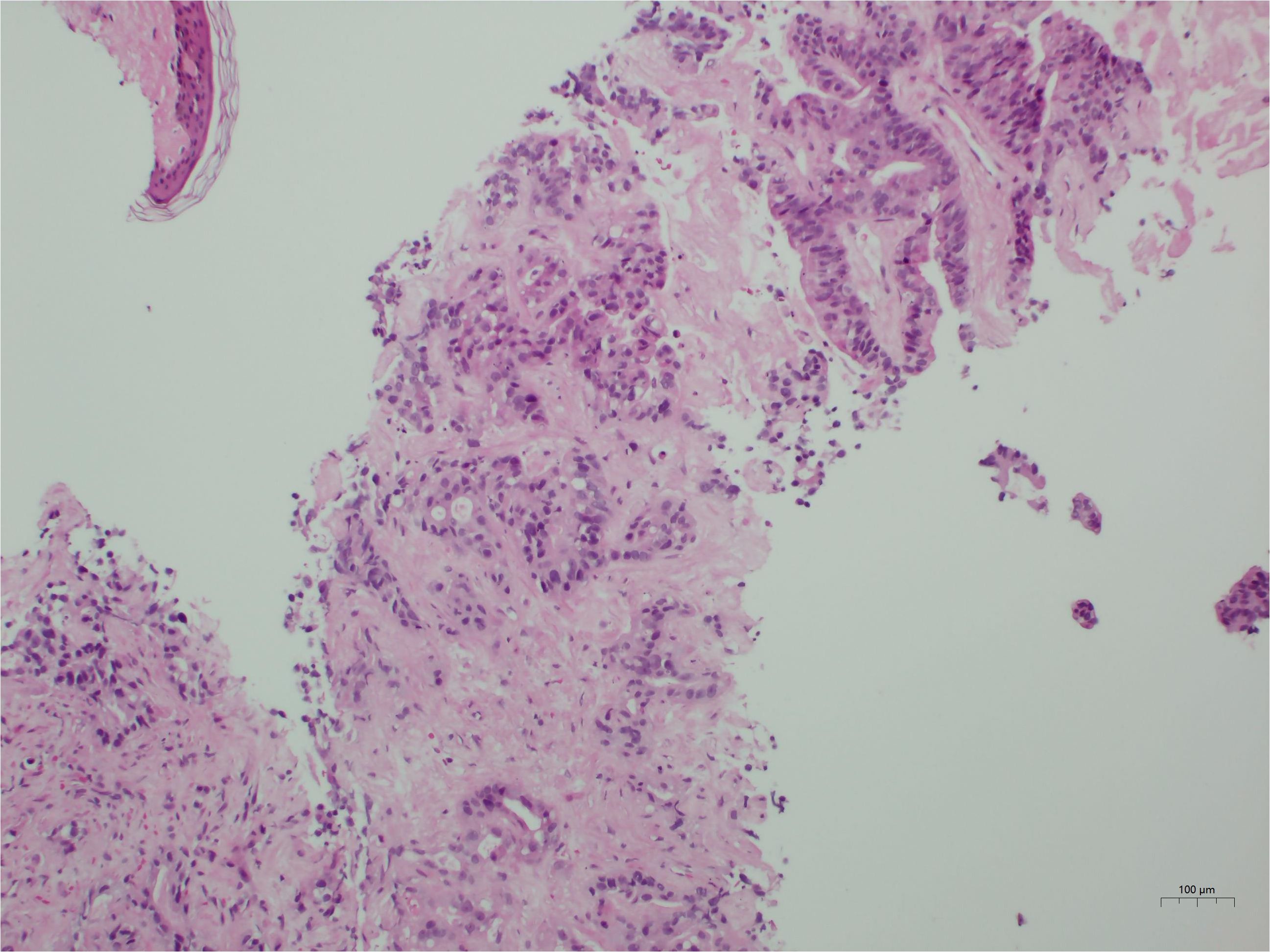
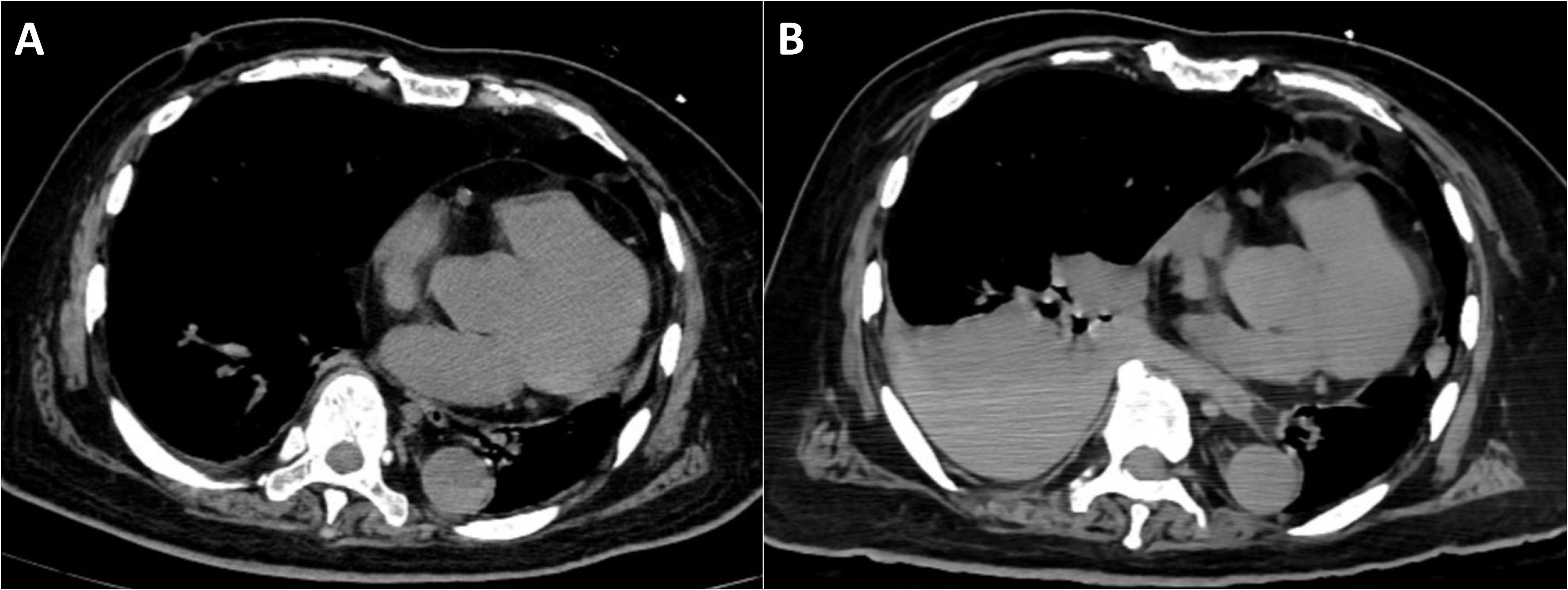
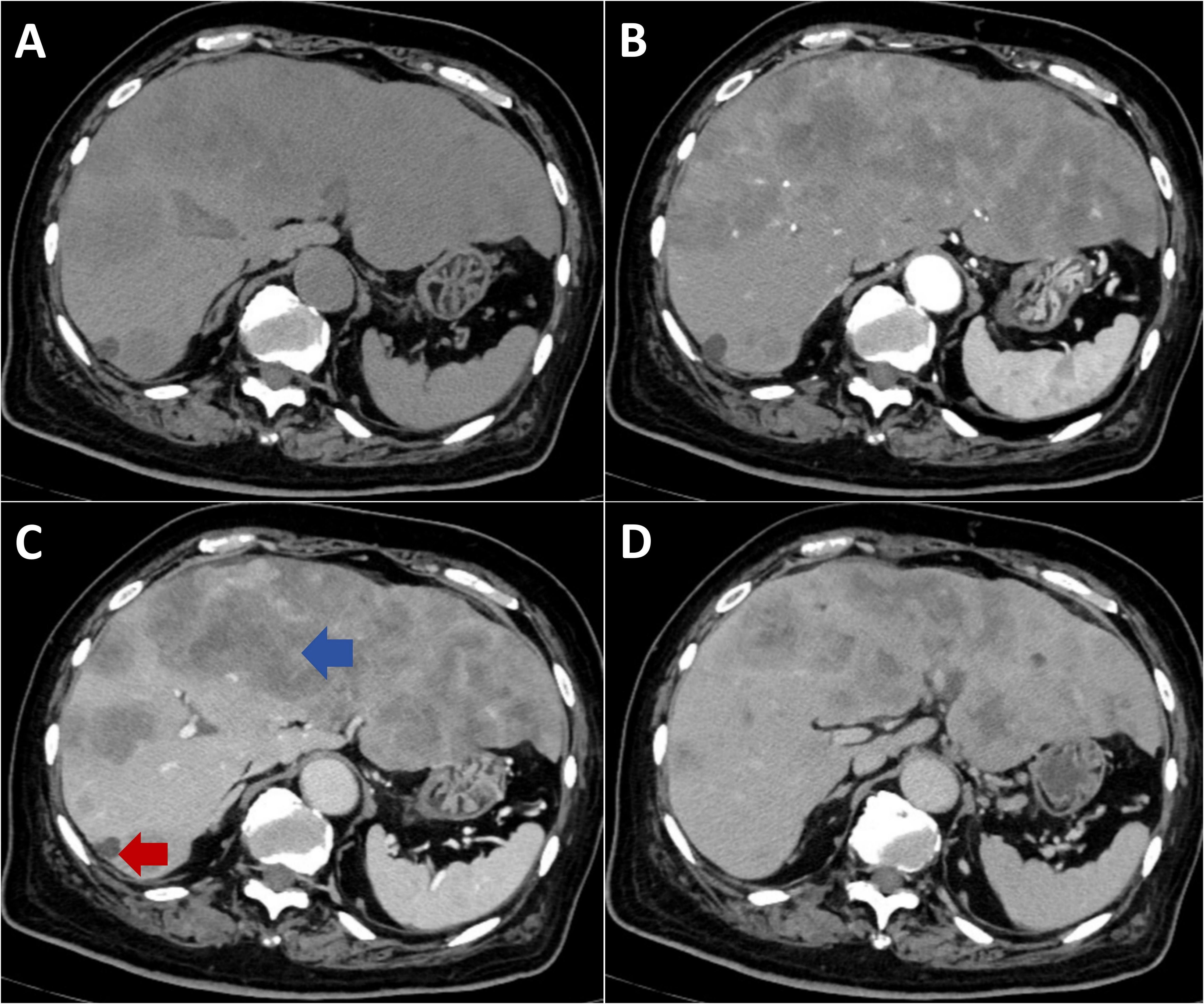
Background: Tumor lysis syndrome (TLS), characterized by electrolyte imbalances and acute kidney injury, predominantly occurs following cytotoxic chemotherapy in hematologic malignancies. Spontaneous TLS (STLS) in solid tumors remains rare. This report describes STLS induced by a diagnostic liver biopsy and reviews the literature on procedure-associated TLS. Case Presentation: An 84-year-old male presented with extensive hepatic metastases and markedly elevated tumor markers. Ultrasound-guided percutaneous liver biopsy confirmed the diagnosis of metastatic adenocarcinoma. Within 24 hours post-procedure, the patient developed acute respiratory failure, anuria, severe metabolic acidosis (pH 7.23), hyperkalemia (5.5 mmol/L), acute kidney injury (creatinine 299 μmol/L), hyperuricemia (716 μmol/L), and elevated lactate dehydrogenase (3953 U/L), fulfilling the diagnostic criteria for TLS. Concurrent hemothorax occurred. Continuous renal replacement therapy (CRRT) achieved rapid correction of metabolic derangements, with parameters returning to normal within seven days. Conclusion: Diagnostic liver biopsy can induce STLS in patients with high-burden solid tumors. Our systematic analysis reveals that minimally invasive procedures may precipitate TLS, emphasizing the importance of prophylactic measures, early recognition, and immediate CRRT initiation for optimal outcomes.
Keywords: Tumor Lysis Syndrome, Spontaneous tumor lysis syndrome, liver biopsy, solid tumors, case report, continuous renal replacement therapy
Received: 10 Aug 2025; Accepted: 29 Oct 2025.
Copyright: © 2025 Mao, Jiang, Wang, Cai, Hu, Gong and Zhao. This is an open-access article distributed under the terms of the Creative Commons Attribution License (CC BY). The use, distribution or reproduction in other forums is permitted, provided the original author(s) or licensor are credited and that the original publication in this journal is cited, in accordance with accepted academic practice. No use, distribution or reproduction is permitted which does not comply with these terms.
* Correspondence: Yuexi Zhao, 237724642@qq.com
Disclaimer: All claims expressed in this article are solely those of the authors and do not necessarily represent those of their affiliated organizations, or those of the publisher, the editors and the reviewers. Any product that may be evaluated in this article or claim that may be made by its manufacturer is not guaranteed or endorsed by the publisher.
