CASE REPORT article
Front. Oncol.
Sec. Surgical Oncology
Gastric Plexiform Fibromyxoma: A Case Report and Literature Review
Provisionally accepted- The Second People's Hospital of Hefei, Hefei, China
Select one of your emails
You have multiple emails registered with Frontiers:
Notify me on publication
Please enter your email address:
If you already have an account, please login
You don't have a Frontiers account ? You can register here
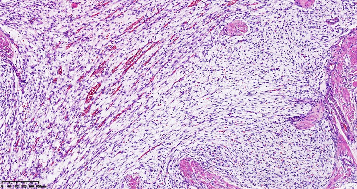
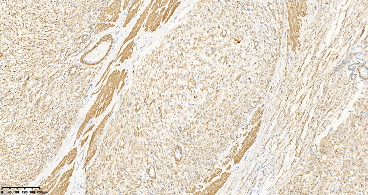
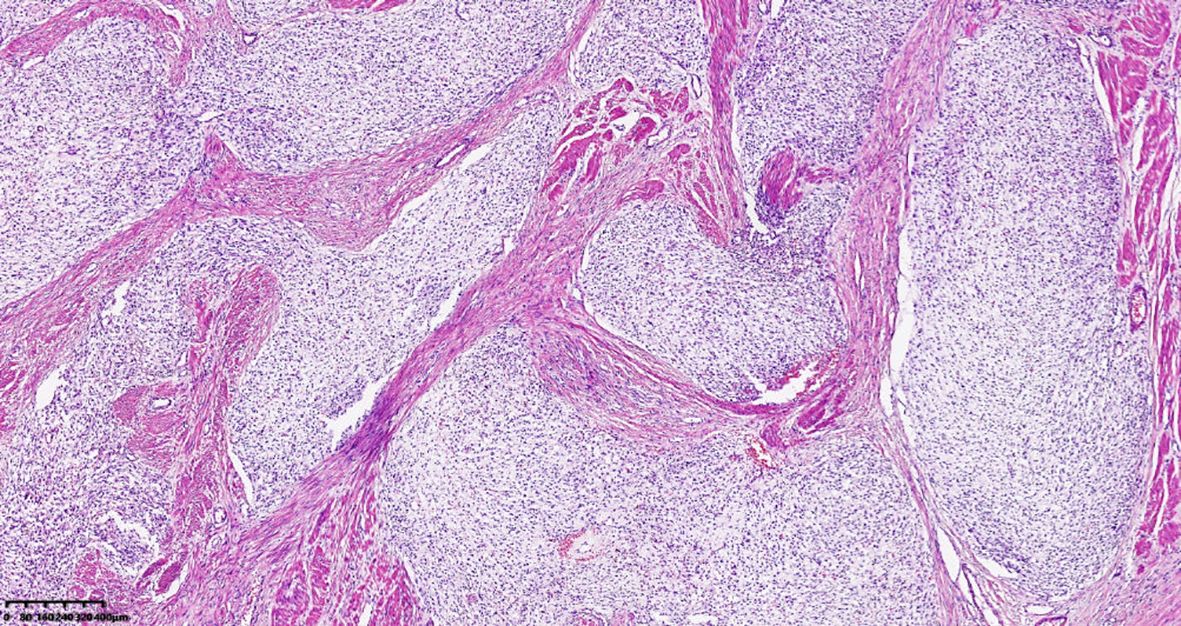
Plexiform fibromyxoma (PF) is a rare mesenchymal tumour that primarily occurs in the stomach, with the antrum and pyloric region being the most common sites. A few cases have also been reported in the duodenum, jejunum, mediastinum, gallbladder, and other locations. Over 100 cases have been reported in the literature, with more than 30 cases reported in our country. A rare case of PF occurring in the cardia and fundus of the stomach is reported in this study. The tumour tissue showed a multinodular, plexiform growth pattern between the muscle bundles of the gastric wall, in which a myxoid matrix and thin-walled vessels were visible. The tumour cells were spindle shaped or short spindle shaped, with a mild change in morphological appearance, and mitotic figures were rare. The tumour cells showed immunohistochemical expression of vimentin and SMA, with focal expression of calponin and CD10. The Ki-67 proliferation index was approximately 5%. The plexiform fibromyxoma was characterized by benign biological behaviour, with surgical excision as the primary therapy. The patient was followed up for about 2 years after surgery without any tumour recurrence or metastasis.
Keywords: Plexiform fibromyxoma, Mesenchymal tumours, Stomach, Immunohistochemistry, Benign tumor
Received: 16 Aug 2025; Accepted: 07 Nov 2025.
Copyright: © 2025 Zheng and Wang. This is an open-access article distributed under the terms of the Creative Commons Attribution License (CC BY). The use, distribution or reproduction in other forums is permitted, provided the original author(s) or licensor are credited and that the original publication in this journal is cited, in accordance with accepted academic practice. No use, distribution or reproduction is permitted which does not comply with these terms.
* Correspondence: Li Zheng, zhengli352@163.com
Disclaimer: All claims expressed in this article are solely those of the authors and do not necessarily represent those of their affiliated organizations, or those of the publisher, the editors and the reviewers. Any product that may be evaluated in this article or claim that may be made by its manufacturer is not guaranteed or endorsed by the publisher.
