CASE REPORT article
Front. Oncol.
Sec. Gastrointestinal Cancers: Hepato Pancreatic Biliary Cancers
Dabrafenib plus trametinib in an elderly patient with BRAF V600E-mutant advanced pancreatic adenocarcinoma: a case report
Provisionally accepted- 1Zhuji People's Hospital of Zhejiang Province, Zhuji, China
- 2Shaoxing University, Shaoxing, China
Select one of your emails
You have multiple emails registered with Frontiers:
Notify me on publication
Please enter your email address:
If you already have an account, please login
You don't have a Frontiers account ? You can register here
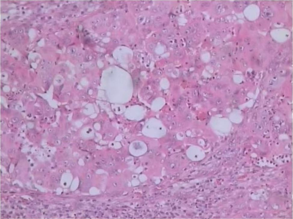
Despite the success of anti‑BRAF therapy in melanoma, data from randomized clinical trials are lacking for targeted therapy against BRAF mutations-typically the V600E variant-in pancreatic adenocarcinoma, which is associated with a poor prognosis under traditional cytotoxic chemotherapy. Here, we report a case of an elderly patient with advanced pancreatic adenocarcinoma harboring BRAF V600E mutation who received low-dose dabrafenib and trametinib achieved satisfactory clinical outcomes. We report a 78-year-old female with BRAF V600E-mutant pancreatic adenocarcinoma. The patient was diagnosed with AJCC clinical stage Ⅳ(cT3N2M1) pancreatic adenocarcinoma and she declined chemotherapy, considering her advanced age. Due to the BRAF V600E mutation, the patient was started on BRAF-and MEK-inhibitors (dabrafenib/trametinib). CT scans showed PR on December 31, 2024 and repeated CT scans showed SD on May 26, 2025. Until the writing of the case draft, the patient had achieved 8 months of PFS. The present case suggests that dose-adjusted dabrafenib combined with trametinib might be a potentially effective treatment strategy for elderly patients with advanced pancreatic adenocarcinoma harboring BRAF V600E mutations.
Keywords: Pancreatic adenocarcinoma, BRAF V600E, case report, dabrafenib, trametinib, Dose-adjusted
Received: 18 Aug 2025; Accepted: 10 Nov 2025.
Copyright: © 2025 Liu, Zhu, Guo, Tang, Zhou and Chen. This is an open-access article distributed under the terms of the Creative Commons Attribution License (CC BY). The use, distribution or reproduction in other forums is permitted, provided the original author(s) or licensor are credited and that the original publication in this journal is cited, in accordance with accepted academic practice. No use, distribution or reproduction is permitted which does not comply with these terms.
* Correspondence: Baisong Chen, 13706855699@139.com
Disclaimer: All claims expressed in this article are solely those of the authors and do not necessarily represent those of their affiliated organizations, or those of the publisher, the editors and the reviewers. Any product that may be evaluated in this article or claim that may be made by its manufacturer is not guaranteed or endorsed by the publisher.
