CASE REPORT article
Front. Oncol.
Sec. Radiation Oncology
This article is part of the Research TopicCase Reports in Radiation Oncology: 2025View all 24 articles
Spatially Fractionated Radiotherapy Combined with CapeOX and Bevacizumab for Postoperative Pulmonary Metastasis from Urachal Carcinoma: A Case Report
Provisionally accepted- 1Department of Oncology, The Affiliated Hospital of Southwest Medical University, Luzhou, China
- 2Sichuan Cancer Hospital and Institute, Chengdu, China
Select one of your emails
You have multiple emails registered with Frontiers:
Notify me on publication
Please enter your email address:
If you already have an account, please login
You don't have a Frontiers account ? You can register here
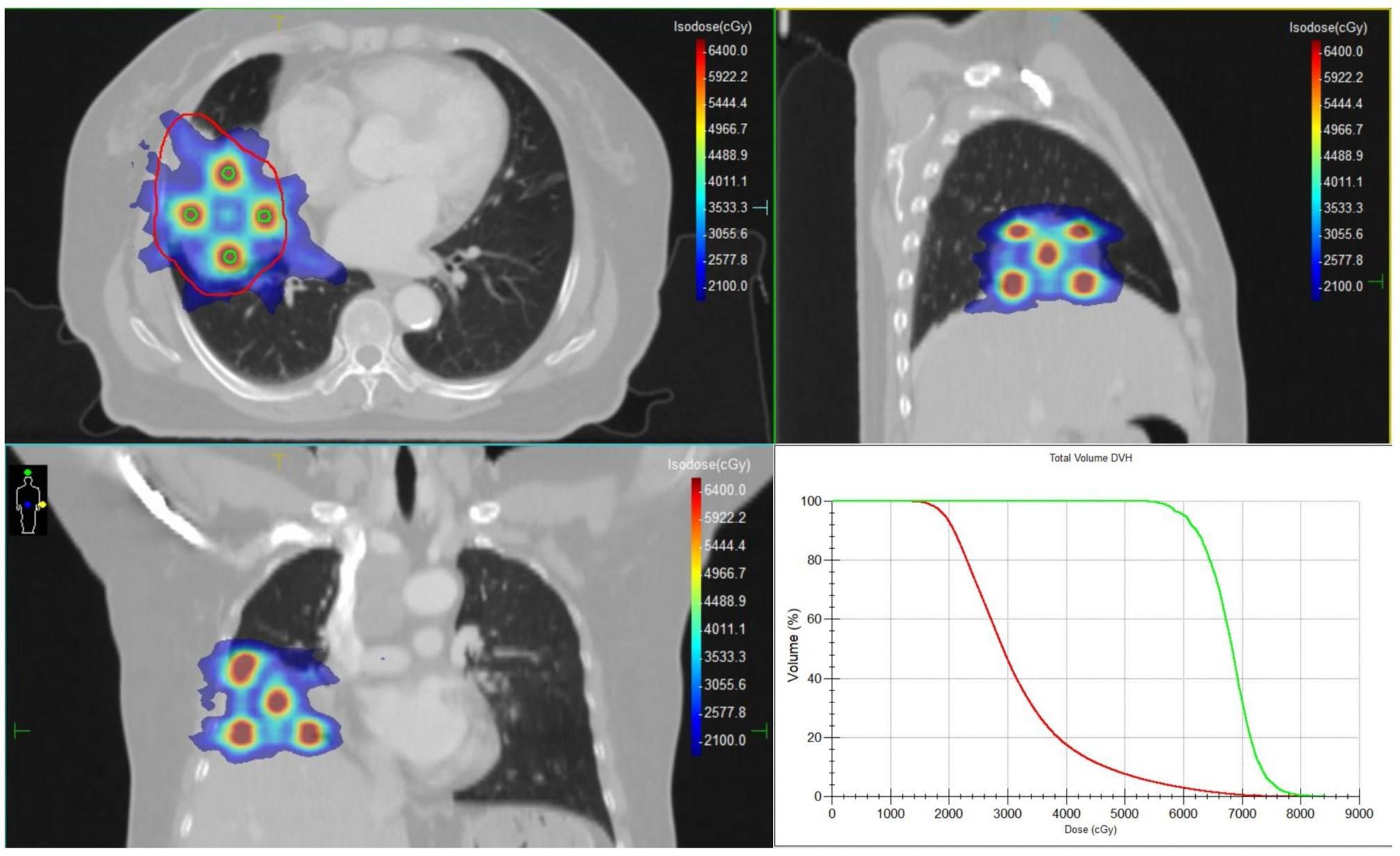
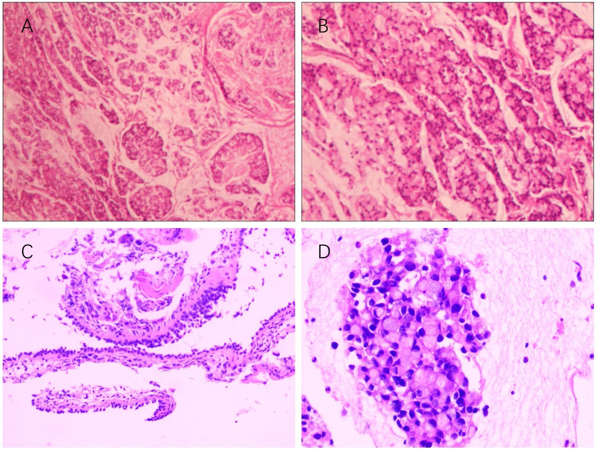
Urachal carcinoma is a rare and aggressive malignancy with limited treatment options, particularly in the metastatic setting. Standardized therapeutic protocols are lacking. This case report describes a 62-year-old female patient who developed pulmonary and mediastinal lymph node metastases more than four years after surgical resection of urachal carcinoma. For this case, a combined regimen of Spatially Fractionated Radiotherapy (SFRT), CapeOX (capecitabine plus oxaliplatin) chemotherapy, and bevacizumab targeted therapy was developed. The treatment course was complicated by grade 4 hematologic toxicity and radiation-induced esophagitis, both of which were successfully managed. To our knowledge, this represents the first documented application of SFRT in urachal carcinoma. Although significant tumor shrinkage was not observed, the patient achieved symptomatic relief, metabolic remission, and stable disease during follow-up.
Keywords: Spatially fractionated radiotherapy, lattice radiotherapy, Urachal carcinoma, Signetring cell carcinoma, Pulmonary metastasis
Received: 18 Aug 2025; Accepted: 31 Oct 2025.
Copyright: © 2025 Fang, Wang, Yao, Liu, Zhou and Lang. This is an open-access article distributed under the terms of the Creative Commons Attribution License (CC BY). The use, distribution or reproduction in other forums is permitted, provided the original author(s) or licensor are credited and that the original publication in this journal is cited, in accordance with accepted academic practice. No use, distribution or reproduction is permitted which does not comply with these terms.
* Correspondence: Jinyi  Lang, langjy610@163.com
Disclaimer: All claims expressed in this article are solely those of the authors and do not necessarily represent those of their affiliated organizations, or those of the publisher, the editors and the reviewers. Any product that may be evaluated in this article or claim that may be made by its manufacturer is not guaranteed or endorsed by the publisher.
