CASE REPORT article
Front. Oncol.
Sec. Gastrointestinal Cancers: Hepato Pancreatic Biliary Cancers
Case Report: A rare case of Gallbladder Carcinosarcoma with Osteosarcomatous Differentiation
Provisionally accepted- Deqing People's Hospital, Huzhou, China
Select one of your emails
You have multiple emails registered with Frontiers:
Notify me on publication
Please enter your email address:
If you already have an account, please login
You don't have a Frontiers account ? You can register here
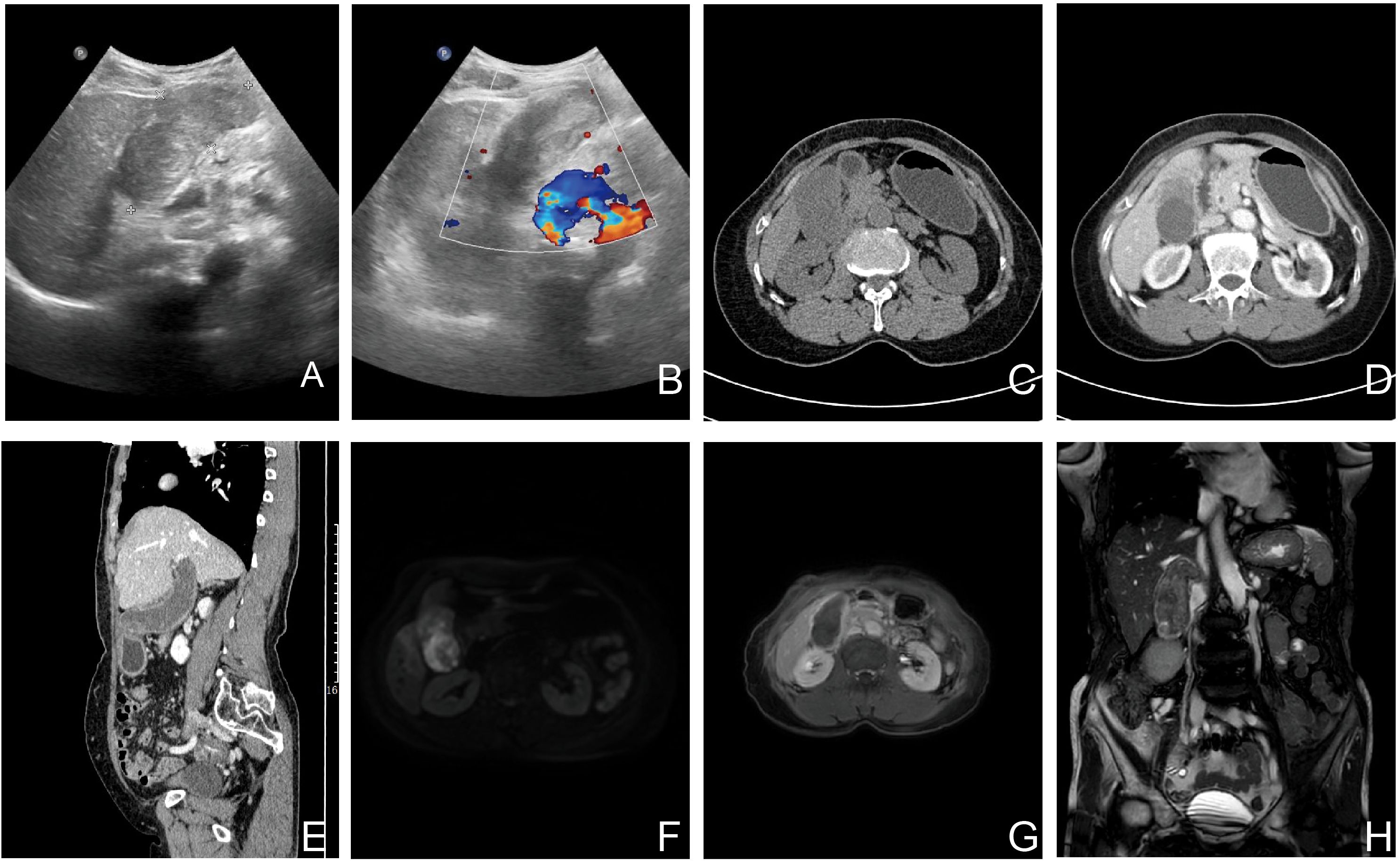
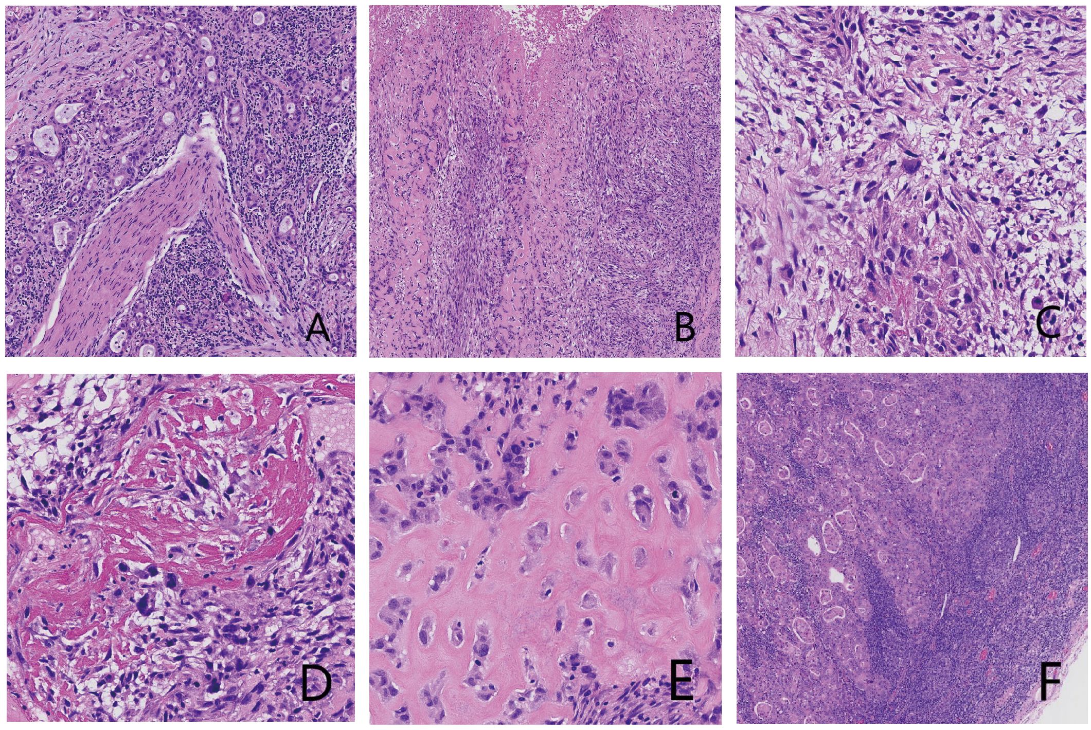
Gallbladder carcinosarcoma (GBCS) is indeed an exceptionally rare and aggressive malignancy, accounting for less than 1% of all primary gallbladder tumors. This tumor is characterized by the presence of both carcinomatous (epithelial) and sarcomatous (mesenchymal) components, making it a unique and diagnostically challenging entity. Herein, we report a case of a 71-year-old female patient who presented with a one-year history of vague epigastric pain. AFP levels were markedly elevated. Preoperative imaging revealed gallbladder enlargement with heterogeneous contrast enhancement, raising suspicion of malignancy. The patient subsequently underwent radical cholecystectomy, and postoperative histopathological examination confirmed the diagnosis of GBCS with osteosarcomatous differentiation. The patient has since completed her first cycle of chemotherapy. Even with radical resection and adjuvant chemotherapy, GBCS carries a grave prognosis. Heightened clinical suspicion, thorough imaging assessment, and confirmatory histopathological biopsy are essential for accurate preoperative diagnosis. Surgical optimization and personalized treatment strategies remain critical to improving outcomes.
Keywords: Gallbladder carcinosarcoma, osteosarcomatous differentiation, AFP, differential diagnosis, Epithelial, mesenchymal
Received: 26 Aug 2025; Accepted: 10 Nov 2025.
Copyright: © 2025 Shi, Shen, Yao, Shen and Su. This is an open-access article distributed under the terms of the Creative Commons Attribution License (CC BY). The use, distribution or reproduction in other forums is permitted, provided the original author(s) or licensor are credited and that the original publication in this journal is cited, in accordance with accepted academic practice. No use, distribution or reproduction is permitted which does not comply with these terms.
* Correspondence:
Jiajun Shi, 1281829851@qq.com
Miao Shen, 584210477@qq.com
Disclaimer: All claims expressed in this article are solely those of the authors and do not necessarily represent those of their affiliated organizations, or those of the publisher, the editors and the reviewers. Any product that may be evaluated in this article or claim that may be made by its manufacturer is not guaranteed or endorsed by the publisher.
