CASE REPORT article
Front. Oncol.
Sec. Neuro-Oncology and Neurosurgical Oncology
FGFR1 Mutation and Massive Chromosome Loss Drive Malignant Transformation of Low-Grade Gliomas
Provisionally accepted- 1Department of Neurosurgery, The Second Affiliated Hospital of Soochow University, Suzhou, China, Suzhou, China
- 2Department of General Surgery, Children's Hospital of Soochow University, Suzhou, China, Suzhou, China
- 3Advanced Molecular Pathology Institute of Soochow University and SANO, Suzhou, China, Suzhou, China
- 4Suzhou SANO Precision Medicine Ltd, SANO Medical Laboratories, Suzhou, China, Suzhou, China
- 5Department of Neurosurgery, Children's Hospital of Soochow University, Suzhou, China, Suzhou, China
- 6Department of Pathology, The Second Affiliated Hospital of Soochow University, Suzhou, China, Suzhou, China
- 7Department of Biological Sciences, Xi An Jiaotong-Liverpool University, Suzhou 215000, China, Suzhou, China
Select one of your emails
You have multiple emails registered with Frontiers:
Notify me on publication
Please enter your email address:
If you already have an account, please login
You don't have a Frontiers account ? You can register here
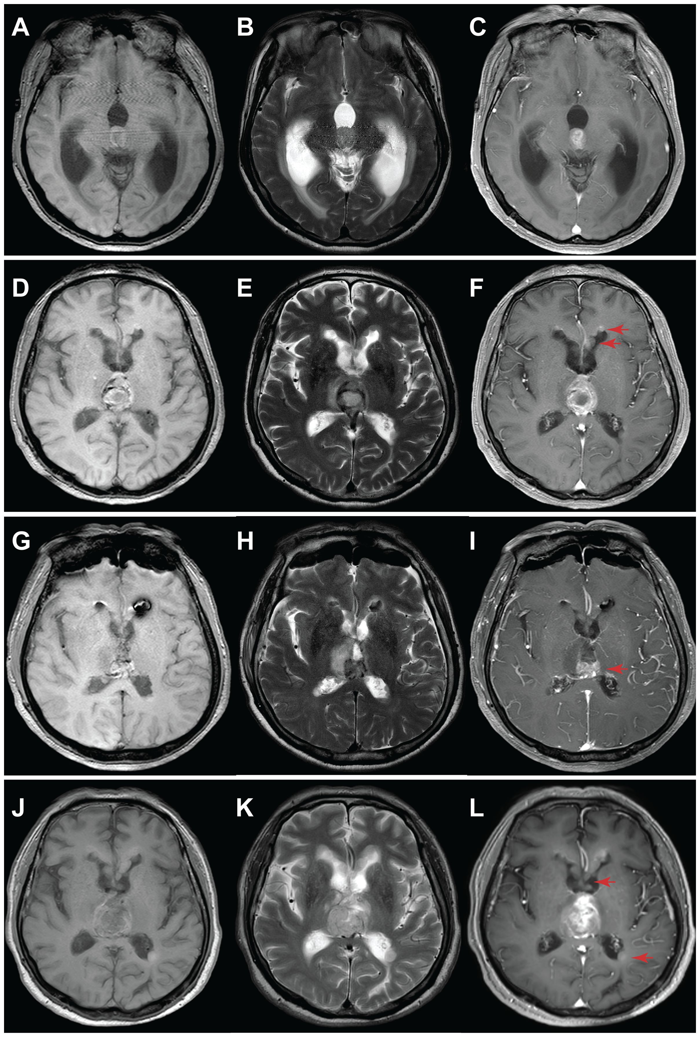
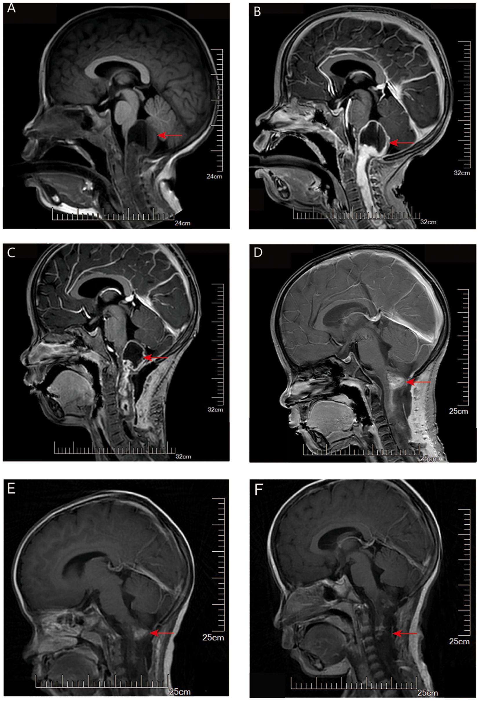
The mitogen-activated protein kinase (MAPK) signaling pathway plays roles in cell proliferation, differentiation, and apoptosis, all crucial for cellular transformation. It's no surprise that MAPK alterations are prevalent in numerous tumors. Several critical genes in the MAPK signaling pathway, including BRAF, FGFR, and NF1, are mutated in brain tumors. For example, FGFR1 mutation or rearrangement has been described in pilocytic astrocytoma, diffuse astrocytoma, and dysembryoplastic neuroepithelial tumor (DNT). These MAPK-activated brain tumors are benign and seldom progress to malignancies, with the mechanisms driving this rare transformation not yet fully understood. In this study, we present two cases of high-grade glioma characterized by a single activating mutation of FGFR1 and massive chromosome loss (near-haploid genome). Similar haploidy is found in 3 additional high-grade astrocytoma by literature review, all harbor a single gene mutation in the MAPK pathway. We propose that the massive chromosome loss might serve as a significant mechanism contributing to the unusual malignant transformation of benign brain tumors activated by the MAPK pathway.
Keywords: FGFR1, Haploidy, Glioma, malignant transformation, Methylation
Received: 29 Aug 2025; Accepted: 28 Oct 2025.
Copyright: © 2025 Chen, Tang, Wan, Xiang, Chen, Chen, Dai, Rong, Xiao, Lan, Huang and Wang. This is an open-access article distributed under the terms of the Creative Commons Attribution License (CC BY). The use, distribution or reproduction in other forums is permitted, provided the original author(s) or licensor are credited and that the original publication in this journal is cited, in accordance with accepted academic practice. No use, distribution or reproduction is permitted which does not comply with these terms.
* Correspondence: 
Qing  Lan, szlq006@163.com
Shungen  Huang, huangshungen20@163.com
Hangzhou  Wang, wanghangzhou24@163.com
Disclaimer: All claims expressed in this article are solely those of the authors and do not necessarily represent those of their affiliated organizations, or those of the publisher, the editors and the reviewers. Any product that may be evaluated in this article or claim that may be made by its manufacturer is not guaranteed or endorsed by the publisher.
