CASE REPORT article
Front. Oncol.
Sec. Gynecological Oncology
Rapid Resolution of Malignant Acanthosis Nigricans following Chemotherapy for Cervical Cancer
Provisionally accepted- 1Zigong Third People's Hospital, Zigong, China
- 2Affiliated Traditional Chinese Medicine Hospital of Southwest Medical University, luzhou, China
Select one of your emails
You have multiple emails registered with Frontiers:
Notify me on publication
Please enter your email address:
If you already have an account, please login
You don't have a Frontiers account ? You can register here
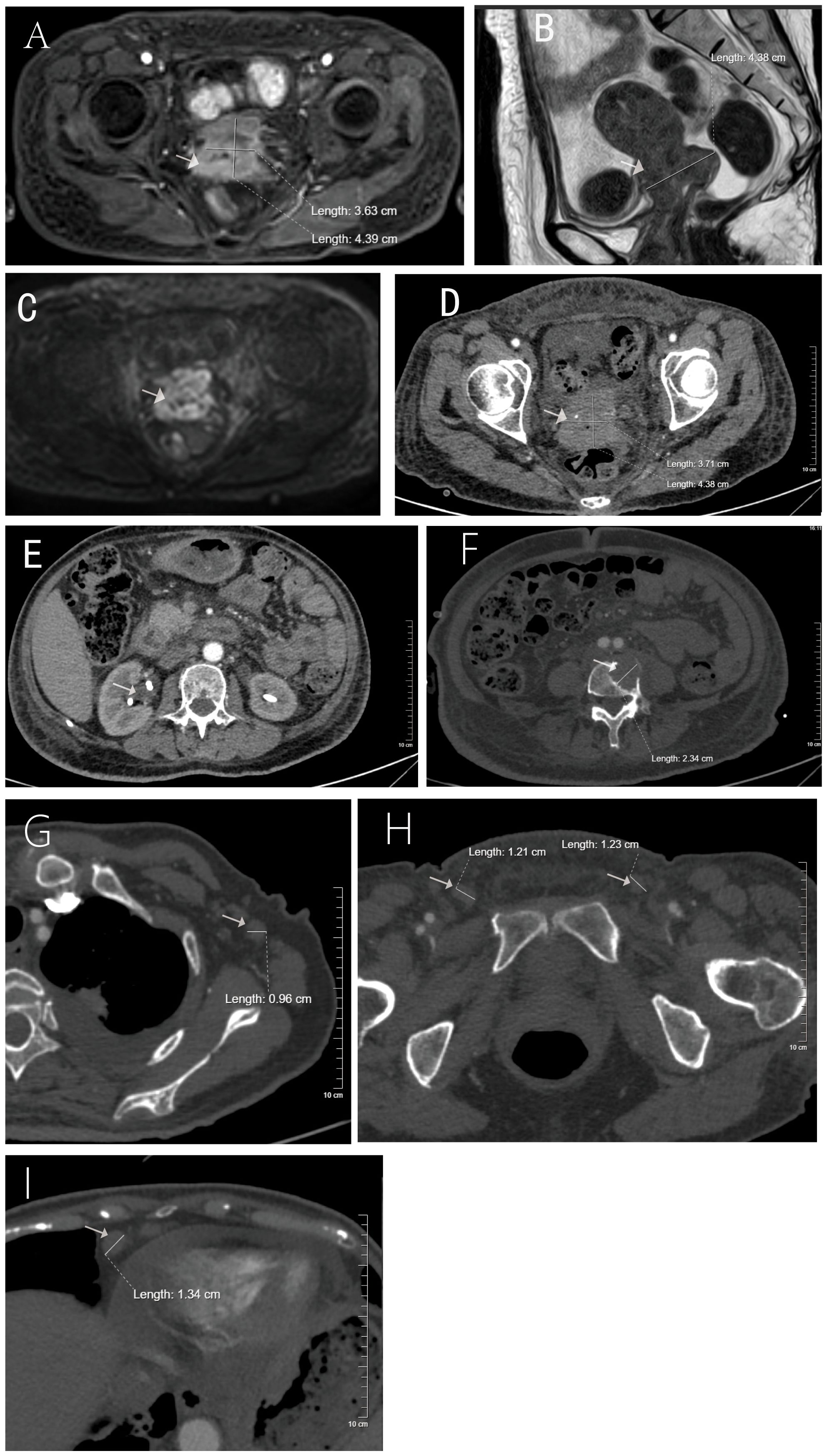
We present a 55-year-old non-obese female exhibiting rapidly progressive malignant acanthosis nigricans (MAN) as the initial manifestation, characterized by widespread malodorous skin lesions preceding the ultimate diagnosis of human papillomavirus 16 (HPV16)-positive poorly differentiated cervical squamous cell carcinoma by four years. Following chemotherapy, both tumor markers and cutaneous manifestations demonstrated rapid regression. However, at the most recent follow-up (August 2025), the patient was hospitalized for management of grade 3 myelosuppression and a secondary pulmonary infection, requiring a temporary suspension of antitumor therapy. This treatment-response correlation provides compelling clinical substantiation for the "tumor-secretory factor-driven" pathogenesis, indicating that MAN may serve as a critical early paraneoplastic signal of HPV-associated gynecologic malignancies and warranting prompt systemic screening upon its recognition.
Keywords: Malignant acanthosis nigricans (MAN), Cervical neoplasms, Paraneoplastic Syndromes, Human papillomavirus, treatment outcome
Received: 29 Aug 2025; Accepted: 28 Oct 2025.
Copyright: © 2025 Hu, Chen, Tong, Hao and Yunwei. This is an open-access article distributed under the terms of the Creative Commons Attribution License (CC BY). The use, distribution or reproduction in other forums is permitted, provided the original author(s) or licensor are credited and that the original publication in this journal is cited, in accordance with accepted academic practice. No use, distribution or reproduction is permitted which does not comply with these terms.
* Correspondence: Han  Yunwei, 530018842@qq.com
Disclaimer: All claims expressed in this article are solely those of the authors and do not necessarily represent those of their affiliated organizations, or those of the publisher, the editors and the reviewers. Any product that may be evaluated in this article or claim that may be made by its manufacturer is not guaranteed or endorsed by the publisher.
