CASE REPORT article
Front. Oncol.
Sec. Gastrointestinal Cancers: Gastric and Esophageal Cancers
Overcoming Diagnostic Pitfalls in Primary Gastric Squamous Cell Carcinoma: The Imperative of Adequate Sampling in an Elderly Female Patient, Case report
Provisionally accepted- 1Lu'an Hospital Affiliated To Anhui University of Chinese Medicine, Lu'an, China
- 2Shandong University of Traditional Chinese Medicine Affiliated Hospital, Jinan, China
- 3The Second Affiliated Hospital of Anhui University of Chinese Medicine, Hefei, China
Select one of your emails
You have multiple emails registered with Frontiers:
Notify me on publication
Please enter your email address:
If you already have an account, please login
You don't have a Frontiers account ? You can register here
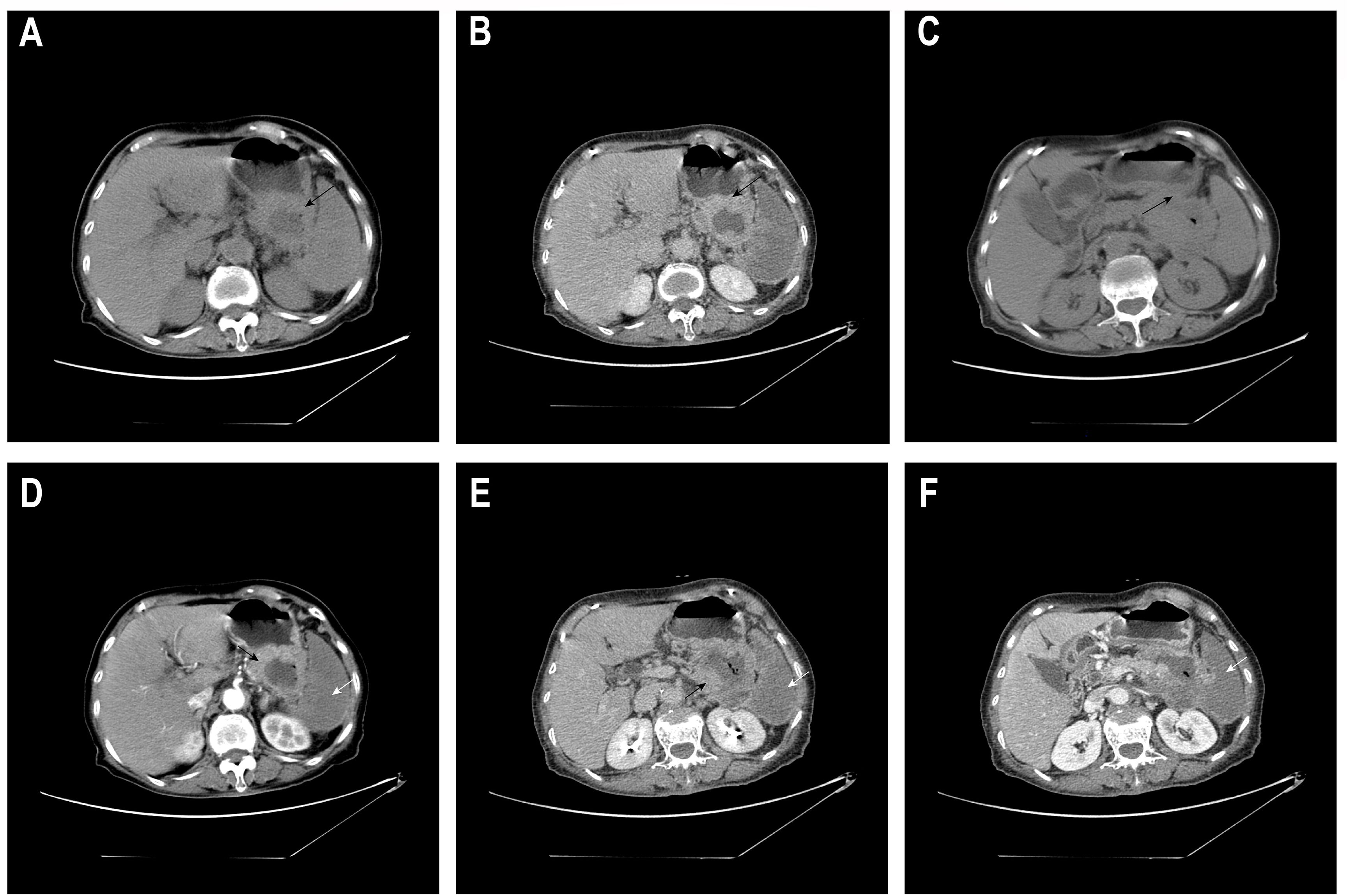
Objective: To report the diagnosis and treatment of a rare case of primary gastric squamous cell carcinoma (PGSCC) in an elderly female, and to explore the diagnostic pitfalls and individualized treatment strategies. Methods: We conducted a retrospective analysis of the clinical, imaging, endoscopic, and pathological data of a 77-year-old female patient. The evolution of the diagnosis from the initial "possible adenocarcinoma" to the final diagnosis of " squamous cell carcinoma" was emphasized. Results: The patient presented with abdominal pain. The first endoscopic biopsy, due to the limited tissue sample, showed immunohistochemistry results of CKpan (+), CK7(+), MUC5AC (focal+), and Ki-67(partly+), favoring a diagnosis of adenocarcinoma. A subsequent deep biopsy with complete immunohistochemistry (CK5/6+, P40+, P63+) confirmed the diagnosis of gastric squamous cell carcinoma. Given the patient's advanced age, poor physical condition, and refusal of surgery, a palliative treatment plan of "Raltitrexed + Sintilimab" was finally decided upon after a multidisciplinary consultation. Conclusion: This case highlights the importance of adequate sampling in the diagnosis of gastric squamous cell carcinoma to avoid misdiagnosis due to limited specimens. It also provides a potential treatment option of immune therapy combined with low-dose chemotherapy for elderly patients with gastric squamous cell carcinoma who are not suitable for surgery.
Keywords: Gastric squamous cell carcinoma;, Diagnosis; Immunohistochemistry;, Misdiagnosis;, Palliative treatment;, Immunotherapy
Received: 29 Aug 2025; Accepted: 28 Oct 2025.
Copyright: © 2025 Dong, Cheng, Xu, Xu, yin, Sun, Wu and Leng. This is an open-access article distributed under the terms of the Creative Commons Attribution License (CC BY). The use, distribution or reproduction in other forums is permitted, provided the original author(s) or licensor are credited and that the original publication in this journal is cited, in accordance with accepted academic practice. No use, distribution or reproduction is permitted which does not comply with these terms.
* Correspondence: Yuling Leng, lengyuling012@163.com
Disclaimer: All claims expressed in this article are solely those of the authors and do not necessarily represent those of their affiliated organizations, or those of the publisher, the editors and the reviewers. Any product that may be evaluated in this article or claim that may be made by its manufacturer is not guaranteed or endorsed by the publisher.
