CASE REPORT article
Front. Oncol.
Sec. Gastrointestinal Cancers: Hepato Pancreatic Biliary Cancers
Efficacy of Lenvatinib Combined with TAS-102 as Second-Line Therapy for Advanced Intrahepatic Cholangiocarcinoma: A Case Report
Provisionally accepted- 1Anhui University of Chinese Medicine, Hefei, China
- 2Oncology Department of Integrated Traditional Chinese and Western Medicine, The First Affiliated Hospital of Anhui Medical University, Hefei, China
- 3The Graduated School, Anhui University of Traditional Chinese Medicine, Hefei, China
- 4Anhui Medical University, Hefei, China
Select one of your emails
You have multiple emails registered with Frontiers:
Notify me on publication
Please enter your email address:
If you already have an account, please login
You don't have a Frontiers account ? You can register here
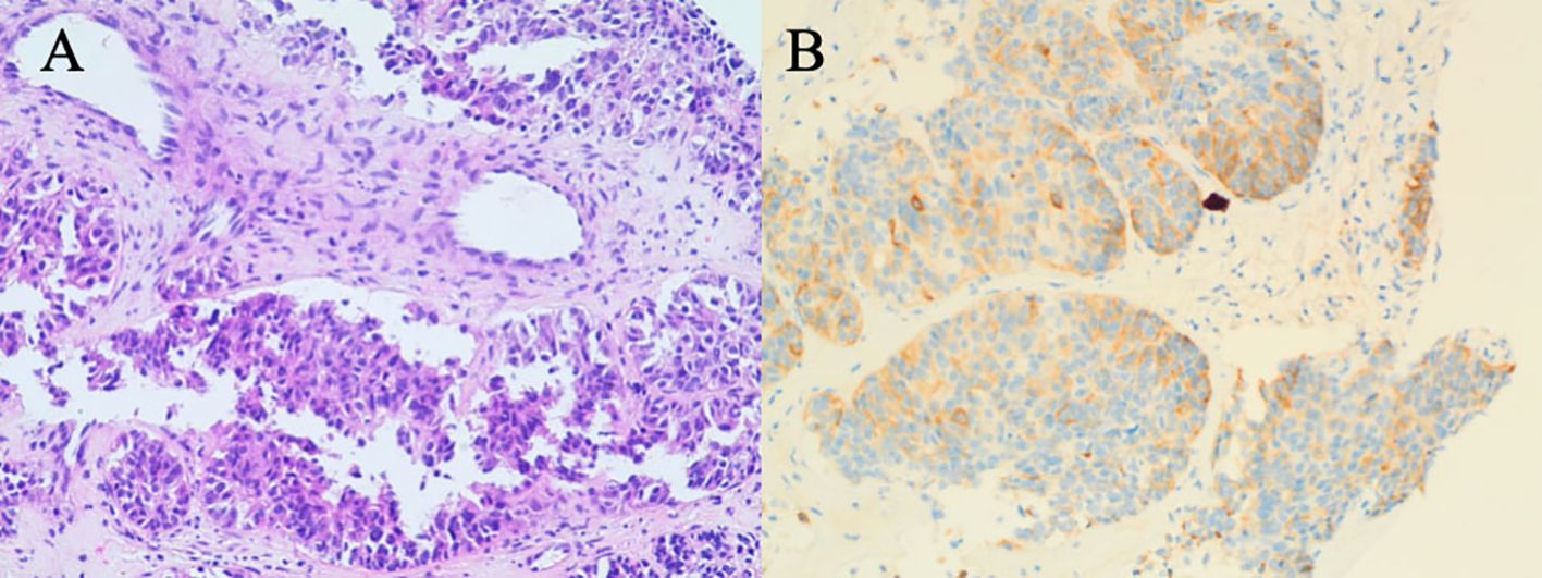
Currently, chemotherapy remains the primary treatment modality for advanced intrahepatic cholangiocarcinoma (iCCA). However, the efficacy of existing regimens in patients requiring later-line therapy is limited, with low objective response rates and considerable adverse effects. Therefore, the development of effective and safe novel therapeutic strategies is of critical importance. We report a case of unresectable metastatic iCCA in which first-line therapy with a PD-1 inhibitor combined with a tyrosine kinase inhibitor (TKI) failed. The patient subsequently received second-line treatment with lenvatinib in combination with trifluridine/tipiracil (TAS-102), which resulted in significant tumor shrinkage and a partial response (PR) upon evaluation, without the occurrence of grade 3 or higher adverse events. The progression-free survival (PFS) was 13.33 months. This case suggests that lenvatinib combined with TAS-102 exhibits favorable antitumor activity and may represent a promising therapeutic option for advanced iCCA in the later-line setting.
Keywords: Intrahepatic cholangiocarcinoma (ICC), Lenvatinib (PubChem CID9823820), TAS-102 (trifluridine/tipiracil), TKI (tyrosine kinase inhibitor), PD-1 inhibitor resistance
Received: 30 Aug 2025; Accepted: 21 Nov 2025.
Copyright: © 2025 Li, Liu and Zhang. This is an open-access article distributed under the terms of the Creative Commons Attribution License (CC BY). The use, distribution or reproduction in other forums is permitted, provided the original author(s) or licensor are credited and that the original publication in this journal is cited, in accordance with accepted academic practice. No use, distribution or reproduction is permitted which does not comply with these terms.
* Correspondence: Mei Zhang, zm13856990019@163.com
Disclaimer: All claims expressed in this article are solely those of the authors and do not necessarily represent those of their affiliated organizations, or those of the publisher, the editors and the reviewers. Any product that may be evaluated in this article or claim that may be made by its manufacturer is not guaranteed or endorsed by the publisher.
