CASE REPORT article
Front. Oncol.
Sec. Radiation Oncology
This article is part of the Research TopicRadiation Spatial Fractionation—A novel approach to integrate Physics, Biology, and Immunology for high therapeutic index radiotherapyView all 7 articles
Early Experience with SBRT-based Partial Tumor irradiation targeting Hypoxic segment (SBRT-PATHY) of large bulky tumors.
Provisionally accepted- Department of Radiation Oncology, Moffitt Cancer Center, Tampa, United States
Select one of your emails
You have multiple emails registered with Frontiers:
Notify me on publication
Please enter your email address:
If you already have an account, please login
You don't have a Frontiers account ? You can register here
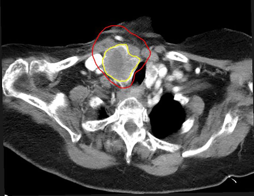
Large bulky tumors possess poor prognostic characteristics that make tumor control difficult. SBRT-based Partial Tumor irradiation targeting Hypoxic segment (SBRT-PATHY) has been described as a spatially fractionated radiotherapy technique that induces both bystander and abscopal effects by sparing the peri-tumoral immune micro-environment thus minimizing the negative effects of radiation induced lymphopenia. The aim of these case reports is to present our early experience of 4 cases in the utilization of SBRT-PATHY at our institution.
Keywords: SBRT-PATHY, Immunomodulation, abscopal effect, By-stander effect, spatially fractionated radiation therapy
Received: 02 Sep 2025; Accepted: 10 Nov 2025.
Copyright: © 2025 Penagaricano and Nakashima. This is an open-access article distributed under the terms of the Creative Commons Attribution License (CC BY). The use, distribution or reproduction in other forums is permitted, provided the original author(s) or licensor are credited and that the original publication in this journal is cited, in accordance with accepted academic practice. No use, distribution or reproduction is permitted which does not comply with these terms.
* Correspondence: Jose Penagaricano, jose.penagaricano@moffitt.org
Disclaimer: All claims expressed in this article are solely those of the authors and do not necessarily represent those of their affiliated organizations, or those of the publisher, the editors and the reviewers. Any product that may be evaluated in this article or claim that may be made by its manufacturer is not guaranteed or endorsed by the publisher.
