ORIGINAL RESEARCH article
Front. Oncol.
Sec. Gastrointestinal Cancers: Gastric and Esophageal Cancers
Prediction of Long-term Survival in Gastric Cancer Patients after Immunotherapy Based on CT-derived Extracellular Volume Fraction
Provisionally accepted- 1Department of Radiology, Wuhan Union Hospital, Tongji Medical College, Huazhong University of Science and Technology, Wuhan, China
- 2Huazhong University of Science and Technology Tongji Medical College Union Hospital, Wuhan, China
Select one of your emails
You have multiple emails registered with Frontiers:
Notify me on publication
Please enter your email address:
If you already have an account, please login
You don't have a Frontiers account ? You can register here
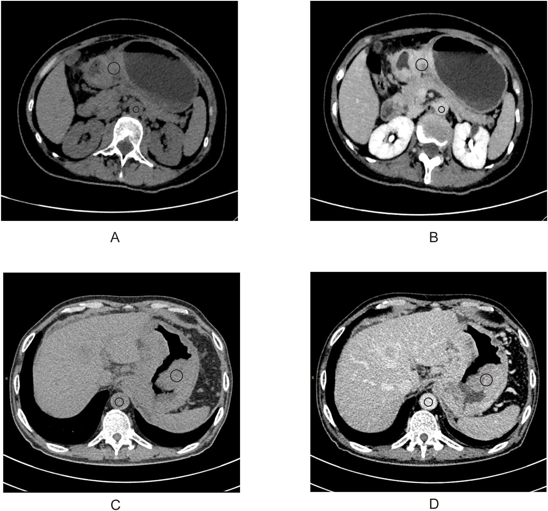
Background: Gastric cancer remains a leading cause of cancer-related mortality. While immune checkpoint inhibitors (ICIs) have emerged as promising therapies, their efficacy is hindered by the lack of robust patient-centric biomarkers. CT-derived extracellular volume fraction (ECV) has emerged as a novel approach for non-invasive quantification of the extracellular matrix (ECM). This study assesses the predictive value of ECV, a non-invasive imaging biomarker, in gastric cancer patients receiving programmed death receptor-1 (PD-1) inhibitors. Methods: A retrospective study was conducted on 101 gastric adenocarcinoma patients (stage III: n=47; stage IV: n=54) treated with PD-1 inhibitors at Wuhan Union Hospital from June 21, 2020 to January 3, 2024. Patients were stratified into high and low ECV groups using X-tile software. Survival outcomes were compared using Kaplan-Meier curves and log-rank tests. Cox regression analyses identified independent prognostic factors. Two predictive models were developed and evaluated via receiver operating characteristic (ROC) curves, area under the curve (AUC), with internal validation using 1000 bootstrap iterations. Results: KaplanāMeier survival curves indicated that the ECV-higher group had shorter progression-free survival (PFS) (P< 0.001) and overall survival (OS) (P< 0.001) than the ECV-lower group. Multivariate Cox regression analysis confirmed that high CT-ECV was independently associated with worse PFS and OS (PFS: HR = 2.716, 95% CI: 1.432 - 5.152, P = 0.002 and OS: HR = 2.593, 95% CI: 1.322 - 5.084, P = 0.006). Conclusion: CT-derived ECV may serve as an independent predictor of long-term survival in gastric cancer patients undergoing immunotherapy.
Keywords: gastric cancer, Immunotherapy, PD-1 inhibitors, biomarkers, extracellular volume fraction, Extracellular Matrix, Contrast-enhanced CT
Received: 03 Sep 2025; Accepted: 07 Nov 2025.
Copyright: Ā© 2025 Wang, Jiang, Yang, Li, Li, Lei, Kong and Zhou. This is an open-access article distributed under the terms of the Creative Commons Attribution License (CC BY). The use, distribution or reproduction in other forums is permitted, provided the original author(s) or licensor are credited and that the original publication in this journal is cited, in accordance with accepted academic practice. No use, distribution or reproduction is permitted which does not comply with these terms.
* Correspondence:
Ziqiao Lei, ziqiao_lei@hust.edu.cn
Xiangchuang Kong, hongke80@hust.edu.cn
Guofeng Zhou, zhouguofeng69@126.com
Disclaimer: All claims expressed in this article are solely those of the authors and do not necessarily represent those of their affiliated organizations, or those of the publisher, the editors and the reviewers. Any product that may be evaluated in this article or claim that may be made by its manufacturer is not guaranteed or endorsed by the publisher.
