CASE REPORT article
Front. Oncol.
Sec. Genitourinary Oncology
ELOC(TCEB1)-mutated Renal Cell Carcinoma: A Case Report and Clinicopathological Analysis
Provisionally accepted- 1Hangzhou Cancer Hospital, Hangzhou, China
 - 2Ningbo Yinzhou No 2 Hospital, Ningbo, China
 
Select one of your emails
You have multiple emails registered with Frontiers:
Notify me on publication
Please enter your email address:
If you already have an account, please login
You don't have a Frontiers account ? You can register here
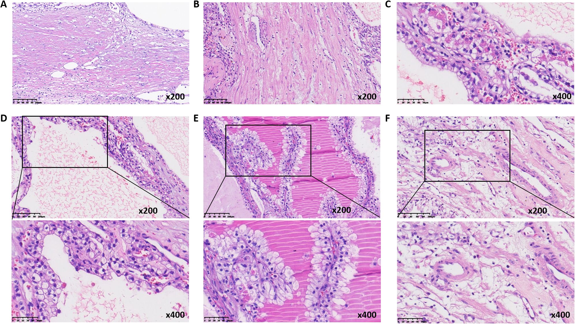
ELOC (also referred to as TCEB1)-mutated renal cell carcinoma (ELOC-mutated RCC) is a rare, molecularly defined RCC newly incorporated into the 2022 5th Edition WHO Classification of Tumours of the Urinary and Male Genital Organs 1. It exhibits a broad histomorphological spectrum with overlapping features with clear cell RCC, posing diagnostic challenges and potential for misdiagnosis if not considered. This report presents a case initially diagnosed as CK7-positive RCC with fibromyomatous stroma (RCC-FMS). Next-generation sequencing (NGS) revealed a ELOC p.Y79C gene mutation in tumor cells, leading to the definitive diagnosis of ELOC-mutated RCC. Enhancing awareness of this rare tumor is crucial for improving diagnostic accuracy.
Keywords: RCC (Renal Cell Carcinoma), ELOC (TCEB1), case report, Clinicopathological, Immunohistochemistry
Received: 11 Sep 2025; Accepted: 04 Nov 2025.
Copyright: © 2025 Wang, Zhu and Fang. This is an open-access article distributed under the terms of the Creative Commons Attribution License (CC BY). The use, distribution or reproduction in other forums is permitted, provided the original author(s) or licensor are credited and that the original publication in this journal is cited, in accordance with accepted academic practice. No use, distribution or reproduction is permitted which does not comply with these terms.
* Correspondence: Shuo  Wang, wangs93@zju.edu.cn
Disclaimer: All claims expressed in this article are solely those of the authors and do not necessarily represent those of their affiliated organizations, or those of the publisher, the editors and the reviewers. Any product that may be evaluated in this article or claim that may be made by its manufacturer is not guaranteed or endorsed by the publisher.
