CASE REPORT article
Front. Oncol.
Sec. Thoracic Oncology
This article is part of the Research TopicReal-World Data and Real-World Evidence in Lung Cancer Volume IIView all 14 articles
A Case of Necrotizing Sarcoid Granulomatosis Mimicking Metastatic Tumor
Provisionally accepted- Shaoxing People's Hospital, Shaoxing, China
Select one of your emails
You have multiple emails registered with Frontiers:
Notify me on publication
Please enter your email address:
If you already have an account, please login
You don't have a Frontiers account ? You can register here
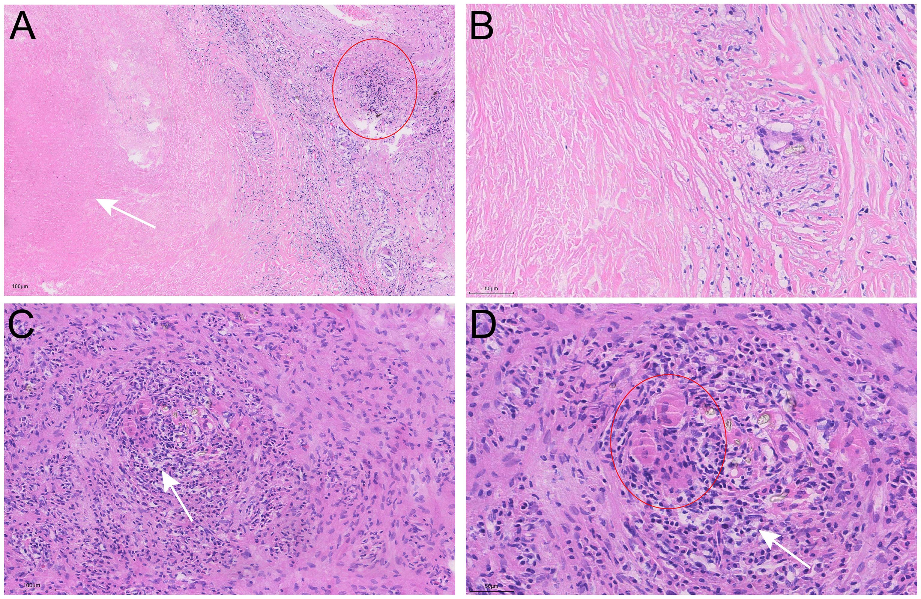
Abstract: This article presents a case study of a patient with early-stage lung cancer who received comprehensive management at our institution throughout the entire clinical course. During follow-up, multiple progressively enlarging solid nodules were detected in the right lung and pleural cavity. Positron emission tomography-computed tomography (PET-CT) demonstrated increased fluorodeoxyglucose (FDG) uptake in these nodules, with a maximum standardized uptake value (SUVmax) of 3.568. Following a multidisciplinary team (MDT) discussion, surgical resection of the nodules was undertaken. Pathological examination confirmed the diagnosis of necrotizing sarcoid granulomatosis (NSG), with special staining and microbiological testing yielding negative results, thereby excluding infectious lesions and tumor metastasis. This case highlights the critical importance of distinguishing metastatic tumors from NSG when new intrapulmonary or pleural nodules appear post-lung cancer surgery. Surgical biopsy is demonstrated to be an effective modality for achieving a definitive diagnosis.
Keywords: lung cancer, necrotizing sarcoid granulomatosis, Metastatic tumor, Multidisciplinary team, Surgical biopsy
Received: 11 Sep 2025; Accepted: 03 Nov 2025.
Copyright: © 2025 Lingjun, Fu, Wei and Yu. This is an open-access article distributed under the terms of the Creative Commons Attribution License (CC BY). The use, distribution or reproduction in other forums is permitted, provided the original author(s) or licensor are credited and that the original publication in this journal is cited, in accordance with accepted academic practice. No use, distribution or reproduction is permitted which does not comply with these terms.
* Correspondence: guangmao Yu, yuguangmaokhi@163.com
Disclaimer: All claims expressed in this article are solely those of the authors and do not necessarily represent those of their affiliated organizations, or those of the publisher, the editors and the reviewers. Any product that may be evaluated in this article or claim that may be made by its manufacturer is not guaranteed or endorsed by the publisher.
