CASE REPORT article
Front. Oncol.
Sec. Genitourinary Oncology
This article is part of the Research TopicTesticular Cancer Awareness Month 2025: Spotlighting Advances in Research and Treatment for Testicular Cancer PatientsView all 4 articles
A rare Zinner syndrome combined with testicular cancer: a case report
Provisionally accepted- 1Department of urology, West China Hospital of Sichuan University, Chengdu, China
- 2Department of Urology, Wusheng County People’s Hospital (Wusheng Hospital Affiliated Hospital of North Sichuan Medical College), Guangan, China
Select one of your emails
You have multiple emails registered with Frontiers:
Notify me on publication
Please enter your email address:
If you already have an account, please login
You don't have a Frontiers account ? You can register here
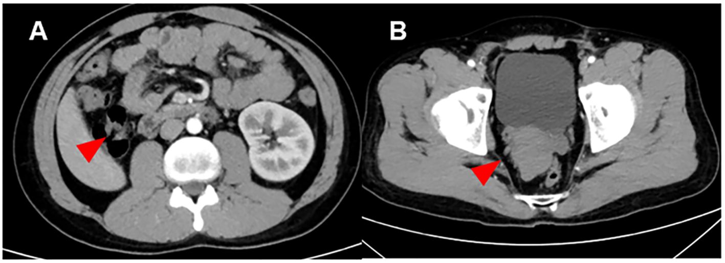
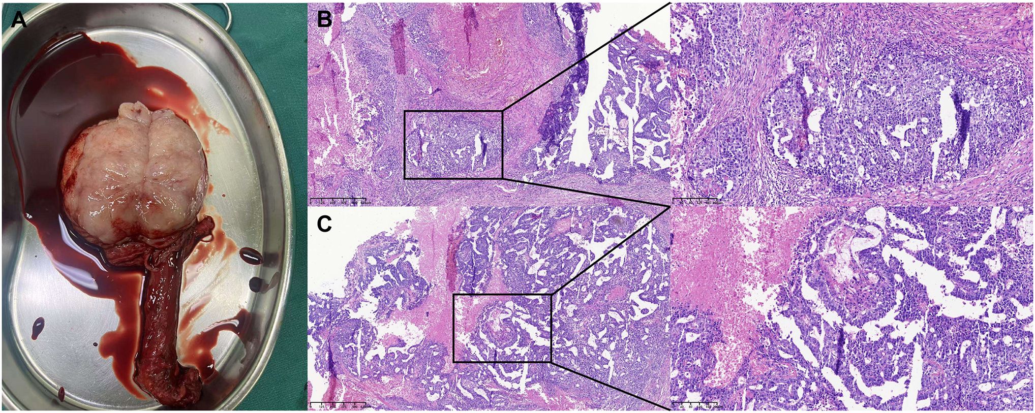
Abstract Background: Zinner syndrome is a rare congenital disorder of the urogenital system. In current reports, cases of Zinner syndrome complicated by malignant tumors are even rarer. Case Description: We reported a 26-year-old male with Zinner syndrome complicated by testicular embryonal carcinoma and retroperitoneal lymph node metastasis. He received orchiectomy, chemotherapy and a retroperitoneal lymph node dissection with favorable response. Conclusions: As suggested by this rare case, Zinner syndrome may be bound up with genitourinary malignancy tumor. When diagnosing congenital disorders of the urinary system, it is essential for clinicians to take into consideration potential complications. More importantly, it is also paramount to account for the similarities and differences in diagnosis and treatment between comorbid and isolated conditions.
Keywords: Zinner syndrome, testicular cancer, Surgery, chemotherapy, rare disease
Received: 12 Sep 2025; Accepted: 14 Nov 2025.
Copyright: © 2025 Meng, Jia, Tang, Deng, Hu, Wu, Li and Shao. This is an open-access article distributed under the terms of the Creative Commons Attribution License (CC BY). The use, distribution or reproduction in other forums is permitted, provided the original author(s) or licensor are credited and that the original publication in this journal is cited, in accordance with accepted academic practice. No use, distribution or reproduction is permitted which does not comply with these terms.
* Correspondence: Yanxiang Shao, shaoyanxiang19@hotmail.com
Disclaimer: All claims expressed in this article are solely those of the authors and do not necessarily represent those of their affiliated organizations, or those of the publisher, the editors and the reviewers. Any product that may be evaluated in this article or claim that may be made by its manufacturer is not guaranteed or endorsed by the publisher.
