CASE REPORT article
Front. Oncol.
Sec. Thoracic Oncology
This article is part of the Research TopicNovel Theragnostic Approaches in Thoracic MalignanciesView all 4 articles
Therapeutic Dilemmas in Young Children with Lung Cancer: A Case Report and Literature Review
Provisionally accepted- Taihe Hospital, Hubei University of Medicine, Shiyan, China
Select one of your emails
You have multiple emails registered with Frontiers:
Notify me on publication
Please enter your email address:
If you already have an account, please login
You don't have a Frontiers account ? You can register here
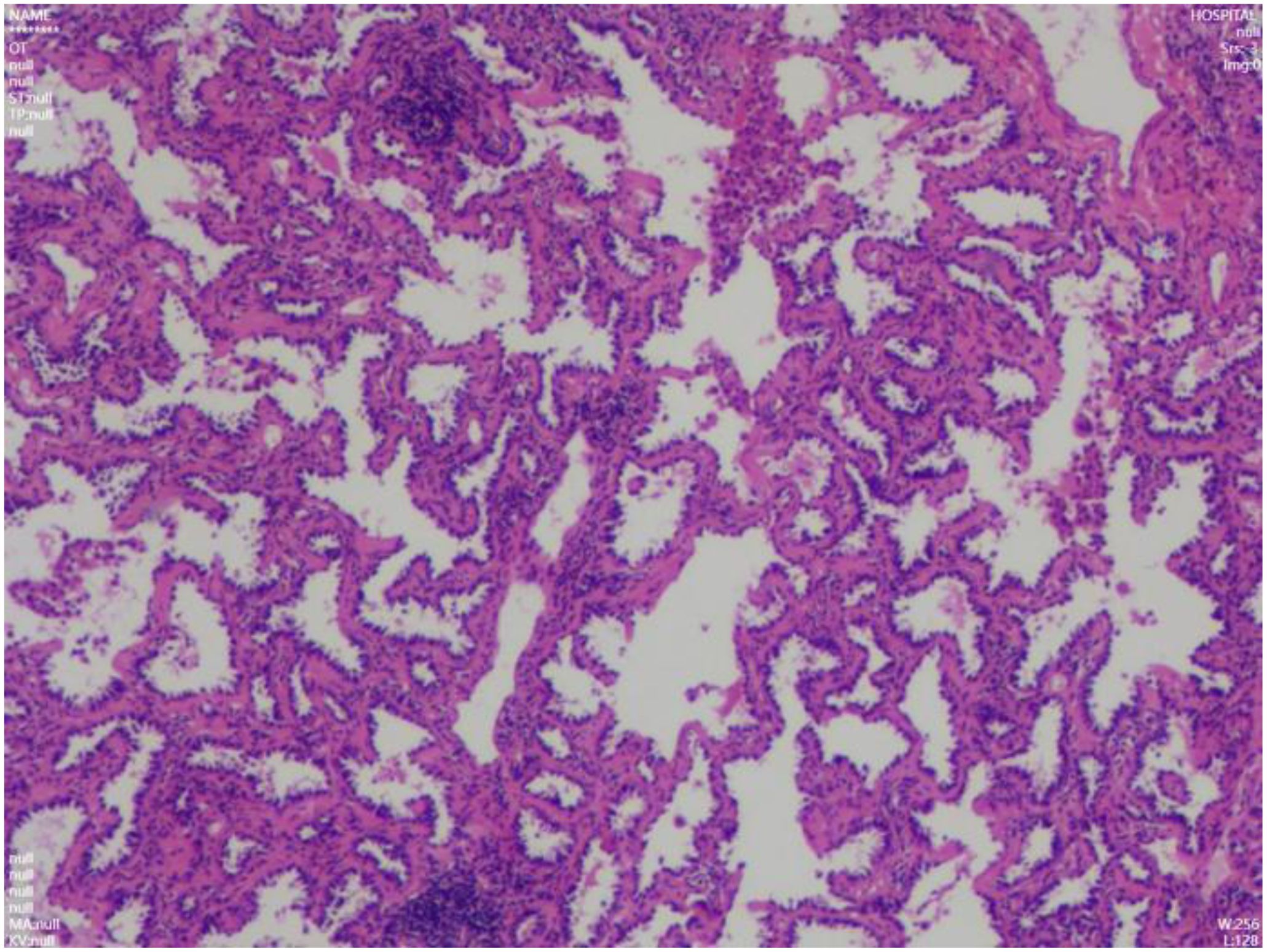
With the widespread use of plain chest CT scans, the detection of early-stage lung cancer has risen. This manuscript reviews surgical strategies for young patients with early-stage ground-glass nodules (GGNs) indicative of lung adenocarcinoma (LUAD), based on a case study and literature review, aiming to provide clinical insights for management. A 15-year-old adolescent male patient who underwent a routine chest CT, which revealed a ~0.7 cm GGN in the right upper lung. A follow-up CT on April 20, 2025, showed interval growth to approximately 9 × 8 mm in the apical segment. On July 1, 2025, the patient underwent wedge resection of the right upper lung via VATS. Postoperative pathology confirmed minimally invasive LUAD. The patient recovered well and was discharged the following day. A review of literature (2020–2025) identified seven cases of lung cancer in patients ≤18 years. Two patients did not undergo operation due to advanced disease. The remaining underwent surgical resection, with two requiring adjuvant therapy. In summary, lung cancer should be considered in the differential diagnosis of pulmonary nodules detected on plain chest CT. The decreasing age of onset underscores the need for timely intervention to prevent delayed treatment and improve prognosis.
Keywords: Chest CT scan, GGN, case report, literature review, lung cancer
Received: 14 Sep 2025; Accepted: 21 Nov 2025.
Copyright: © 2025 Guo, Li, Luo, Liu, Zhou, Zhang and Lin. This is an open-access article distributed under the terms of the Creative Commons Attribution License (CC BY). The use, distribution or reproduction in other forums is permitted, provided the original author(s) or licensor are credited and that the original publication in this journal is cited, in accordance with accepted academic practice. No use, distribution or reproduction is permitted which does not comply with these terms.
* Correspondence:
Qiang Guo, guoqianglidan@163.com
Chen-Yi Lin, 13986886667@163.com
Disclaimer: All claims expressed in this article are solely those of the authors and do not necessarily represent those of their affiliated organizations, or those of the publisher, the editors and the reviewers. Any product that may be evaluated in this article or claim that may be made by its manufacturer is not guaranteed or endorsed by the publisher.
