ORIGINAL RESEARCH article
Front. Oncol.
Sec. Neuro-Oncology and Neurosurgical Oncology
This article is part of the Research TopicMultimodal Imaging in Neuro-Oncology: Advances in Nuclear Medicine and MRI for Precision Diagnostics and TherapyView all articles
Radiomics-Based Multiple Machine Learning Approaches for Investigating Medial Wall Invasion of the Cavernous Sinus in Pituitary Adenomas
Provisionally accepted- 1Fudan University Huashan Hospital Department of Neurology, Shanghai, China
- 2900th Hospital of the People's Liberation Army Joint Logistic Support Force, Fuzhou, China
- 3Jinjiang Municipal Hospital, Quanzhou, China
- 4Changle District People's Hospital, Fuzhou, China
Select one of your emails
You have multiple emails registered with Frontiers:
Notify me on publication
Please enter your email address:
If you already have an account, please login
You don't have a Frontiers account ? You can register here
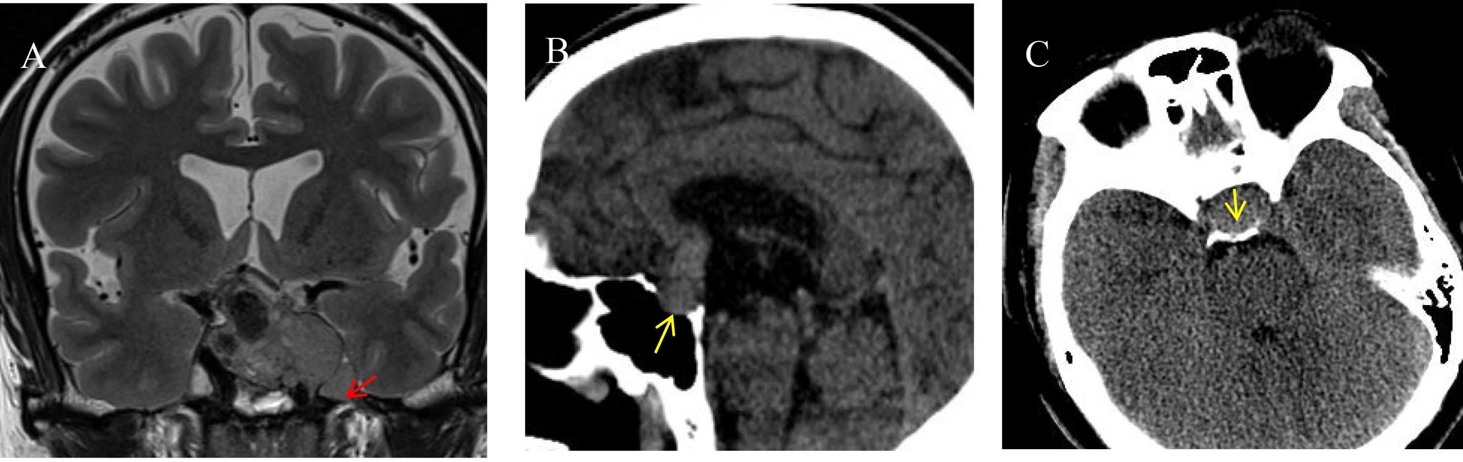
Objective: This study aims to develop a predictive model for cavernous sinus dural invasion in pituitary adenomas by retrospectively analyzing clinical and imaging data. It explores the associations between clinical and radiomics features and cavernous sinus dural invasion. Methods: Clinical data and coronal T2-weighted MRI images were collected from patients diagnosed with pituitary adenomas at our institution between December 2012 and December 2022. Tumor regions of interest (ROIs) were segmented using 3D Slicer, and radiomics features were extracted. Statistically significant radiomics features were identified using Lasso regression and univariate analysis. Clinical features were screened using univariate and multivariate logistic regression analyses. These selected features were incorporated into ten machine learning algorithms to construct three predictive models: a clinical feature model, a radiomics feature model, and a combined clinical and radiomics feature model. Model performance was evaluated to determine the best-performing model, which was further interpreted. Results: A total of 252 patients with histopathologically confirmed pituitary adenomas were included. The analysis identified Knosp grade, tumor left-right diameter, pedunculated satellite tumor, and clival invasion as significant clinical predictors, along with radiomics features including original.4, original.10, log-sigma-5-0-mm-3D.29, log-sigma-5-0-mm-3D.91, wavelet-LLH.37, wavelet-LHL.37, and wavelet-HLL.8. The combined clinical and radiomics model outperformed models based solely on clinical or radiomics features. Among the ten machine learning algorithms, the LightGBM model demonstrated the best predictive performance, achieving an area under the curve (AUC) of 0.86 and an accuracy (ACC) of 0.76. Conclusions: A machine learning model integrating clinical and radiomics features can effectively predict cavernous sinus dural invasion in pituitary adenomas preoperatively, providing a reliable basis for diagnosing tumor invasiveness and developing surgical plans. The LightGBM algorithm exhibited the highest predictive efficacy. Furthermore, the pedunculated satellite tumor feature emerged as a novel imaging marker for cavernous sinus dural invasion, offering new insights into the study of invasive pituitary adenomas.
Keywords: pituitary adenoma, Dural invasion, Medial wall of cavernous sinus, machine learning, 3D Slicer
Received: 16 Sep 2025; Accepted: 27 Oct 2025.
Copyright: © 2025 Chen, Zhong, Hou, Wang, Li, Feng, Li, WEI, Chen and Wang. This is an open-access article distributed under the terms of the Creative Commons Attribution License (CC BY). The use, distribution or reproduction in other forums is permitted, provided the original author(s) or licensor are credited and that the original publication in this journal is cited, in accordance with accepted academic practice. No use, distribution or reproduction is permitted which does not comply with these terms.
* Correspondence:
Yuhui Chen, 764689594@qq.com
Shousen Wang, wshsen@126.com
Disclaimer: All claims expressed in this article are solely those of the authors and do not necessarily represent those of their affiliated organizations, or those of the publisher, the editors and the reviewers. Any product that may be evaluated in this article or claim that may be made by its manufacturer is not guaranteed or endorsed by the publisher.
