ORIGINAL RESEARCH article
Front. Oncol.
Sec. Radiation Oncology
Evaluation of Superficial Tumor Treatment Using Radixact with the Kilovoltage Computed Tomography System: Dosimetric and Clinical Feasibility of Super Stuff Bolus
Provisionally accepted- 1Hamamatsu University School of Medicine, Hamamatsu, Japan
 - 2Anjo Kosei Hospital, Aichi, Japan
 
Select one of your emails
You have multiple emails registered with Frontiers:
Notify me on publication
Please enter your email address:
If you already have an account, please login
You don't have a Frontiers account ? You can register here
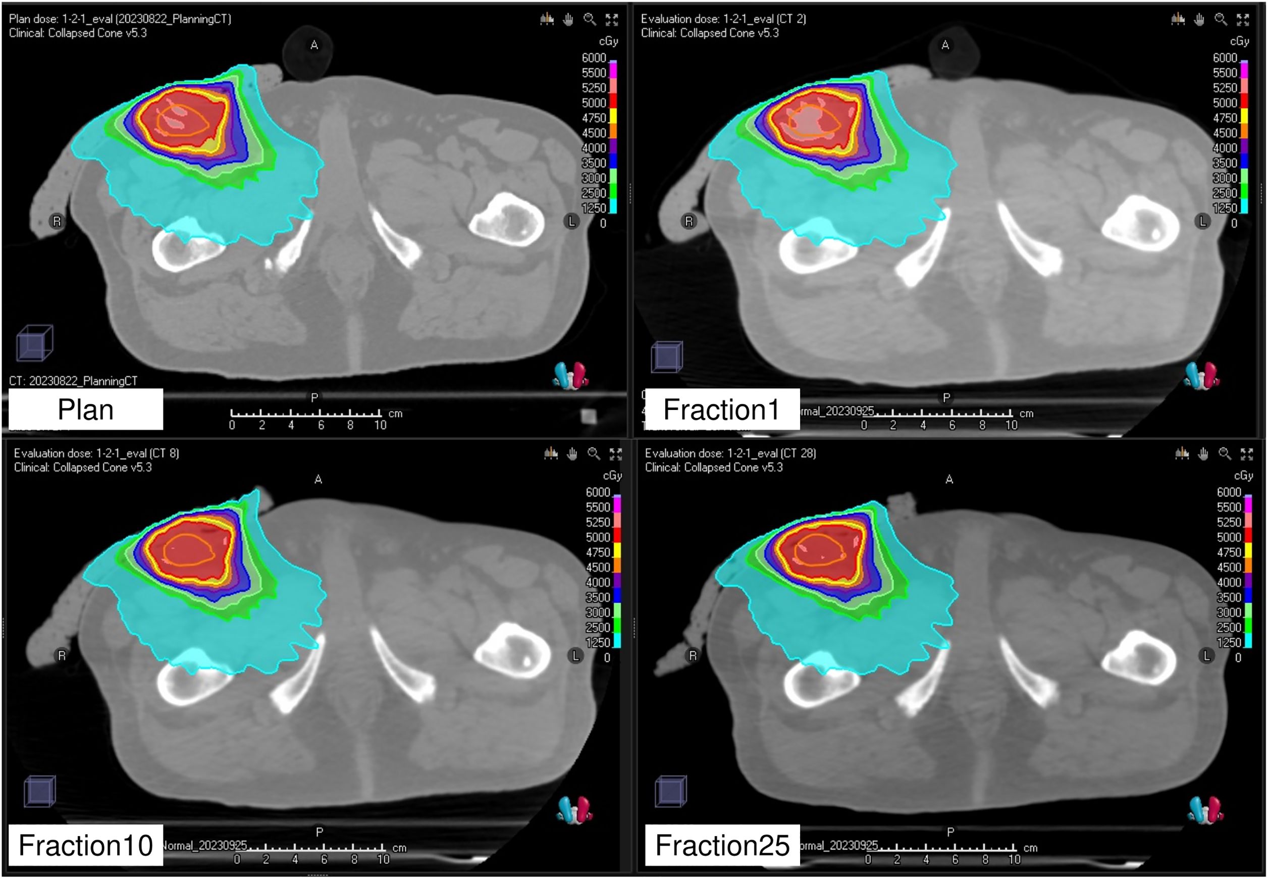
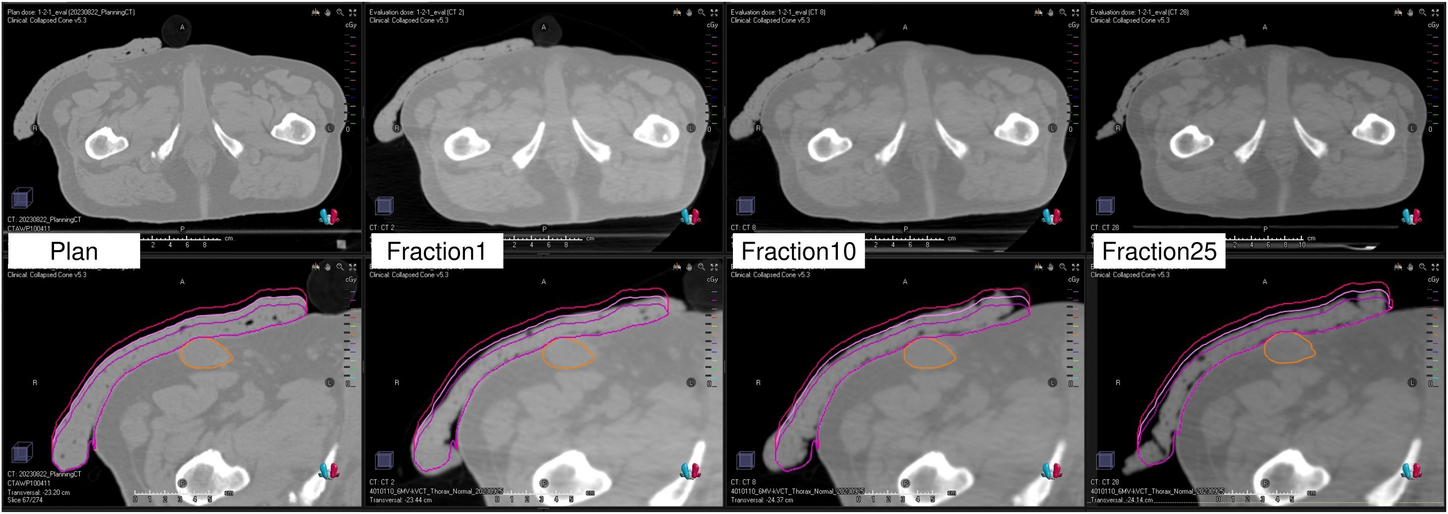
Background: Flat commercial boluses for superficial tumor radiation therapy often fail to conform to irregular body surfaces, resulting in air gaps that reduce dose coverage and uniformity. Although three-dimensional printed custom boluses have been developed to address this issue, the plastic material rigidity and time-consuming fabrication process limit their application. This study aimed to evaluate a flexible and easily moldable Super Stuff bolus as a practical alternative. Methods: We conducted a three-part study using Radixact with the kilovoltage computed tomography (kVCT) system. First, surface dose measurements were performed using radiochromic film on a solid water phantom. Super Stuff boluses of varying thicknesses (up to 20 mm) were compared with commercial boluses. Second, long-term stability was assessed over 65 days for dose delivery, thickness (via CT-based measurements), and CT number. Finally, in a clinical case of Ewing's sarcoma, setup reproducibility and conformity were assessed using Radixact's kVCT imaging. Delivered dose distributions were compared with the planned distribution using dose–volume histogram parameters and gamma analysis. Results: Surface dose measurements demonstrated that the maximum variation in surface dose among Super Stuff boluses with thicknesses ranging from 10.7 to 19.8 mm was within 4%. Over 65 days, the Super Stuff bolus showed good long-term stability. Changes in thickness were limited to a maximum of 1.6 mm, and fluctuations in CT number remained stable at 17.9 ± 1.2 Hounsfield units. In the clinical setting, kVCT imaging provided clear visualization of the Super Stuff bolus, and setup reproducibility was maintained throughout the treatment course. Air gaps were also minimized. Furthermore, gamma analysis (3%/2 mm) confirmed high dosimetric reproducibility throughout the treatment course, with passing rates exceeding 96% between the first and subsequent treatment fractions. Conclusions: The Super Stuff bolus provides notable clinical advantages for treating superficial tumors using Radixact with the kVCT system: consistent surface dose buildup, easy fabrication, and robust long-term physical and dosimetric stability. The seamless integration with the kVCT system enhances setup reproducibility, contributing to reliable and accurate dose delivery throughout the treatment course.
Keywords: Super Stuff bolus, Surface dose measurement, long-term stability, Radixact, kilovoltage computed tomography system, Air gap, clinical practice, metastatic inguinal lymphnode lesions of Ewing's sarcoma
Received: 18 Sep 2025; Accepted: 03 Nov 2025.
Copyright: © 2025 Yada, Omi, Hasegawa and Nakamura. This is an open-access article distributed under the terms of the Creative Commons Attribution License (CC BY). The use, distribution or reproduction in other forums is permitted, provided the original author(s) or licensor are credited and that the original publication in this journal is cited, in accordance with accepted academic practice. No use, distribution or reproduction is permitted which does not comply with these terms.
* Correspondence: Ryuichi  Yada, yada@hama-med.ac.jp
Disclaimer: All claims expressed in this article are solely those of the authors and do not necessarily represent those of their affiliated organizations, or those of the publisher, the editors and the reviewers. Any product that may be evaluated in this article or claim that may be made by its manufacturer is not guaranteed or endorsed by the publisher.
