CASE REPORT article
Front. Oncol.
Sec. Thoracic Oncology
Acute amivantamab-induced myocardial injury in a patient with epidermal growth factor receptor-mutant lung cancer: a first case report
Provisionally accepted- 1Nagasaki University Institute of Biomedical Sciences, Nagasaki, Japan
- 2Inoue Byoin, Nagasaki, Japan
- 3Nagasaki Daigaku Byoin, Nagasaki, Japan
Select one of your emails
You have multiple emails registered with Frontiers:
Notify me on publication
Please enter your email address:
If you already have an account, please login
You don't have a Frontiers account ? You can register here
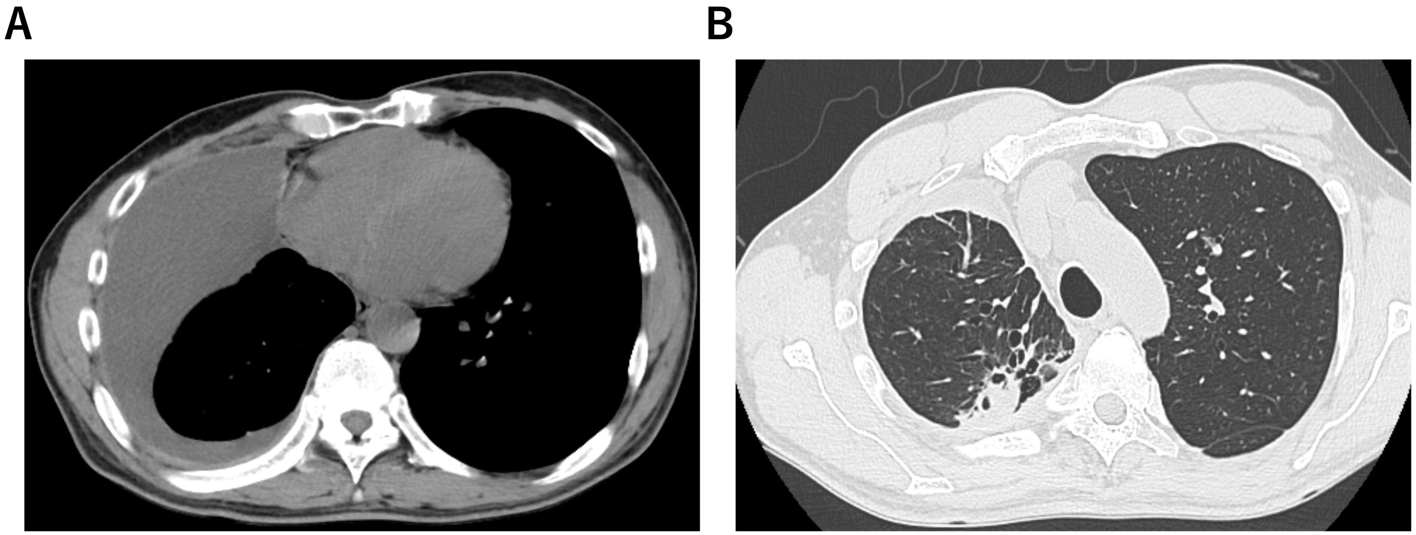
Background: Amivantamab, a bispecific antibody against epidermal growth factor receptor and mesenchymal-epithelial transition receptors, has been approved for certain types of non-small cell lung cancer; however, it is known to cause severe adverse events. The management of such adverse events is necessary for maintaining the therapeutic efficacy of amivantamab. The frequency of cardiotoxicity caused by amivantamab is low, despite its association with a high incidence of severe adverse events. Most of the adverse events are cardiovascular events caused by thrombosis. No reports of amivantamab-induced myocardial injury have been published. Case presentation: We present the first case of drug-induced myocardial injury, detected with tachycardia but not associated with any cardiovascular events, immediately after initiating amivantamab. Echocardiography revealed a decrease in left ventricular ejection fraction and global longitudinal strain, while contrast-enhanced cardiac magnetic resonance imaging showed shortened T1 values, leading to a diagnosis of amivantamab-induced myocardial injury. Furthermore, with early detection and therapeutic interventions, we were able to continue treatment with amivantamab without interruption. Conclusions: When treating patients with amivantamab, oncologists should screen for cardiac disease-related symptoms, even in the absence of elevated cardiac serum biomarkers. Furthermore, when amivantamab-induced myocardial injury is suspected, a cardiologist should be consulted promptly, as the dysfunction may be reversible.
Keywords: epidermal growth factor receptor, mesenchymal-epithelial transition, lung cancer, Amivantamab, Myocardial injury, case report
Received: 03 Oct 2025; Accepted: 19 Nov 2025.
Copyright: © 2025 Kaneko, Dotsu, Inoue, Motokawa, Yoshimuta, Mori, Morikawa, Honda, Akagi, Tomono, Matsuo, TANIGUCHI, Takemoto and Mukae. This is an open-access article distributed under the terms of the Creative Commons Attribution License (CC BY). The use, distribution or reproduction in other forums is permitted, provided the original author(s) or licensor are credited and that the original publication in this journal is cited, in accordance with accepted academic practice. No use, distribution or reproduction is permitted which does not comply with these terms.
* Correspondence: Yosuke Dotsu, yosuke.dotsu@nagasaki-u.ac.jp
Disclaimer: All claims expressed in this article are solely those of the authors and do not necessarily represent those of their affiliated organizations, or those of the publisher, the editors and the reviewers. Any product that may be evaluated in this article or claim that may be made by its manufacturer is not guaranteed or endorsed by the publisher.
