CASE REPORT article
Front. Oncol.
Sec. Surgical Oncology
Spontaneous Hepatic Rupture: A Catastrophic Complication in a Patient with Primary Splenic Angiosarcoma and Hepatic Metastasis: case report and literature review
Provisionally accepted- Jiangyin People's Hospital, Jiangyin, China
Select one of your emails
You have multiple emails registered with Frontiers:
Notify me on publication
Please enter your email address:
If you already have an account, please login
You don't have a Frontiers account ? You can register here
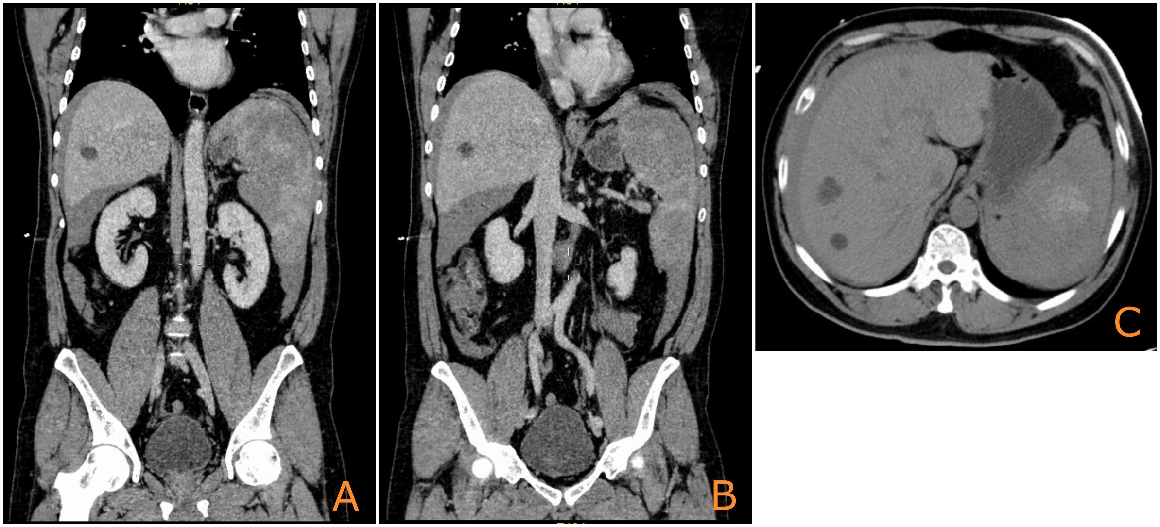
Background Primary splenic angiosarcoma (PSA) is an exceedingly rare and aggressive malignancy with a poor prognosis. This report aims to present a rare case of PSA that progressed to fatal hepatic rupture due to rapid metastatic spread following splenectomy and adjuvant therapy, a review of the relevant literature is also provided to discuss the diagnostic and therapeutic challenges associated with this condition. Case Presentation A 52-year-old male patient presented with acute abdominal pain and hypovolemic shock. Imaging revealed splenic rupture with hemoperitoneum. An emergency splenectomy was performed, and histopathological examination confirmed the diagnosis of angiosarcoma. The patient received postoperative chemotherapy (liposomal paclitaxel) and subsequent targeted therapy (sunitinib). However, rapid hepatic metastasis occurred, leading to spontaneous hepatic rupture and death six months after the initial diagnosis. Conclusion The condition poses a diagnostic and therapeutic challenge due to its nonspecific presentation and high aggressiveness. Early splenectomy remains the prevailing standard of care. This case demonstrates the potential inefficacy of sunitinib against PSA derived hepatic metastases and emphasizes the critical importance of early diagnosis and intervention before splenic rupture occurs. The potential for combination therapies, including immunotherapy, to represent future investigative avenues is a promising area for future research.
Keywords: Primary splenic angiosarcoma, liver metastasis, Splenic Rupture, Liver rupture, case report, Sunitinib
Received: 19 Sep 2025; Accepted: 31 Oct 2025.
Copyright: © 2025 Wu, Cao, Zuo and Zheng. This is an open-access article distributed under the terms of the Creative Commons Attribution License (CC BY). The use, distribution or reproduction in other forums is permitted, provided the original author(s) or licensor are credited and that the original publication in this journal is cited, in accordance with accepted academic practice. No use, distribution or reproduction is permitted which does not comply with these terms.
* Correspondence: Zhidan Wu, wuzhidan.china@gmail.com
Disclaimer: All claims expressed in this article are solely those of the authors and do not necessarily represent those of their affiliated organizations, or those of the publisher, the editors and the reviewers. Any product that may be evaluated in this article or claim that may be made by its manufacturer is not guaranteed or endorsed by the publisher.
