SYSTEMATIC REVIEW article
Front. Oncol.
Sec. Hematologic Malignancies
This article is part of the Research TopicCase-based Advances in the Understanding of Rare and Unusual Hematologic Malignancies 2025View all articles
Fluid Overload-Associated Large B-Cell Lymphoma: Two Case Report and Review of Literature
Provisionally accepted- 1Shandong Second Medical University, Weifang, China
- 2Linyi People's Hospital, Linyi, China
Select one of your emails
You have multiple emails registered with Frontiers:
Notify me on publication
Please enter your email address:
If you already have an account, please login
You don't have a Frontiers account ? You can register here
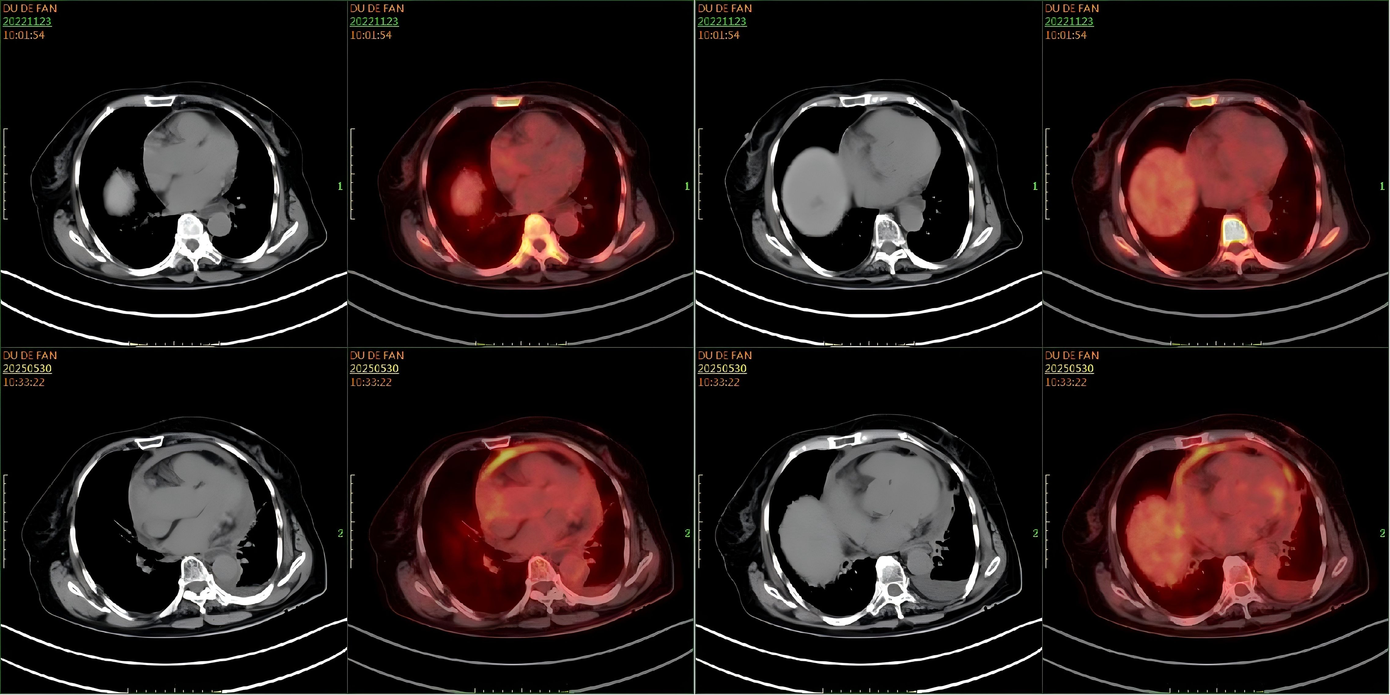
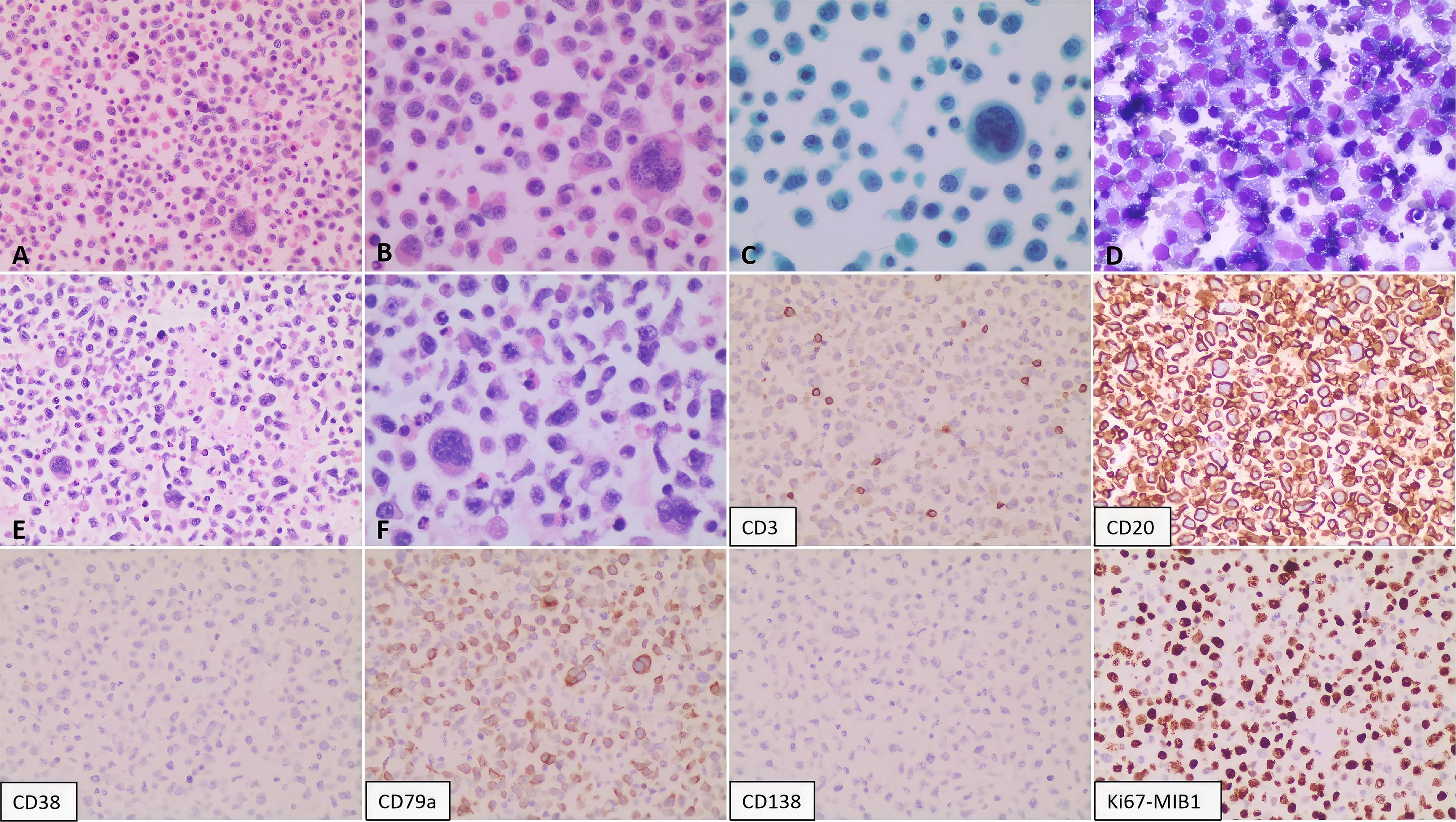
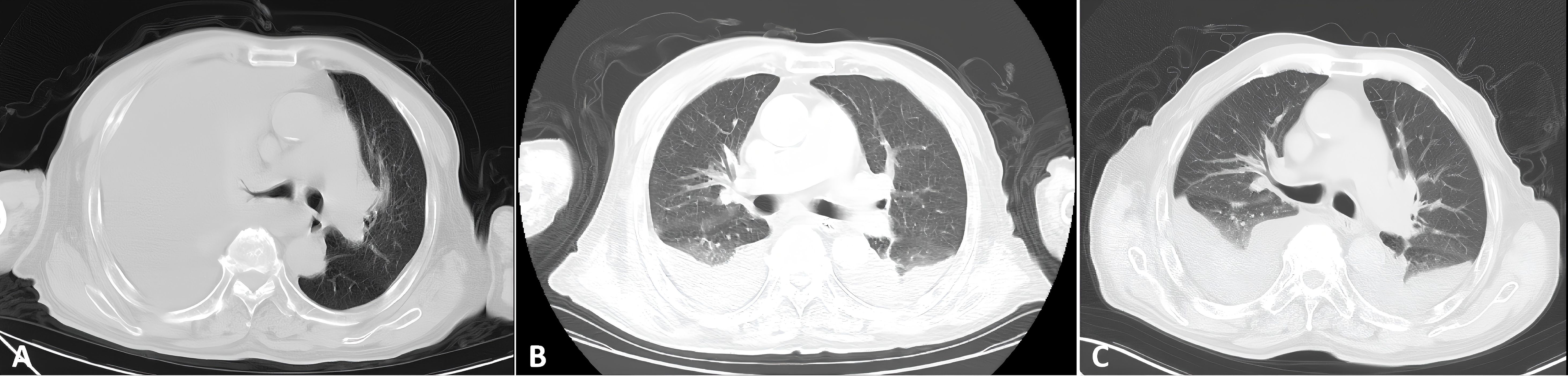
Fluid overload–associated large B-cell lymphoma (FO-LBCL) is a rare lymphoma that primarily involves serous body cavities (pleural, peritoneal, and pericardial spaces) without forming solid masses. Because FO-LBCL is uncommon, patients typically present with nonspecific symptoms—most frequently dyspnea from effusion—hindering early recognition and diagnosis. This study presents two cases of FO-LBCL and reviews the clinical characteristics, treatment regimens, and prognosis of 57 patients with FO-LBCL. Results showed that serous effusions involved the pleural cavity in 84.2% of cases, the pericardial cavity in 31.6%, and the peritoneal cavity in 21.1%. The most frequent presenting symptom was dyspnea (55.8%); other reported symptoms included chest tightness, gastric discomfort, fatigue, and lower-limb edema, reflecting respiratory, gastrointestinal, circulatory, and systemic involvement. Chemotherapy was the primary treatment (56.1%), most commonly the R-CHOP regimen. Univariate analysis identified the following factors as significantly associated with outcome: CD20 expression (P = 6 × 10-7), absence of CD138 expression (P = 0.0009), age > 65 years (P = 0.0015), LDH ≤500 U/L (P = 0.0064), presence of pleural effusion (P = 0.0099), CD79a expression (P = 0.0395), and use of rituximab-containing chemotherapy regimens (P = 0.0049). Our objectives are to characterize FO-LBCL comprehensively, clarify its differential diagnosis and management options, and address current gaps in clinical knowledge about this entity.
Keywords: Lymphoma, fluid overload-associated large B-cell lymphoma, HHV-8 infection, Prognosis factor, primary effusion lymphoma
Received: 13 Oct 2025; Accepted: 10 Nov 2025.
Copyright: © 2025 Chang, Yang, Yang, Wang, Li, Wang, ZANG and Zhang. This is an open-access article distributed under the terms of the Creative Commons Attribution License (CC BY). The use, distribution or reproduction in other forums is permitted, provided the original author(s) or licensor are credited and that the original publication in this journal is cited, in accordance with accepted academic practice. No use, distribution or reproduction is permitted which does not comply with these terms.
* Correspondence:
LANLAN ZANG, zangxiaolan88@163.com
Yuanyuan Zhang, doctorzhangyy@163.com
Disclaimer: All claims expressed in this article are solely those of the authors and do not necessarily represent those of their affiliated organizations, or those of the publisher, the editors and the reviewers. Any product that may be evaluated in this article or claim that may be made by its manufacturer is not guaranteed or endorsed by the publisher.
