CASE REPORT article
Front. Oncol.
Sec. Thoracic Oncology
Popliteal arterial tumor embolus as the initial presentation of EGFR-mutant lung adenocarcinoma with pulmonary-vein invasion
Provisionally accepted- Jiujiang University Clinical Medical College, Jiujiang, China
Select one of your emails
You have multiple emails registered with Frontiers:
Notify me on publication
Please enter your email address:
If you already have an account, please login
You don't have a Frontiers account ? You can register here
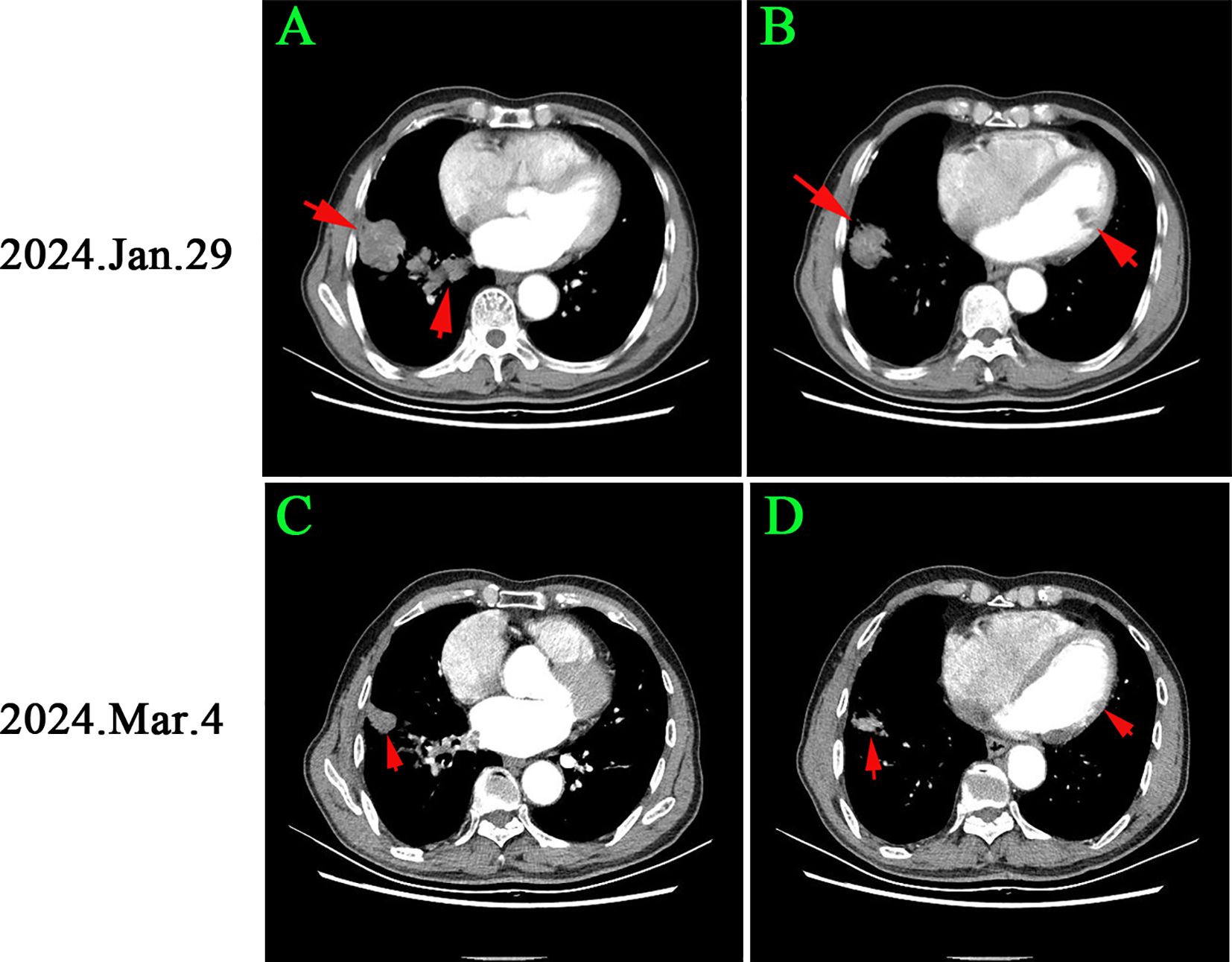
Thrombotic events represent a common complication and the second leading cause of mortality among patients with non-small cell lung cancer (NSCLC). Nonetheless, it is exceedingly rare for thrombosis to manifest initially in atypical locations, such as the popliteal artery, in individuals with NSCLC. In this report, we present a case involving an elderly patient with NSCLC who initially exhibited acute thrombosis of the popliteal artery in the left limb. The patient underwent a salvage arterial thrombectomy followed by a transfemoral amputation. Pathological examination revealed that the thrombus was a tumor embolus. A chest CT scan identified a mass in the right lower lung with a maximum diameter of 2.8 cm, along with multiple pulmonary nodules and a clot in the right inferior pulmonary vein. Pathological analysis of the lung mass confirmed the presence of lung adenocarcinoma, thereby verifying that the tumor embolus originated from NSCLC. The patient subsequently received treatment with osimertinib, resulting in partial remission. In instances of thrombosis occurring in uncommon sites, it is crucial to consider the potential for tumor thrombus.
Keywords: Popliteal Artery, Tumor embolus, EGFR-mutant lung adenocarcinoma, pulmonary-vein invasion, Initial presentation
Received: 23 Oct 2025; Accepted: 17 Nov 2025.
Copyright: © 2025 Hong, Ding and Ding. This is an open-access article distributed under the terms of the Creative Commons Attribution License (CC BY). The use, distribution or reproduction in other forums is permitted, provided the original author(s) or licensor are credited and that the original publication in this journal is cited, in accordance with accepted academic practice. No use, distribution or reproduction is permitted which does not comply with these terms.
* Correspondence: Jianghua Ding, doctor0922@126.com
Disclaimer: All claims expressed in this article are solely those of the authors and do not necessarily represent those of their affiliated organizations, or those of the publisher, the editors and the reviewers. Any product that may be evaluated in this article or claim that may be made by its manufacturer is not guaranteed or endorsed by the publisher.
