ORIGINAL RESEARCH article
Front. Pharmacol.
Sec. Gastrointestinal and Hepatic Pharmacology
This article is part of the Research TopicNovel Therapeutic Approaches for Biliary Tract Cancer and Hepatocellular Carcinoma, Volume IIView all 7 articles
The therapeutic efficacy of radical resection for hepatocellular carcinoma varied markedly with tumor location, based on real-world data from a retrospective single-centre analysis
Provisionally accepted- 1Yongchuan Hospital of Chongqing Medical University, Chongqing, China
- 2The First Affiliated Hospital of Chongqing Medical University, Chongqing, China
Select one of your emails
You have multiple emails registered with Frontiers:
Notify me on publication
Please enter your email address:
If you already have an account, please login
You don't have a Frontiers account ? You can register here
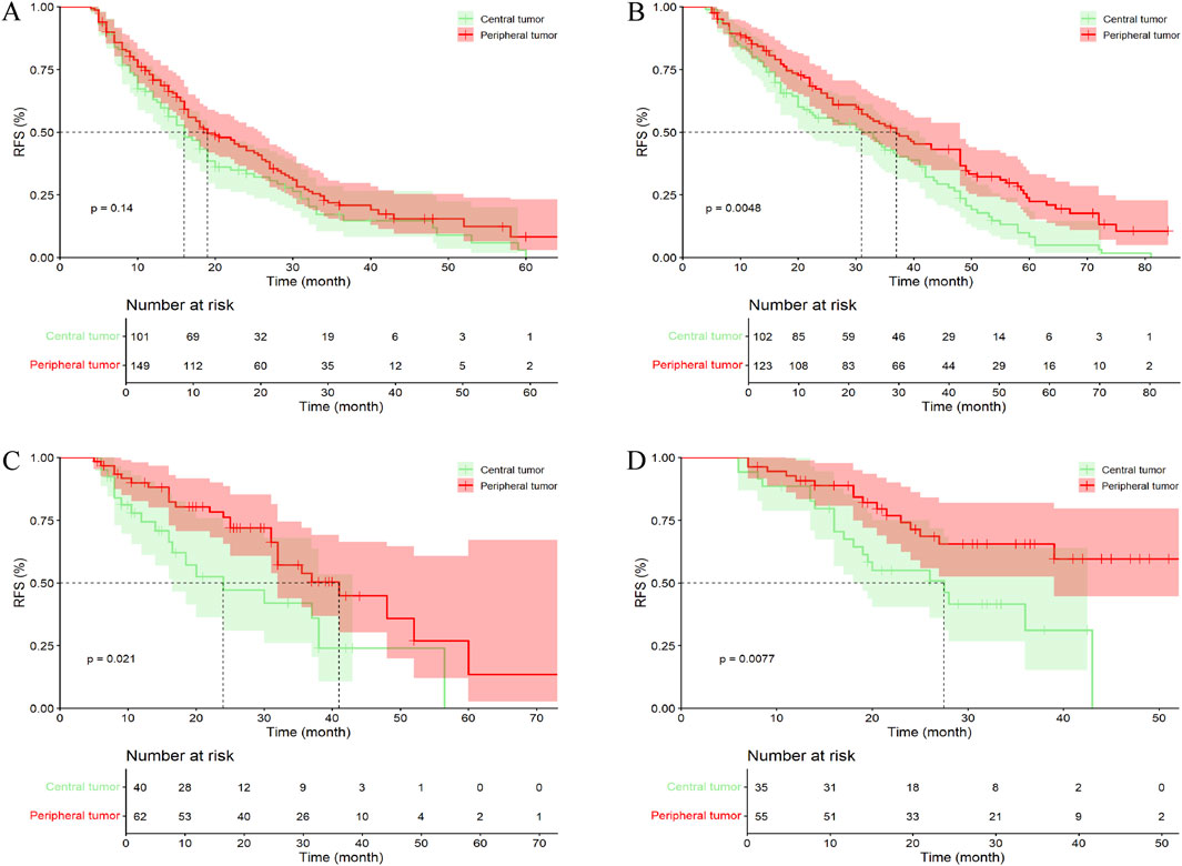
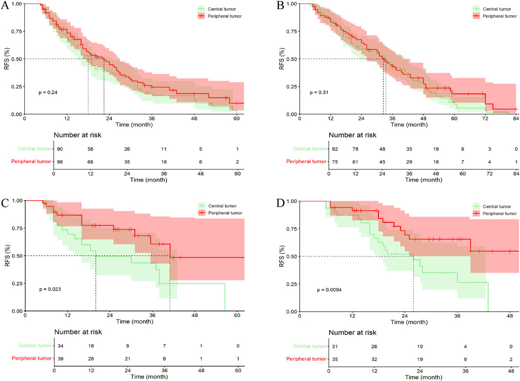
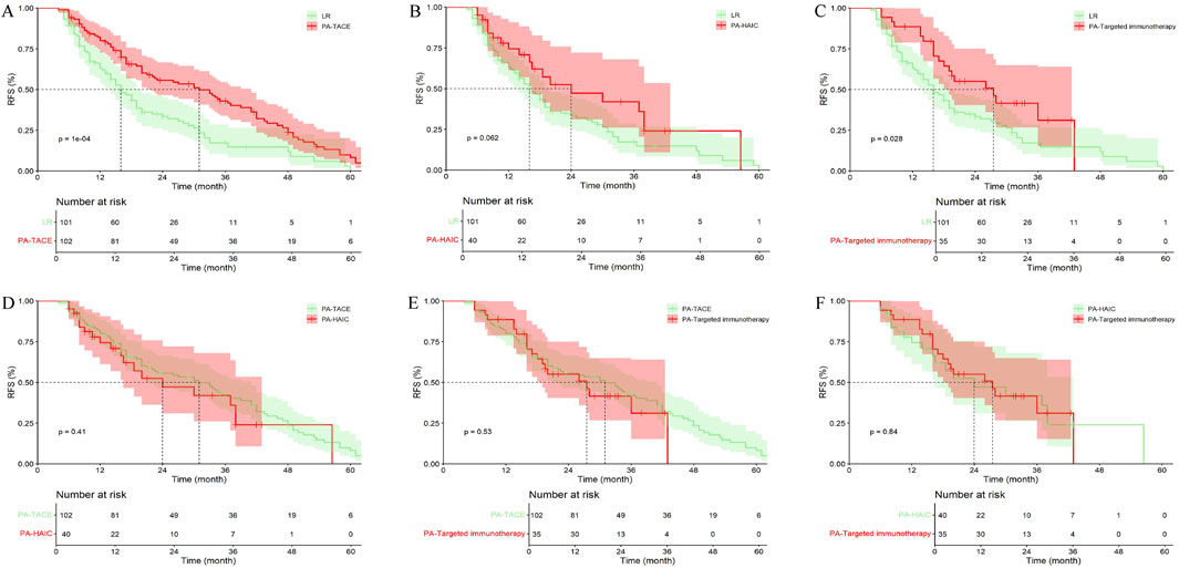
Aim: This study aims to explore the impact of the distance between the tumor and the main trunk or first branch of the portal vein on the prognosis of hepatocellular carcinoma (HCC) patients undergoing radical resection. Methods: This study retrospectively evaluated HCC patients who underwent radical resection between January 1, 2018, and September 30, 2024. Tumors are classified into two categories based on their location: central tumors and peripheral tumors. Central tumors are defined as those located within 2 cm of the main trunk or first branch of the portal vein, while the remaining tumors are classified as peripheral tumors. Recurrence free survival (RFS) and overall survival (OS) were compared between the two groups. Univariate and multivariate COX analyses were conducted to identify factors associated with RFS and OS. Propensity score matching (PSM) was employed to eliminate intergroup differences for further validation. Results: A total of 667 HCC patients undergoing radical resection were initially enrolled. Through propensity score matching, 247 patients were successfully matched in each comparative group. In the PSM cohort, the median RFS (mRFS) for patients with central tumors was 23.00 months (95% CI, 18.01-27.99 months), while the mRFS for those with peripheral tumors was 30.50 months (95% CI, 26.17-34.83 months) (p=0.004). The median OS was 56.00 months (95% CI, 52.10-59.90 months) for central tumors and 72.00 months (95% CI, 67.37-76.63 months) for peripheral tumors (p=0.043). Multivariate COX analysis confirmed that the distance of less than 2 cm between the tumor and the main trunk or first branch of the portal vein was an independent risk factor for RFS and OS in patients undergoing radical resection for HCC (HR: 1.744, p<0.001; 1.728, p<0.001, respectively). Conclusion: The distance of the tumor from the main portal vein trunk or its first branch correlates with the prognosis of hepatocellular carcinoma patients undergoing radical resection. Patients with tumors located ≤2 cm from the main trunk or first branch of the portal vein exhibited poorer RFS and OS.
Keywords: Hepatocellular Carcinoma, Radical resection, Tumor location, Propensity score matching, Postoperative adjuvant therapy
Received: 28 Jul 2025; Accepted: 04 Nov 2025.
Copyright: © 2025 Feng, Wei, Liu, Shi, Chen and Li. This is an open-access article distributed under the terms of the Creative Commons Attribution License (CC BY). The use, distribution or reproduction in other forums is permitted, provided the original author(s) or licensor are credited and that the original publication in this journal is cited, in accordance with accepted academic practice. No use, distribution or reproduction is permitted which does not comply with these terms.
* Correspondence: Yong-Shuang Li, lyshkill@qq.com
Disclaimer: All claims expressed in this article are solely those of the authors and do not necessarily represent those of their affiliated organizations, or those of the publisher, the editors and the reviewers. Any product that may be evaluated in this article or claim that may be made by its manufacturer is not guaranteed or endorsed by the publisher.
