ORIGINAL RESEARCH article
Front. Pharmacol.
Sec. Predictive Toxicology
Behavioral and Neurochemical Alterations Induced by Long-Term Exposure to Heated Tobacco Product Emissions in Rats
Provisionally accepted- 1Baba Farid University of Health Sciences University Institute of Pharmaceutical Sciences & Research, Faridkot, India
- 2Delhi Pharmaceutical Sciences and Research University, New Delhi, India
- 3Taif University, Taif, Saudi Arabia
- 4Norvic International Hospital, Kathmandu, Nepal, Kathmandu, Nepal
- 5Peoples Dental College and Hospital Pvt Ltd, Kathmandu, Nepal
- 6Dechencholing Hospital, Thimphu, Bhutan, Thimphu, Bhutan
- 7Delhi Institute of Pharmaceutical Sciences and Research, University of Delhi, New Delhi, India
Select one of your emails
You have multiple emails registered with Frontiers:
Notify me on publication
Please enter your email address:
If you already have an account, please login
You don't have a Frontiers account ? You can register here
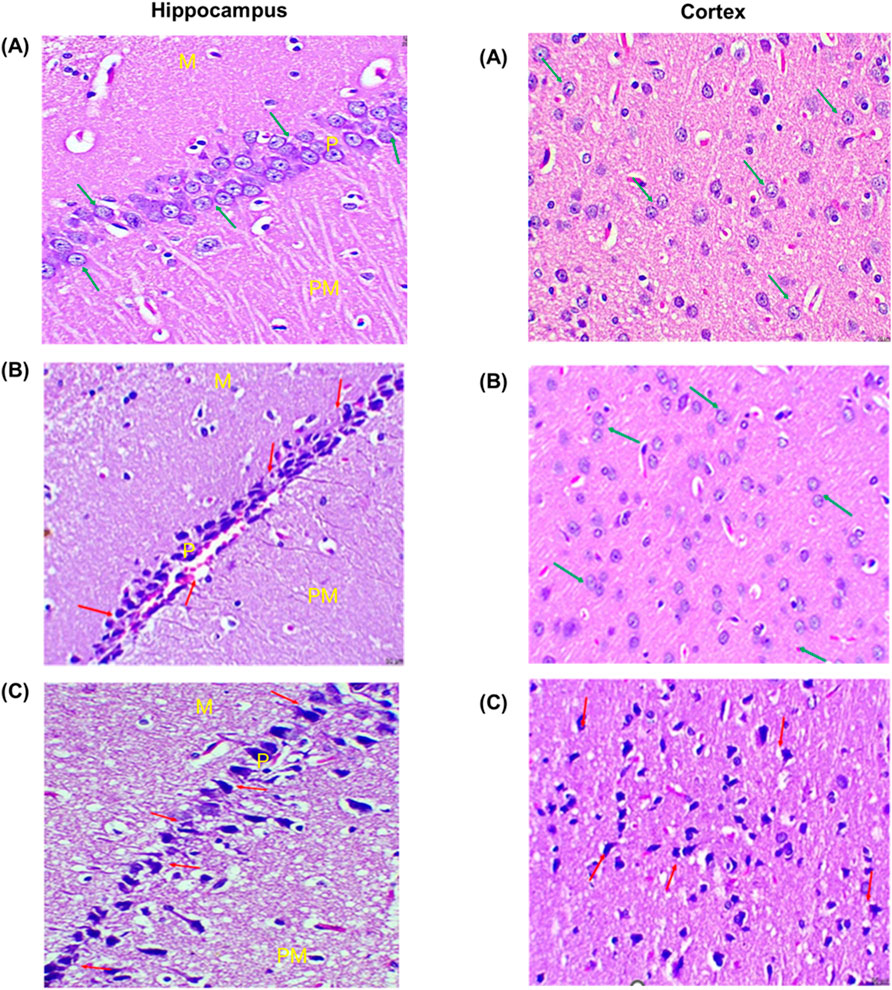
Background: Tobacco heating systems (THS) are increasingly used as alternatives to conventional cigarettes (CIG). This study compared the effects of mainstream THS emissions and CIG smoke on affective, locomotor, and cognitive behaviors in rats. Methods: Forty-five male Wistar rats were randomized into three groups (n=15 each): control (normal air), CIG (mainstream smoke from a common cigarette brand), and THS (emissions from IQOS ILUMA and Terea Smartcore Sticks™, Philip Morris International). Rats underwent whole-body exposure to emissions/smoke (two sticks/day, ~4 min/stick, morning and evening) for 60 days. Toxicants were quantified in emissions/smoke. Post-exposure assessments included the actophotometer (locomotor activity), forced swim test (affective behavior), and novel object recognition test (recognition memory). Blood was analyzed for hemoglobin (Hb), leukocyte count, serum nicotine and serum cotinine. Brain dopamine levels and histopathological changes in the hippocampus and cerebral cortex were evaluated. Results: THS emissions exhibited significantly lower nicotine-free dry particulate matter (NFDPM), particulate matter, and toxicants (e.g., nitrogen/sulfur oxides, ammonia, hydrogen cyanide, arsenic) compared to CIG smoke (p<0.001). Behavioral analyses revealed that both exposure groups showed elevated locomotor activity and reduced immobility time in the FST compared to controls, suggesting increased central arousal and reduced depressive-like behavior. The THS group demonstrated a higher discrimination index in the NORT, indicating relatively preserved recognition memory compared to the CIG group. Despite lower serum nicotine and brain dopamine levels, THS-exposed rats exhibited milder histopathological changes without apparent neurotoxicity, whereas CIG exposure induced marked hippocampal and cortical toxicity. CIG rats also showed elevated leukocyte counts and Hb relative to THS and control rats (p < 0.05). Conclusion: The observed behavioral effects likely reflect improved affective and locomotor regulation, with evidence of relatively preserved cognitive function in THS-exposed rats. These findings highlight the need for further mechanistic investigations to delineate the long-term neurobehavioral safety profile of THS exposure.
Keywords: Nicotine, Dopamine, Mainstream emissions, cigarette, Tobacco heating system
Received: 14 Sep 2025; Accepted: 06 Nov 2025.
Copyright: © 2025 Sood, Tewari, Warsi, Kumar, Kasna, Jaisawal, Sakya, Yoezer and Jain. This is an open-access article distributed under the terms of the Creative Commons Attribution License (CC BY). The use, distribution or reproduction in other forums is permitted, provided the original author(s) or licensor are credited and that the original publication in this journal is cited, in accordance with accepted academic practice. No use, distribution or reproduction is permitted which does not comply with these terms.
* Correspondence: Gaurav Kumar Jain, gkjdpsru@gmail.com
Disclaimer: All claims expressed in this article are solely those of the authors and do not necessarily represent those of their affiliated organizations, or those of the publisher, the editors and the reviewers. Any product that may be evaluated in this article or claim that may be made by its manufacturer is not guaranteed or endorsed by the publisher.
