Abstract
This research aimed to study the impact of supplementation of three multi-enzyme levels (0, 0.1, and 0.2% of feed) and two levels of dietary treatments [standard diet (SD) and low-density diet (LDD)] on growth performance, carcass traits, digestibility, and meat quality of broilers from 1 to 38 days of age. A total of 216 1-day-old Arbor Acres broiler chicks were randomly assigned to a factorial experiment (2 × 3) comprising six dietary treatments, each with six replicates and each replicate with six chickens. The results showed that the LDD significantly reduced body weight gain by 5.0%, compared with the SD. Multi-enzymes significantly improved body weight gain and the production index (PI) relative to the SD. The feed conversion ratio was significantly enhanced with increased multi-enzymes from 1 to 21 days. A significant relation between the multi-enzyme concentration and type of dietary treatment was observed in body weight gain and feed conversion ratio from 1 to 21 days of age. Nitrogen-free extract digestibility was significantly increased by using the SD diet compared with using the LDD. Multi-enzyme supplementation improved the digestibility of dry matter, crude protein, crude fiber, and nitrogen-free extract in the LDD. A significant relationship was found between the multi-enzyme concentration and type of dietary treatment on the pancreas, liver, and intestinal length percentages. The meat dry matter concentration was significantly higher in the LDD group than in the SD group. The low-density diet significantly reduced the total revenue compared with the SD, whereas broilers fed the SD recorded significantly higher total revenue and economic efficiency than those fed the LDD. The low-density diet significantly increased economic efficiency compared with the SD. Multi-enzymes significantly increased the total revenue, net revenue, and economic efficiency than the standard set. In conclusion, using multi-enzymes in broiler diets improved body weight gain. The LDD with multi-enzymes showed enhanced body weight gain compared with the SD without multi-enzymes.
Introduction
The feed cost accounts for around 60–75% of the poultry processing cost. Hence, the effective use of feed ingredients and additives is essential to enhance chicken production performance. Effective inclusions such as enzymes, probiotics, prebiotics, or unusual products enhance feed utilization (1–4). After the COVID-19 crisis and dramatic changes in the feed supply, there was a trend to depend on local feed resources to formulate poultry diets to limit imports and overcome lockdown challenges that influenced the agriculture sector (2, 5–9).
Supplementing poultry feed rations with a mixture of multi-enzymes is considered one of the nutritional manipulation approaches to enhance the productive performance and health status of poultry. For example, energy utilized in corn–soybean meal (SBM) and sorghum–SBM diets can be enhanced by using an enzyme mixture containing amylase, xylanase, and protease, which stimulate the analysis of starch, cell walls, and endogenous proteins, respectively (10). Attia et al. (11) reported that adding the enzyme mixture to the dietary feed enhanced the cost-effective efficiency of the chicken feed. Supplementing a broiler diet with an enzyme cocktail improved productive performance, and this improvement is influenced by the structure of the diet and the type of the enzyme cocktail (12–14). Saleh et al. (15) investigated the effect of xylanase (Xyl) and arabinofuranosidase (Abf) fortification on the production, performance, protein and fat digestibility, lipid peroxidation, plasma biochemical traits, and immune response of broilers. The authors reported an enhancement effect of the enzymes on the previously mentioned parameters. In another study, Saleh et al. (16) fed broiler chickens with low-energy diets with emulsifiers containing phosphatidyl choline, lysophosphatidyl choline, and polyethylene glycol ricinoleate. The authors revealed that this diet enhanced fat and nutrient utilization, growth performance, and lipid peroxidation.
Attia et al. (13) found that multi-enzyme supplementation increased growth by 10.0%, improved the feed conversion ratio (FCR) by 10.8%, and increased the production index and economic efficiency by 26.1 and 31.5%, respectively. In addition, energy, protein, and calcium utilization in poultry were shown to be enhanced by using an enzyme mixture containing carbohydrases and proteases (12, 17). Yet, there is an ongoing debate in the literature regarding the encouraging impact of multi-enzymes on poultry performance. This could be explained by differences in the composition of the diet and/or multi-enzyme profiles, age, genotype, and method of supplementation (18). Hussein et al. (19) investigated the effect of a multi-enzyme mixture with a low-density diet on the productive performance of Hubbard broilers. The authors of the study showed no influence of dietary feeds on growth performance or carcass characteristics. In the same study, liver weight was improved when using the low-density diet mixed with the multi-enzymes; bursa and thymus weights were significantly higher in the low-density diet-fed group than in the other dietary groups. Supplementary multi-enzymes enhanced the length of the duodenum, ileum, and cecum, and the shear force of meat compared with the standard group. Hussein et al. (19) showed that feeding low-density rations resulted in yellowing of broiler meat at slaughter. Also, Attia et al. (20) studied the impact of various supplementary concentrations of the enzyme mixture in water either constantly or discontinuously on the productive performance, nutrient digestibility, and blood constituents in broiler chickens. The authors of the study reported that intermittent supplementation of the enzyme mixture significantly improved the feed intake during 22–35 days of age more than the constant administration. Constant multi-enzyme supplementation at 1 and 0.5 ml/L of drinking water or intermittent supplementation at 1.5 ml/L induced the most significant body weight gain (BWG) and FCR. Accordingly, the hypothesis of the current research work is that fortification of the broiler low-density diet (LDD) with the multi-enzyme mixture may improve broiler performance, result in cost reduction in production, and improve economic profits for broiler producers. Thus, this research aimed to assess the impact of various proportions of multi-enzymes on growth performance, carcass characters, digestibility, and meat quality of broilers fed standard and low-density dietary feeds.
Materials and methods
Animal welfare
The chicks were treated in accordance with the EC Directive 63/2010/EEC on protecting the animals used for experimental and other scientific purposes. The experimental procedures were approved by the Ethical Animal Care and Use Committee of the Department of Veterinary Medicine and Animal Production of the University of Napoli Federico II, Italy (protocol no. 2017/0017676).
Chicks, dietary treatments, and experimental design
A total of 216, 1-day-old Arbor Acres broiler chicks of mixed sexes were purchased, labeled by wing banding, and allocated with equivalent primary initial live weight in 36 cages, with six birds per replicate (cage), and there were six replicates per dietary feed (6 groups).
A factorial design (2 × 3) was applied from 1 to 38 days of age using two dietary regimens, standard diet (SD) and low-density diet (LDD), and three multi-enzyme levels (0, 0.1, and 0.2% of feed). The multi-enzyme mixture (Galzym-M) was purchased from Tex Biosciences, UK, and composed of 100000000 U/Kg of Galzym® and contained cellulose, 1500000 U/Kg of 4-β-xylanase, 6500 U/Kg of lipase, 250000 U/Kg of α-amylase, 40000 U/Kg of protease, 30000 U/Kg of pectinase, and 50 mg/kg of sodium benzoate (preservative). Table 1 shows the ingredients and biochemical constitution of the standard dietary feed rations used.
Table 1
| Ingredients (g/kg) | Standard diets | Low-density diet | ||||
|---|---|---|---|---|---|---|
| S | G | F | S | G | F | |
| Maize | 512 | 517.8 | 549.2 | 460.8 | 466.02 | 494.28 |
| Wheat bran | 0 | 0 | 0 | 100 | 100 | 100 |
| Rye | 0 | 50 | 70 | 0 | 45 | 63 |
| Soybean meal (44% CP) | 328 | 244 | 284 | 295.2 | 219.6 | 255.6 |
| Dicalcium phosphate | 18.00 | 16.00 | 10.00 | 16.20 | 14.40 | 9.00 |
| Limestone | 10.00 | 10.00 | 8.00 | 9.00 | 9.00 | 7.20 |
| NaCl | 3.00 | 4.50 | 4.50 | 2.70 | 4.05 | 4.05 |
| Full fat soybean meal | 100 | 130 | 16 | 90 | 117 | 14.4 |
| Vit+min premix1 | 3.00 | 3.00 | 3.00 | 2.70 | 2.70 | 2.70 |
| L-Lysine | 1.00 | 1.90 | 2.00 | 0.90 | 1.71 | 1.80 |
| DL-Methionine | 2.00 | 2.50 | 3.00 | 1.80 | 2.25 | 2.70 |
| Washed building sand | 0.30 | 0.30 | 0.30 | 0.27 | 0.27 | 0.27 |
| Vegetable oil | 22.70 | 20.00 | 50.00 | 20.43 | 18.00 | 45.00 |
| Total | 1000 | 1000 | 1000 | 1000 | 1000 | 1000 |
| Calculated and determined composition (g/kg) | ||||||
| CP | 227 | 209 | 190 | 220 | 204 | 187 |
| ME (Cal/kg) | 3018 | 3055 | 3196 | 2846 | 2879 | 3006 |
| Calcium | 8.58 | 8.45 | 6.26 | 7.86 | 7.74 | 5.77 |
| Av. P | 4.07 | 3.78 | 2.64 | 3.87 | 3.60 | 2.57 |
| Methionine | 5.48 | 5.71 | 5.94 | 5.16 | 5.37 | 5.57 |
| Meth+cystine | 9.10 | 9.05 | 9.02 | 8.74 | 8.69 | 8.67 |
| Lysine | 13.18 | 12.53 | 11.28 | 12.50 | 11.90 | 10.78 |
| Crude fiber, %2 | 36.1 | 35.5 | 33 | 50.01 | 46.53 | 43.5 |
| Ash | 51.1 | 53.5 | 55 | 55.2 | 56 | 56.2 |
| COST | 3551 | 3404 | 3355 | 3376 | 3244 | 3200 |
Nutrient and chemical composition of the basal experimental diet.
1Vit+Min mix. provides per kilogram of the diet: Vit. A, 12000 IU, vit. E (dl-α-tocopheryl acetate) 20 mg, menadione 2.3 mg, Vit. D3, 2200 ICU, riboflavin 5.5 mg, calcium pantothenate 12 mg, nicotinic acid 50 mg, choline 250 mg, vit. B12 10 g, vit. B6 3 mg, thiamine 3 mg, folic acid 1 mg, and d-biotin 0.05 mg. Trace mineral (mg/kg of diet): Mn 80 Zn 60, Fe 35, Cu 8, and selenium 0.1 mg. 2Analyzed values. S, starter, G, grower, F, finisher.
Housing and husbandry
For the experiment, a semi-opened room was used with battery cages in which chicks were randomly distributed. The feed was fed ad libitum with free access to waterers. Until 30 days of age, 23-h lighting was provided, and then18-h light was given until the end of the experiment at 38 days of age. The chicks were vaccinated against clone 30 on day 8, dual injection for dead Influenza H5N2 and NDV on day 10, and clone 30 and Gumboro on day 21.
Data assembly
Broiler weight (g) was recorded at 1, 21, and 38 days of age, and body weight gain (BWG, g/bird) was determined. Feed intake was noted (g/bird), and thus, the feed conversion ratio (FCR, g feed/g gain) and survival rate (100, mortality rate) for the periods of 1–21, 22–38, and 1–38 d of age were determined. The Hubbard Broiler Management Guide (21) equation was used to determine the production index (PI).
Apparent digestibility of organic matter of ether extract (EE), crude protein, crude ash (CA), and crude fiber (CF) was investigated at 28 and 35 days of age of five replicate males housed in individual metabolic cages, as described by Attia (22). Nitrogen, CF, and CA in the excretions and diet were measured, as described by AOAC (23). For CF determination, an organic solvent was used to extract CF from a known weight of the sample. The solvent contained dissolved fat particles that were then recovered by evaporation and condensation of the solvent. For CA determination, a known weight of the sample was ignited at a constant temperature to burn off all the organic material. The sample that was left behind after ignition is the inorganic CA. Separation of nitrogen in the excreta from urine nitrogen was performed as per the method of Attia (22). The basis of the calculation of nutrient digestibility was carried out as follows: the amount of input of a nutrient – the amount of output of a nutrient/the amount of input of a nutrient (Attia) (12).
At 38 days of age, six chicks were randomly euthanized from each treatment as one chick per replicate, and the carcass was dressed and weighed. The weights of the liver, proventriculus, gizzard, heart, spleen, thymus, and bursa of Fabricius were also recorded. The intestine was weighed, and its length was measured. Relative weights to live body weight were used to account for weight differences.
Fresh breast and thigh meat samples (equal amounts) obtained from the slaughtered animals and the different dietary treatments were evaluated (n = 6 per treatment, representing all treatment replicates for dry matter (DM), CP, EE, and CA following the method of AOAC (23). Meat tenderness and water-holding capacity (WHC) were determined using the procedure of Volovinskaia and Kelman (24). The color intensity of meat and drip was measured as described by Husaini et al. (25). The acidity was determined by using a pH meter, as described by Aitken et al. (26).
Intestinal sections of the ileum were harvested, and fixed specimens were processed, as described earlier by Culling (27). The intestinal absorption surface was morphologically determined by examining the intestinal villous length of five segments per chicken using an Optika imaging analyzer.
Economic efficiency was calculated using the principal cost of feeding and the total cost of raising chicks from hatch to market age, including the price of day-old chicks, cost of feeding, veterinary care, and labor, and the total revenue, which is the price of selling 1 kg of live broilers at market age × body weight. The revenue, which is the difference between the total revenue and total cost, was then divided by the total cost and multiplied by 100 to calculate the economic efficiency percentage.
Statistical analysis
Before analyses of variance, a homogeneity (normality test) of the data was conducted using the Kolmogorov–Smirnov (K-S) test (28). Statistical analysis was conducted by applying the general linear model formula of Statistical Analysis Software (28) using a two-way factorial design (two diet types by three levels of multi-enzymes) according to the following model:
Here, μ is the general mean, Ai is the effect of types of diet, βj is the effect of levels of multi-enzymes, (Aβ) ij is the interaction between diets and multi-enzymes, and eijk is the random error.
The data in percentage were arcsine-transformed to achieve normalization. The Student–Newman–Keuls test was applied to test the mean difference at a P-value of ≤ 0.05. The replicate was represented as an experimental unit.
Results
Growth performance
The impact of the various concentrations of multi-enzymes on the growth of broilers provided with standard- and low-density diets for 1–38 d is presented in Table 2. It was found that the LDD decreased BWG throughout the trial period by 5% but did not affect the production index. The current study indicated that multi-enzyme fortification at 0.1 and 0.2% per kg diet significantly enhanced BWG relative to the control treatment.
Table 2
| Treatment | Initial body weight, g | Body weight gain (g)/period | Production index | |||
|---|---|---|---|---|---|---|
| 1-21d of age | 22-38 d of age | 1-38 d of age | ||||
| Effect of diet | ||||||
| Standard | 45.7 | 621a | 1406 | 2045a | 310 | |
| Low-density | 45.8 | 580b | 1346 | 1928b | 304 | |
| Effect of multi-enzymes | ||||||
| 0 | 45.9 | 563b | 1266b | 1844b | 281b | |
| 0.1 | 45.8 | 622a | 1411a | 2036a | 319a | |
| 0.2 | 45.5 | 616a | 1451a | 2079a | 321a | |
| Interaction between diet and multi-enzymes | ||||||
| Standard | 0 | 45.4 | 614a | 1300 | 1937 | 288 |
| 0.1 | 46.3 | 628a | 1431 | 2071 | 320 | |
| 0.2 | 45.5 | 621a | 1487 | 2126 | 323 | |
| Low-density | 0 | 46.5 | 512b | 1233 | 1750 | 274 |
| 0.1 | 45.4 | 616a | 1391 | 2001 | 318 | |
| 0.2 | 45.6 | 612a | 1415 | 2031 | 319 | |
| SEM | 0.546 | 32.4 | 39.7 | 56.2 | 10 | |
| P -value | ||||||
| Diet | 0.804 | 0.004 | 0.139 | 0.016 | 0.426 | |
| Multi-enzymes | 0.740 | 0.001 | 0.002 | 0.001 | 0.001 | |
| Interaction | 0.209 | 0.009 | 0.935 | 0.554 | 0.811 | |
Growth performance of broiler chickens fed standard and low-density diets supplemented with different concentrations of multi-enzymes from 1 to 38 days of age.
a, b, c Means within a column with different superscripts are significantly different based on the Student–Newman–Keuls (SNK) test.
Table 3 presents the impact of various concentrations of multi-enzymes on the feed intake and FCR of broilers fed the SD and LDD for 1–38 d of age.
Table 3
| Treatment | Feed intake g/chick/period | Feed conversion ratio (kg feed/kg gain) | |||||
|---|---|---|---|---|---|---|---|
| 1–21 d | 22–38 d | 1–38 d | 1–21 d | 22–38 d | 1–38 d | ||
| Effect of diet | |||||||
| Standard | 1015 | 2394 | 3409 | 1.63a | 1.71 | 1.67 | |
| Low-density | 999 | 2305 | 3305 | 1.74b | 1.71 | 1.72 | |
| Effect of multi-enzymes (%) | |||||||
| 0 | 1028 | 2207 | 3235 | 1.84b | 1.75 | 1.76 | |
| 0.1 | 988 | 2339 | 3328 | 1.58a | 1.66 | 1.64 | |
| 0.2 | 1005 | 2503 | 3508 | 1.63a | 1.73 | 1.69 | |
| Interaction between diet and multi-enzymes | |||||||
| Standard | 0 | 1035 | 2354 | 3389 | 1.68b | 1.82 | 1.76 |
| 0.1 | 993 | 2300 | 3294 | 1.57b | 1.62 | 1.59 | |
| 0.2 | 1017 | 2528 | 3546 | 1.63b | 1.71 | 1.67 | |
| Low-density | 0 | 1022 | 2060 | 3082 | 2.00a | 1.67 | 1.76 |
| 0.1 | 983 | 2378 | 3362 | 1.59b | 1.71 | 1.68 | |
| 0.2 | 992 | 2478 | 3470 | 1.62b | 1.76 | 1.71 | |
| SEM | 29.4 | 123 | 120 | 0.053 | 0.110 | 0.075 | |
| P -value | |||||||
| Diet | 0.505 | 0.386 | 0.297 | 0.019 | 0.985 | 0.493 | |
| Multi-enzymes | 0.398 | 0.072 | 0.089 | 0.001 | 0.727 | 0.278 | |
| Interaction | 0.969 | 0.324 | 0.308 | 0.008 | 0.489 | 0.859 | |
Feed intake and feed conversion ratio of broilers fed standard and low-density diets supplemented with different concentrations of multi-enzymes from 1 to 38 days of age.
a, b, c Means within a column with different superscripts are significantly different based on the Student–Newman–Keuls (SNK) test.
Results in Table 3 show a significant impact of the feed on the feed intake for the duration of 1–21 d of age, with chicks on the LDD consuming significantly less feed than those on the SD. In addition, the SD enhanced the production index compared with the LDD.
Due to multi-enzyme supplementation, a substantial improvement was observed in the FCR during 1–21 d of age in the broiler chicks. However, the effect of the multi-enzymes on feed intake was not significant during all age periods.
No significant association was found between the multi-enzyme concentration and type of dietary feed on BWG and feed intake. However, a significant interaction between the multi-enzyme concentration and type of dietary feed was observed in the BWG and FCR for 1–21 days of age only.
Dressing and body organs
On day 16, the necrotic enteritis (NE) challenge increased the jejunal lesion score compared with the unchallenged control group (P < 0.01; Figure 1A). The impact of various concentrations of multi-enzymes on carcass quality parameters and body organs of 38-day-old broilers provided with SD and LDD is shown in Table 4. The LDD resulted in a significantly better dressing percentage than the SD (Table 4). This effect was related to an increased length percentage of the gizzard, gastrointestinal tract, and intestine.
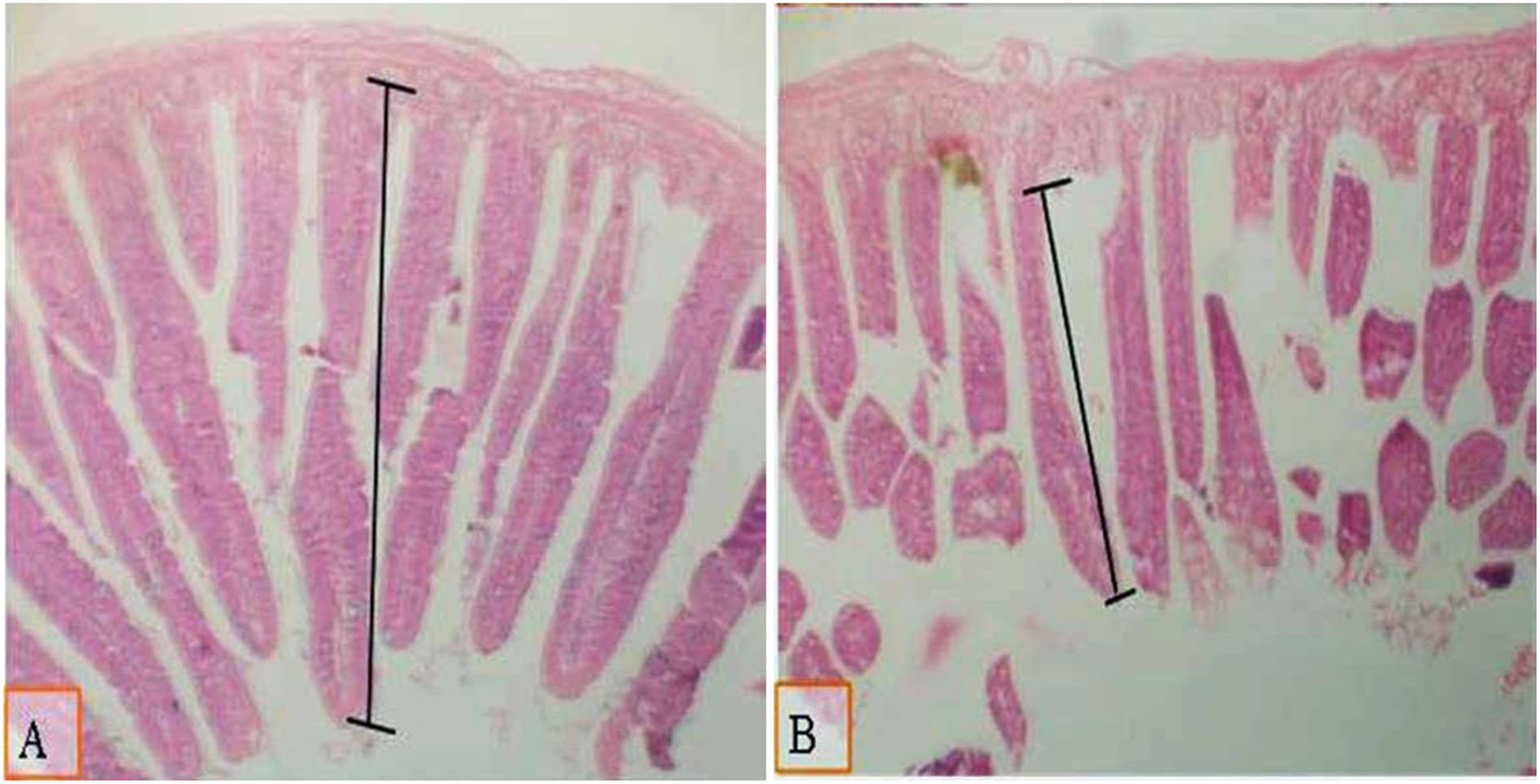
Figure 1

Micrograph of the intestine of 28 d of age broilers using HandE stain (X40) and measured from the base to apex to investigate the villous length in the various experimental groups: (A) the group fed on standard diet with 0.1% of multi-enzymes (B) the same feed group supplemented with 0.2% of multi-enzymes. Moderate increase in villous length was noted in broilers fed on dietary feed with 0.1% of multi-enzymes (A).
Table 4
| Treatment | Body organs (%) | ||||||||||
|---|---|---|---|---|---|---|---|---|---|---|---|
| Dressing | Proventriculus | Gizzard | Pancreas | Liver | Heart | Gastro-intestinal tract | Intestinal weight (%) | length of intestinal (cm/100 g BW) | Length of intestinal villi | ||
| Diet effect | |||||||||||
| Standard | 70.2 | 0.50 | 1.33b | 0.26 | 2.48 | 0.51 | 24.1 | 5.93 | 10.0b | 235 | |
| Low-density | 71.6 | 0.54 | 1.48a | 0.25 | 2.54 | 0.53 | 26.0 | 6.27 | 11.3a | 250 | |
| Effect of multi-enzymes (%) | |||||||||||
| 0 | 72.1 | 0.517 | 1.50 | 0.287a | 2.63 | 0.532 | 28.6a | 5.64b | 10.85 | 215b | |
| 0.1 | 70.0 | 0.548 | 1.37 | 0.241b | 2.43 | 0.522 | 24.1b | 6.17ab | 10.47 | 285a | |
| 0.2 | 70.6 | 0.502 | 1.33 | 0.252b | 2.45 | 0.520 | 22.6b | 6.49a | 10.79 | 226b | |
| Interaction between diet and multi-enzymes | |||||||||||
| Standard | 0 | 69.8 | 0.496 | 1.41 | 0.266b | 2.41b | 0.495 | 27.3 | 5.39 | 9.58 | 211 |
| 0.1 | 69.1 | 0.558 | 1.34 | 0.261b | 2.45b | 0.526 | 24.3 | 5.98 | 10.2 | 269 | |
| 0.2 | 71.8 | 0.445 | 1.23 | 0.257b | 2.57b | 0.528 | 20.8 | 6.42 | 10.3 | 223 | |
| Low-density | 0 | 74.4 | 0.537 | 1.60 | 0.307a | 2.86a | 0.568 | 29.9 | 5.89 | 12.1 | 219 |
| 0.1 | 70.9 | 0.538 | 1.40 | 0.221c | 2.42b | 0.517 | 23.8 | 6.35 | 10.6 | 301 | |
| 0.2 | 69.4 | 0.560 | 1.43 | 0.248bc | 2.33b | 0.513 | 24.5 | 6.56 | 11.1 | 228 | |
| SEM | 1.29 | 0.041 | 0.084 | 0.014 | 0.112 | 0.023 | 1.69 | 0.279 | 0.332 | 9.98 | |
| P -value | |||||||||||
| Diet | 0.212 | 0.186 | 0.034 | 0.832 | 0.521 | 0.391 | 0.171 | 0.145 | 0.001 | 0.078 | |
| Multi-enzymes | 0.266 | 0.526 | 0.112 | 0.009 | 0.154 | 0.868 | 0.003 | 0.014 | 0.483 | 0.001 | |
| Interaction | 0.072 | 0.266 | 0.665 | 0.026 | 0.009 | 0.113 | 0.443 | 0.810 | 0.005 | 0.348 | |
Carcass traits and relative weights of body organs of 38-day-old broilers fed standard and low-density diets supplemented with different concentrations of multi-enzymes from 1 to 38 days of age.
a, b Means within a column with different superscripts are significantly different based on the Student–Newman–Keuls (SNK) test.
The type of diet did not affect proventriculus, pancreas, liver, heart, and intestinal weight percentages (Table 4). Supplementation of different levels of multi-enzymes had a significant effect on pancreas and intestinal weight percentages, showing that increasing multi-enzyme levels significantly decreased pancreas and intestinal weight percentages (Table 4).
The present findings showed a significant association between the multi-enzyme concentration and type of dietary treatment on the pancreas, liver, and intestinal length percentages. The interaction results indicated that supplementation of both levels of multi-enzymes decreased the intestinal weight percentage of the chicks fed the SD and LDD compared with those fed an unsupplemented standard diet (Table 4).
Intestinal morphometry
Results in Table 4 show that the type of diet did not influence the intestinal villous length. However, a significant enhancement was found in the intestinal villous length (Table 4, Figures 1, 2) because of supplementation of the diet with 0.1% of multi-enzymes relative to the other multi-enzyme concentrations. The enhancement in the intestinal villi reached 32.6%. There was no significant association between the type of dietary treatment and supplemented multi-enzymes on the intestinal villous length.
Figure 2

Micrograph of broiler intestines at 38 d of age using H and E staining (X40) and measured from the base to the apex to investigate the villous length in various experimental groups: (A) the group of broilers fed on a low-density diet with 0.1% of multi-enzymes; (B) the group of broilers fed on the same diet with 0.2% of multi-enzymes. A significant enhancement of villous length was observed in broilers fed on dietary feeds with 0.2% of multi-enzyme supplementation (A).
Apparent digestibility of nutrients
The impact of various levels of enzyme mixture on nutrient digestibility in birds fed the SD and LDD is displayed in Table 5. Data displayed in Table 5 indicate that the SD resulted in a significantly greater nitrogen-free extract digestibility than the LDD. The type of diet did not affect CP, EE, CF, DM, and ash digestibility. Groups supplemented with 0.1 and 0.2% of multi-enzymes had significantly greater CP, EE, CF, DM, NFE, and ash digestibility than the control group. The effect of 0.1% of multi-enzymes was higher for DM, OM, CP, and EE than for 0.2% of the multi-enzyme group (Table 5).
Table 5
| Treatment | Apparent digestibility, % | Apparent Ash retention, % | ||||||
|---|---|---|---|---|---|---|---|---|
| Organic matter | Dry matter | Crude protein | Ether extract | Crude fiber | NFE | |||
| Diet effect | ||||||||
| Standard | 80.3 | 74.6 | 69.1 | 78.7 | 29.0 | 77.6a | 36.6 | |
| Low-density | 80.0 | 74.6 | 69.1 | 78.3 | 28.7 | 76.9b | 36.9 | |
| Effect of multi-enzymes (%) | ||||||||
| 0 | 78.5c | 73.1c | 67.3c | 77.2c | 27.8b | 76.4b | 36.2b | |
| 0.1 | 81.3a | 75.6a | 70.5a | 79.5a | 29.6a | 77.6a | 37.4a | |
| 0.2 | 80.7b | 74.9b | 69.6b | 78.8b | 29.2a | 77.8a | 36.7ab | |
| Interaction between diet and multi-enzymes | ||||||||
| Standard | 0% | 79.7 | 74.1c | 68.4c | 78.1b | 28.5b | 77.6b | 36.3 |
| 0.1% | 80.6 | 74.7bc | 69.5b | 79.0a | 29.4a | 77.6b | 37.2 | |
| 0.2% | 80.6 | 74.8bc | 69.5b | 79.1a | 29.1ab | 77.6b | 36.3 | |
| Low-density | 0% | 77.3 | 72.1d | 66.2d | 76.3c | 27.1c | 75.2c | 36.1 |
| 0.1% | 81.9 | 76.6a | 71.5a | 80.1a | 29.8a | 77.6b | 37.7 | |
| 0.2% | 80.7 | 75.1b | 69.7b | 78.6b | 29.3a | 78.0a | 37.1 | |
| SEM | 0.220 | 0.292 | 0.325 | 0.264 | 0.261 | 0.395 | 0.436 | |
| P -value | ||||||||
| Diet | 0.086 | 0.926 | 0.934 | 0.095 | 0.279 | 0.046 | 0.293 | |
| Multi-enzymes | 0.001 | 0.001 | 0.001 | 0.001 | 0.001 | 0.001 | 0.019 | |
| Interaction | 0.001 | 0.001 | 0.001 | 0.001 | 0.002 | 0.002 | 0.523 | |
Digestibility of nutrients in broilers fed standard and low-density diets supplemented with different concentrations of multi-enzymes from 1 to 38 days of age.
a, b, c Means within a column with different superscripts are significantly different based on the Student–Newman–Keuls (SNK) test. NFE, nitrogen-free extract. 1 = number of observations was five chicks per interaction cell.
The multi-enzymes and types of dietary treatments were significantly associated in all cases of nutrient apparent digestibility. The fortification with multi-enzymes had a more significant effect on the digestibility of DM, CP, CF, and NFE in the LDD than on the SD (Table 5).
Meat physical and chemical characteristics
Results of the physical and chemical meat characteristics are shown in Tables 6, 7, respectively. The type of dietary treatment did not affect the physical and chemical characteristics of meat, except for the thigh color (Table 6); however, the meat DM concentration was significantly higher in the chick fed the LDD than those fed the SD (Table 7). Multi-enzyme fortifications had a significant impact on the lipid and ash of meat, showing that increasing multi-enzyme concentrations significantly increased the ash of meat in a stepwise manner. No significant association was found between the multi-enzyme level and dietary treatment on meat physical characteristics and chemical composition.
Table 6
| Treatment | pH | Color (Optical density) | Tenderness, gm/cm 2 | WHC, gm/cm 2 | |||||
|---|---|---|---|---|---|---|---|---|---|
| Breast | Thigh | Breast | Thigh | Breast | Thigh | Breast | Thigh | ||
| Diet effect | |||||||||
| Standard | 5.68 | 5.68 | 0.215 | 0.294b | 2.61 | 2.45 | 5.03 | 4.73 | |
| Low-density | 5.68 | 5.7 | 0.213 | 0.315a | 2.56 | 2.47 | 5.00 | 4.77 | |
| Effect of multi-enzymes (%) | |||||||||
| 0% | 5.70 | 5.72 | 0.208 | 0.292 | 2.57 | 2.49 | 4.98 | 4.76 | |
| 0.1% | 5.65 | 5.69 | 0.212 | 0.305 | 2.61 | 2.43 | 5.09 | 4.75 | |
| 0.2% | 5.68 | 5.67 | 0.222 | 0.315 | 2.59 | 2.46 | 4.98 | 4.74 | |
| Interaction between diet and multi-enzymes | |||||||||
| Standard | 0% | 5.74 | 5.72 | 0.206 | 0.289 | 2.59 | 2.49 | 5.00 | 4.73 |
| 0.1% | 5.61 | 5.68 | 0.219 | 0.303 | 2.42 | 2.42 | 5.12 | 4.76 | |
| 0.2% | 5.68 | 5.64 | 0.221 | 0.290 | 2.45 | 2.45 | 4.98 | 4.71 | |
| Low-density | 0% | 5.67 | 5.72 | 0.209 | 0.296 | 2.49 | 2.49 | 4.97 | 4.79 |
| 0.1% | 5.69 | 5.70 | 0.206 | 0.308 | 2.45 | 2.45 | 5.06 | 4.73 | |
| 0.2% | 5.68 | 5.71 | 0.223 | 0.340 | 2.47 | 2.47 | 4.98 | 4.77 | |
| SEM | 0.047 | 0.052 | 0.015 | 0.011 | 0.052 | 0.054 | 0.068 | 0.068 | |
| P -value | |||||||||
| Diet | 0.899 | 0.489 | 0.844 | 0.049 | 0.295 | 0.723 | 0.573 | 0.576 | |
| Multi-enzymes | 0.486 | 0.685 | 0.684 | 0.197 | 0.741 | 0.631 | 0.235 | 0.954 | |
| Interaction | 0.310 | 0.831 | 0.867 | 0.149 | 0.997 | 0.965 | 0.896 | 0.744 | |
Physical traits of broiler meat1 fed standard and low-density diets supplemented with different concentrations of multi-enzymes from 1 to 38 days of age.
a, b Means within a column with different superscripts are significantly different based on the Student–Newman–Keuls (SNK) test. WHC, water-holding capacity. 1 = number of observations was six samples per interaction cell.
Table 7
| Treatment | Dry matter, % | Protein, % | Lipid, % | Ash, % | |
|---|---|---|---|---|---|
| Diet effect | |||||
| Standard | 26.1b | 19.9 | 5.69 | 1.32 | |
| Low-density | 26.4a | 19.9 | 5.63 | 1.35 | |
| Effect of multi-enzymes (%) | |||||
| 0 | 26.2 | 19.7 | 5.58ab | 1.27c | |
| 0.1 | 26.3 | 20.1 | 5.49b | 1.33b | |
| 0.2 | 26.5 | 19.9 | 5.91a | 1.40a | |
| Interaction between diet and multi-enzymes | |||||
| Standard | 0 | 26.0 | 19.7 | 5.58 | 1.28 |
| 0.1 | 26.2 | 20.1 | 5.52 | 1.31 | |
| 0.2 | 26.2 | 19.8 | 5.96 | 1.35 | |
| Low-density | 0 | 26.3 | 19.7 | 5.59 | 1.26 |
| 0.1 | 26.4 | 20.1 | 5.47 | 1.34 | |
| 0.2 | 26.7 | 20.1 | 5.85 | 1.44 | |
| SEM | 0.252 | 0.269 | 0.227 | 0.037 | |
| P -value | |||||
| Diet | 0.039 | 0.599 | 0.703 | 0.169 | |
| Multi-enzymes | 0.279 | 0.148 | 0.038 | 0.002 | |
| Interaction | 0.651 | 0.712 | 0.931 | 0.114 | |
Chemical composition of broiler meat1 fed standard and low-density diets supplemented with different concentrations of multi-enzymes from 1 to 38 days of age.
a, b, c Means within a column with different superscripts are significantly different based on the Student–Newman–Keuls (SNK) test. 1 = number of observations was six chicks per interaction cell.
Economic efficiency
Table 8 shows the effect of various proportions of multi-enzymes on the economic efficiency of broilers fed the SD and LDD during days 1–38 of age. Results in Table 8 reveal that chickens on the LDD showed significantly lower feeding costs and total costs than birds fed SD. In addition, chickens fed the SD recorded significantly higher total revenue and economic efficiency than those on LDD.
Table 8
| Treatment | Feed cost ($/chick) | Total cost ($/chick) | Total revenue ($/chick) | Net revenue ($/chick) | Economic efficiency, % | |
|---|---|---|---|---|---|---|
| Effect of diet | ||||||
| Standard | 12.9a | 20.4a | 23.1a | 2.71 | 13.4b | |
| Low-density | 10.5b | 18.0b | 21.7b | 3.67 | 20.6a | |
| Effect of multi-enzymes (%) | ||||||
| 0 | 11.4 | 18.9 | 21.0b | 2.08b | 11.2b | |
| 0.1 | 11.6 | 19.1 | 22.9a | 3.80a | 20.4a | |
| 0.2 | 12.2 | 19.7 | 23.4a | 3.69a | 19.4a | |
| Interaction between diet and multi-enzymes | ||||||
| Standard | 0 | 12.6 | 20.1 | 22.2 | 2.00 | 9.83 |
| 0.1 | 12.4 | 19.9 | 23.3 | 3.36 | 17.2 | |
| 0.2 | 13.6 | 21.1 | 23.9 | 2.77 | 13.3 | |
| Low-density | 0 | 10.1 | 17.6 | 19.8 | 2.17 | 12.5 |
| 0.1 | 10.8 | 18.3 | 22.5 | 4.24 | 23.7 | |
| 0.2 | 10.7 | 18.2 | 22.8 | 4.61 | 25.5 | |
| SEM | 0.351 | 0.351 | 0.594 | 0.615 | 2.231 | |
| P -value | ||||||
| Diet | 0.001 | 0.001 | 0.007 | 0.064 | 0.012 | |
| Multi-enzymes | 0.076 | 0.076 | 0.001 | 0.015 | 0.014 | |
| Interaction | 0.211 | 0.211 | 0.365 | 0.408 | 0.348 | |
Economic efficiency of broilers fed standard and low-density diets supplemented with different concentrations of multi-enzymes from 1 to 38 days of age.
a, b, c Means within a column with different superscripts are significantly different based on the Student–Newman–Keuls (SNK) test.
The total revenue, net revenue, and economic efficiency were significantly affected by enzyme supplementation. Birds fed a diet of multi-enzymes recorded significantly higher total revenue, net revenue, and economic efficiency than the control group (Table 8).
The interaction between diet type and enzyme supplementation was not affected by feed cost, total revenue, net revenue, and economic efficiency.
Discussion
The agriculture sector and its related structure and activities, including the poultry industry, have been dramatically influenced by fluctuations in feed availability. There has been a recent trend in using a low-density diet for broilers, which could be a potential method to reduce growth heaviness on the skeletal system, feed cost, and contamination of the environment (22). Wheat bran (WB) was used in formulating the LDD as a potential source of phytase enzyme to enhance the utilization of protein, energy, and minerals (12). The antioxidant, immune stimulation, anti-inflammatory, and antimutagenic effects of WB polysaccharides have been well documented by other studies in the literature (29).
Interestingly, Martínez et al. (30) reported that replacement pullets fed 15% of WB produced higher body weight than those that were fed 10% and 20% of WB. The chickens fed WB showed greater methionine and cystine intake than the control group (0.38 to 0.40 g/bird/day). Similarly, a greater level of WB (200 g/kg) enhanced crude fiber (2.29 to 2.63 g/bird/day) and crude fat (1.98 to 3.58 g/bird/day) intakes. In the same study, lipid metabolites such as serum concentration of triacylglycerols, cholesterol, and index of mineral blood profiles of calcium, phosphorus, hematocrit, or hemoglobin levels were similar in all the experimental treatments (30).
The current study investigated the effect of supplementing three multi-enzyme levels (0, 0.1, and 0.2% of feed) and two types of dietary treatments (SD vs. LDD) on growth performance, carcass traits, intestinal morphology, apparent digestibility, and meat quality of broilers from 1 to 38 days of age.
The present findings showed that the SD enhanced production parameters compared with the LDD, which may be due to higher nutrient intakes and availability. These effects were apparent in the early stage of growth during 1–21 days of age, where insertion of WB in feeds of broilers at 10% resulted in a 6.61 and 6.74% suppression in BWG and FCR, respectively. This suppression was 5.6% in BWG during the whole growth period, indicating enhanced tolerance to diets with the aging of chickens. These findings suggested the possibility of diluting the nutrient profile of broilers during 22–38 days of age without detrimental effects on FCR, PI, and economic efficiency. These findings are in line with those shown by Attia (12). Al-Harthi (31) also reported that the broiler diet when supplemented with a combination of Avizyme and phytase significantly increased BW during 7–21 days of age. The average BWG increased significantly when using just phytase by 7.6% in comparison to an unsupplemented diet. Wang et al. (32) fed broilers low-energy diets and diets supplemented with carbohydrases and emulsifier. They observed that low-energy diets showed slower growth performance, while the inclusion of emulsifier and carbohydrases in low-energy diets partially improved growth performance.
The results of this study showed that multi-enzymes improved growth performance and economical traits of broiler chicks, and this was evident in the LDD and in agreement with the results of Dal Pont et al. (33). The improved BWG due to multi-enzyme fortification was related to higher digestibility of nutrients and greater villous length of the experimental group on 0.1% of multi-enzyme fortification. These results are in line with those of Choct (18) and Attia et al. (20). However, the impact of multi-enzymes depends on the dietary profile and type and dose of the enzymes used (12, 29). Enzyme supplementation has improved growth performance, most probably due to improved digestibility of nutrients while decreasing feed intake (12, 31). This impact can be elucidated by the presence of protease, amylase, and NSP-hydrolyzing enzymes. It was reported that using exogenous enzymes that degrade the NSP of feed vegetable constituents enhances the availability of energy and nutrient utilization and improves the FCR (12, 31). The availability of energy, nutrient utilization, and protein could be improved by supplementing a monogastric diet with exogenous enzymes that hydrolyze the NSP of vegetable constituents. Recently, Attia et al. (34) evaluated phytases to enhance the utilized low-protein and -energy diets in broilers supplemented with 0 and 500 U/kg of Aspergillus niger or 500 FTU/kg of Escherichia coli phytase. The authors reported that the low-protein and -energy diets decreased the intake of feed and the protein and metabolizable energy conversion ratios, when compared with the control group. Both phytases decreased the intake of feed, protein, and energy, but bacterial phytase showed a greater effect than Aspergillus niger.
The lack of effects of various concentrations of multi-enzymes on dressing and most organs, except for the pancreas, of broilers agrees with the study by Greenwood (35), who reported that supplementing broiler feed with multi-enzymes has no effect on carcass traits. In addition, Salem et al. (36) and Attia et al. (20) revealed that using multi-enzymes in broiler feed rations has no impact on heart, liver, and gizzard relative weights, as well as abdominal fat and thymus. Shafiee et al. (37) showed that broiler chickens supplemented with multi-enzymes had heavier breast, thigh, and abdominal fat than the standard group. On the other hand, this observation is a debate as other studies showed no effect of multi-enzyme supplementation on carcass traits of broilers (12). This contradiction could be attributed to differences in the enzyme type, dose, dietary nutrient profiles, and age of chickens (18).
The use of the LDD in the current study increased gizzard and intestinal length percentages and color of thigh meat; this reflected an adaptation response in the gut. The association between intestinal morphology and dietary treatment was previously documented; cereal with elevated NSP concentration may enhance gastrointestinal tract size (12, 38). Changes in the length and weight of digestive organs can be due to changes in the quantity of feed consumption, ingredient composition, or nutrient density of the diet. There is a distinction between digestive organs that are required for feed ingestion, digestion, and absorption (esophagus, crop, stomach, and intestines) and organs that play a more supportive role in the digestion or metabolization of nutrients such as the pancreas or the liver. Intestinal length and weight increased due to increased diet density. An increase in intestinal weight could also be due to differences in feed intake level, nutrient intake, and diet ingredient composition (39). Feeding dietary fiber or “structural components” can stimulate gizzard development in chickens. Feeding of insoluble non-starch polysaccharides (NSPs) such as hulls of pea, oat, soy, or wood shavings can increase the gizzard weight of broilers. In addition, insoluble NSPs can trigger gizzard function due to lower gizzard digesta pH. An increase in dietary fiber also results in an increase in the proportion of coarser particles in the diet. A well-known fact is that broilers or laying hens fed coarsely ground and mash diets show an increase in gizzard weights in comparison to those fed finer particles. There is a possibility that increased dry matter intake can stimulate gizzard activity, which leads to an increase in gizzard weight (40). Yamauchi (41) reported that the constitution of dietary feeds may stimulate morphological changes in the intestinal mucosa under the microscope. Various proportions of NSP may impact intestine morphology. It was also revealed that the crypt deepness of the jejunum and ileum were significantly enhanced as a result of guar gum and xanthin gum supplementation; this suggests that NSP may induce stimulation of the gastrointestinal tract cell turnover and high utilization of the available nutrients, thus affecting the intestine morphology (42). However, the current study results showed that the type of diet had no impact on dressing, proventriculus, pancreas, liver, heart, and intestinal weight percentages.
Notably, the LDD enriched with either 0.1 or 0.2% of multi-enzymes revealed greater growth performance, PI, EE, and apparent digestibility of nutrients than the SD without multi-enzyme supplementation or even the SD supplemented with multi-enzymes, indicating that multi-enzyme fortification compensated for the reduction in nutrient concentration in the LDD. The adaption of the pancreas, gastrointestinal tract, and intestinal weight due to multi-enzyme fortification indicates the role of enzymes in improving nutrient digestion and absorption (12, 13, 22, 43).
No dose-dependent effect of multi-enzymes on growth, feed intake, and FCR was observed, showing that supplementing broilers with 0.1% of multi-enzymes is adequate for greater digestibility of most nutrients. At the same time, increasing the dosage of multi-enzyme supplementation resulted in the drawback of the positive effect as shown in DM, OM, CP, and EE digestibility. This drawback could be attributed to the interference (negative feedback mechanism) between the exogenous enzymes and the enzymes in the pancreas (12).
Nitrogen-free extract is the portion of feed and feedstuffs comprising starch and amylase—the enzyme that breaks down starch (44). In line with our study, Ani et al. (45) reported that when pullet chicks were fed varying levels of fiber and supplementary enzymes, significant (P < 0.01) differences in the intake of crude fiber and NFE were noted. When the level of crude fiber increased in the diet, a simultaneous increase in feed intake was noted. This can be due to the bulky nature and low digestible nutrient content of a fibrous feed. The percentage of crude fiber affects the digestibility of feeds as the higher the percentage of crude fiber in the diet, the lower the digestibility of other nutrients. As the fiber intake in our standard diets was low, this could have resulted in significantly increased NFE.
Physical and chemical characteristics of meat
Color and texture are two of the most important factors that determine meat quality. Consumers select meat based on visual appearance of the meat product. Color is an important indicator of freshness of meat at the time of purchase. Meat color is classified based on lightness values: dark (L* < 50), normal (50 < L* < 56), or pale (L* > 56). Thus, the lightness value is used as an indicator of poultry breast meat color for further processing and evaluation of pale, soft meat (46).
No significant effect of the dietary treatments was found on the physical and chemical characteristics of chicken meat, except for thigh color. The present findings agreed with those of Khatun et al. (47), who reported that dietary treatments had no significant effect on meat pH, drip loss, and cooking loss. However, in contrast to our findings, Upadhaya et al. (46) observed that the lightness value of breast muscle color linearly increased (P = 0.001) with the increase in the level of the emulsifier blend. The redness and yellowness values were slightly increased (P = 0.072 and P = 0.094, respectively), and the WHC also tended to linearly (P = 0.078) reduce in emulsifier-supplemented birds. The color of meat is associated with a pH decline as meat undergoes rigor mortis with whole muscle meat becoming lighter in color (48).
Economic efficiency
Feed cost is crucial, particularly in developing countries, as it can improve the economic efficacy of poultry breeding. The addition of multi-enzymes to the LDD significantly affected the total revenue, net revenue, and economic efficiency, showing positive influence. Our findings are in line with those of Abdulwahid et al. (49), who studied the economic impact of Labazyme as a feed additive in broiler chickens and observed that feed cost was significantly higher in the experimental group than in the control group. The economic evaluation, production efficiency, and production index were highly significant in broiler chickens fed a Labazyme supplement compared with the control. The highest total return and the highest profitability from selling broiler chickens were achieved with Labazyme-supplemented chickens because of a significant increase in the final body weight (p < 0.05). Hassan et al. (50) also reported that diet supplemented with the highest level of rutin, a flavonol glycoside, significantly had the highest total feed cost among the treatment groups.
Conclusion
Supplementing broiler rations with multi-enzymes at either 0.1 or 0.2% to the SD or LDD enhanced the growth of broiler chickens from days 1 to 38 of age. In addition, the LDD fortified with either 0.1 or 0.2% of multi-enzymes resulted in enhanced growth of broilers compared with those fed the standard diet without multi-enzymes supplementation, showing a beneficial effect of multi-enzymes compared with low-density broiler diets during feed chain-changing conditions.
Our findings showed a relation between multi-enzyme concentration and type of dietary treatment on the pancreas, liver, and intestinal length percentages. Supplementation at 0.1 or 0.2% of multi-enzymes decreased the intestinal weight percentage of chicks fed the SD and LDD than those fed an unsupplemented SD. In addition, the SD contributed to greater nitrogen-free extract digestibility. Chickens fed the SD yielded higher total revenue and economic efficiency than those fed the LDD.
Publisher's note
All claims expressed in this article are solely those of the authors and do not necessarily represent those of their affiliated organizations, or those of the publisher, the editors and the reviewers. Any product that may be evaluated in this article, or claim that may be made by its manufacturer, is not guaranteed or endorsed by the publisher.
Statements
Data availability statement
The original contributions presented in the study are included in the article/supplementary material, further inquiries can be directed to the corresponding authors.
Ethics statement
The experimental procedures were approved by the Ethical Animal Care and Use Committee of the Department of Veterinary Medicine and Animal Production of the University of Napoli Federico II, Italy (protocol no. 2017/0017676).
Author contributions
All authors listed have made a substantial, direct, and intellectual contribution to the work and approved it for publication.
Acknowledgments
The authors extend their appreciation to the Researchers Supporting Project (number RSP2022R439), King Saud University, Riyadh, Saudi Arabia, and Kuwait Institute for Scientific Research, Kuwait, for funding this research. The authors also extended their appreciation to the Department of Veterinary Medicine and Animal Production of the University of Napoli Federico II, Italy, for approving the experimental protocol used in the current study.
Conflict of interest
The authors declare that the research was conducted in the absence of any commercial or financial relationships that could be construed as a potential conflict of interest.
References
1.
Al-Khalaifa H Al-Nasser A Al-Surayee T Al-Kandari S Al-Enzi N Al-Sharrah T et al . Effect of dietary probiotics and prebiotics on the performance of broiler chickens. Poult Sci. (2019) 98:4465–79. 10.3382/ps/pez282
2.
Attia YA Al-Khalaifah H Abd El-Hamid HS Al-Harthi MA Alyileili SR El-Shafey AA . Antioxidant status, blood constituents and immune response of broiler chickens fed two types of diets with or without different concentrations of active yeast. Animals. (2022) 12:453. 10.3390/ani12040453
3.
Al-Khalaifah H Al-Nasser A Al-Surrayai T Sultan H Al-Attal D Al-Kandari R et al . Effect of ginger powder on production performance, antioxidant status, hematological parameters, digestibility, and plasma cholesterol content in broiler chickens. Animals. (2022) 12:901. 10.3390/ani12070901
4.
Al-Khalaifah H Uddin SJS . Assessment of sargassum sp., spirulina sp, and gracilaria sp as poultry feed supplements: feasibility and environmental implications. Sustainability. (2022) 14:8968. 10.3390/su14148968
5.
Al-Khalaifah H Al-Nasser A Abdulmalek N Al-Mansour H Ahmed A Ragheb G . Impact of SARS-Con-V2 on the poultry industry in Kuwait: a case study. Front. Vet. Sci. (2020) 7:656. 10.3389/fvets.2020.577178
6.
Omar AE Al-Khalaifah HS Osman A Gouda A Shalaby SI Roushdy EM . et al. Modulating the growth, antioxidant activity, and immunoexpression of proinflammatory cytokines and apoptotic proteins in broiler chickens by adding dietary spirulina platensis phycocyanin. Antioxidants. (2022) 11:991. 10.3390/antiox11050991
7.
Amer SA Al-Khalaifah HS Gouda A Osman A Goda NI Mohammed HA et al . Potential effects of anthocyanin-rich roselle (Hibiscus sabdariffa L. ) extract on the growth, intestinal histomorphology, blood biochemical parameters, and the immune status of broiler chickens. Antioxidants. (2022) 11:544. 10.3390/antiox11030544
8.
Al-Khalaifah HS Al-Nasser A Surrayai TJ . Effects from dietary addition of Sargassum sp., spirulina sp., or Gracilaria sp. powder on immune status in broiler chickens. Front. Vet. Sci. (2022) 9:928235. 10.3389/fvets.2022.928235
9.
Al-Surrayai T Al-Khalaifah H . Dietary supplementation of fructooligosaccharides enhanced antioxidant activity and cellular immune response in broiler chickens. Front. Vet. Sci. (2022) 9: 857294. 10.3389/fvets.2022.857294
10.
He S Hao X Wang S Zhou W Ma Q Lu X et al . Starch synthase II plays a crucial role in starch biosynthesis and the formation of multienzyme complexes in cassava storage roots. J Exp Bot. (2022) 73:erac022. 10.1093/jxb/erac022
11.
Attia YA El-Razak A El-Din ET Zeweil HS Hussein AS Qota ESM et al . The effect of supplementation of enzyme on laying and reproductive performance in Japanese quail hens fed Nigella seed meal. J Poult Sci. (2008) 45:110–5. 10.2141/jpsa.45.110
12.
Attia YA . Value of rice bran, its maximal utilization, and upgrading by phytase and other enzymes and diet-formulation based on available amino acid for broiler chicks. Archiv fur Geflugelkunde. (2003) 67:157–66.
13.
Attia YA El-Tahawy WS Abd El-Hamid AE-HE Hassan SS Nizza A El-Kelaway MI . Effect of phytase with or without multienzyme supplementation on performance and nutrient digestibility of young broiler chicks fed mash or crumble diets. Ital J Anim Sci. (2012) 11:e56. 10.4081/ijas.2012.e56
14.
Al-Nasser A Al-Khalaifah H Al-Mansour H Ahmad A Ragheb G . Evaluating farm size and technology use in poultry production in Kuwait. World Poult Sci. (2020) 76:365–80. 10.1080/00439339.2020.1737625
15.
Saleh AA Kirrella AA Abdo SE Mousa MM Badwi NA Ebeid TA . et al. Effects of dietary xylanase and arabinofuranosidase combination on the growth performance, lipid peroxidation, blood constituents, and immune response of broilers fed low-energy diets. Animals. (2019) 9:467. 10.3390/ani9070467
16.
Saleh AA Amber KA Mousa MM Nada AL Awad W Dawood MA et al . A mixture of exogenous emulsifiers increased the acceptance of broilers to low energy diets: Growth performance, blood chemistry, and fatty acids traits. Animals. (2020) 10:437. 10.3390/ani10030437
17.
Yang X Zhang B Guo Y Jiao P Long F . Effects of dietary lipids and Clostridium butyricum on fat deposition and meat quality of broiler chickens. Poult Sci. (2010) 89:254–60. 10.3382/ps.2009-00234
18.
Choct M . Enzymes for the feed industry: past, present and future. World Poult Sci J. (2006) 62:5–16. 10.1079/WPS200480
19.
Hussein EOS Suliman GM Alowaimer AN Ahmed SH Abd El-Hack ME Taha AE et al . Growth, carcass characteristics, and meat quality of broilers fed a low-energy diet supplemented with a multienzyme preparation. Poult Sci. (2020) 99:1988–94. 10.1016/j.psj.2019.09.007
20.
Attia Y El-Kelawy M Al-Harthi M El-Shafey A . Impact of multienzymes dose supplemented continuously or intermittently in drinking water on growth performance, nutrient digestibility, and blood constituents of broiler chickens. Animals. (2020) 10:375. 10.3390/ani10030375
21.
Hubbard Broiler Management Guide . (1999). Hubbard ISA 119. Avenue des axe 69427, Lyon Codex 03, France.
22.
Attia YA . Effects of microbial phytase without or with cell wall splitting enzymes on the performance of broilers fed marginal levels of dietary protein and metabolizable energy. Egypt Poult Sci J. (2001) 21:521–47.
23.
AOAC . Official Methods of Analysis of the Association of Official Analytical Chemists. Washington, DC (2004). p. 18. 10.3390/ani9050280
24.
Volovinskaia V Kelman B . Modification of the water holding capacity method of meat. Feed Ind. (1962) 11:80–7.
25.
Husaini S Deatherage F Kunkle L . Studies on meat 2 observations on relation of biochemical factors to changes in tenderness. Food Technol. (1950) 4:366–9.
26.
Aitken A Casey J Penny I Voyle C . Effect of drying temperature in the accelerated freeze-drying of pork. J Sci Food Agric. (1962) 13:439–48. 10.1002/jsfa.2740130808
27.
Culling CFA . Handbook of Histopathological and Histochemical Techniques: Including Museum Techniques. Oxford: Butterworth-Heinemann (2013).
28.
SAS Institute I . Statistical analyses system (SAS) SAS/STAT software. Cary, US (2002).
29.
Feng Y Wang L Khan A Zhao R Wei S Jing X . Fermented wheat bran by xylanase-producing Bacillus cereus boosts the intestinal microflora of broiler chickens. Poult Sci. (2020) 99:263–71. 10.3382/ps/pez482
30.
Martínez Y Carrión Y Rodríguez R Valdivié M Olmo C Betancur C et al . Growth performance, organ weights and some blood parameters of replacement laying pullets fed with increasing levels of wheat bran. Braz J Poult Sci. (2015) 17:347–54. 10.1590/1516-635X1703347-354
31.
Al-Harthi MA . Impact of supplemental feed enzymes, condiments mixture or their combination on broiler performance, nutrients digestibility and plasma constituents. Int J Poult Sci. (2006) 5:764–71. 10.3923/ijps.2006.764.771
32.
Wang JP Zhang ZF Yan L Kim IH . Effects of dietary supplementation of emulsifier and carbohydrase on the growth performance, serum cholesterol and breast meat fatty acids profile of broiler chickens. Anim Sci J. (2016) 87:250–6. 10.1111/asj.12412
33.
Dal Pont GC Eyng C Bortoluzzi C Kogut MH . Enzymes and Gut Health in Monogastric Animals: Effects Beyond Digestibility. Gut Microbiota, Immunity, and Health in Production Animals. Cham: Springer (2022), p. 33–55.
34.
Attia YA Bovera F Al-Harthi MA El-Din AE-RE Said Selim W . Supplementation of microbial and fungal phytases to low protein and energy diets: Effects on productive performance, nutrient digestibility, and blood profiles of broilers. Agriculture. (2021) 11:414. 10.3390/agriculture11050414
35.
Greenwood MW . Utilization of Avizyme 1502 in Corn-Soybean meal diets with and without antibiotics. Poult Sci. (2002) 81:25.
36.
Salem AA Anwer E . M. M, EL A-E, M, Eman MMM Productive and physiological performance of golden montazah male chickens as affected by feed restriction and anizyme supplementation. Egypt Poult Sci J. (2008) 28:1137–64.
37.
Shafiee TS Dabiri N Agah MJ Norollahi H . Effect of pellet and mash diets associated with biozyme enzyme on broilers performance. Int J Poult Sci. (2006) 5:485–90. 10.3923/ijps.2006.485.490
38.
Asare E Yang Z Yang H Wang Z . Evaluation of dietary Pancreatin as an exogenous enzyme on growth performance, gene expression, immunological responses, serum immunoglobins, and intestinal morphology in cockerels. J Appl Anim Res. (2022) 50:61–8. 10.1080/09712119.2021.2019044
39.
Lamot D Sapkota D Wijtten P Van Den Anker I Heetkamp M Kemp B et al . Diet density during the first week of life: Effects on growth performance, digestive organ weight, and nutrient digestion of broiler chickens. Poult Sci. (2019) 98:789–95. 10.3382/ps/pey002
40.
Röhe I Vahjen W Metzger F Zentek J . Effect of a “diluted” diet containing 10% lignocellulose on the gastrointestinal tract, intestinal microbiota, and excreta characteristics of dual purpose laying hens. Poult Sci. (2020) 99:310–9. 10.3382/ps/pez492
41.
Yamauchi K-E . Review on chicken intestinal villus histological alterations related with intestinal function. J Poult Sci. (2002) 39:229–42. 10.2141/jpsa.39.229
42.
Nguyen HT Bedford MR Wu S-B Morgan NK . Dietary soluble non-starch polysaccharide level influences performance, nutrient utilisation and disappearance of non-starch polysaccharides in broiler chickens. Animals. (2022) 12:547. 10.3390/ani12050547
43.
Attia Y . Al-khalaifah HS, Abd El-Hamid H, Al-Harthi M, El-Shafey A. Multi-enzymes and immune response Effect of different levels of multi-enzymes on immune response, blood hematology and biochemistry, antioxidants status and organs histology of broiler chicks fed standard and low-density diets. Front Vet Sci. (2019) 6:510. 10.3389/fvets.2019.00510
44.
Ndelekwute E Unah U Udoh U . Effect of dietary organic acids on nutrient digestibility, faecal moisture, digesta pH and viscosity of broiler chickens. MOJ Anat Physiol. (2019) 6:40–3. 10.15406/mojap.2019.06.00242
45.
Ani AO Ugwuowo LC Osita CO Alutu ON . Effect of dietary fibre and supplementary enzyme levels on nutrient utilization and haematological indices of pullet chicks. Rep Opinion. (2012) 4:30–6. 10.7537/marsroj041012.08
46.
Upadhaya S Lee JS Jung KJ Kim I . Influence of emulsifier blends having different hydrophilic-lipophilic balance value on growth performance, nutrient digestibility, serum lipid profiles, and meat quality of broilers. Poult Sci. (2018) 97:255–61. 10.3382/ps/pex303
47.
Khatun J Loh T Akit H Foo H Mohamad R . Influence of different sources of oil on performance, meat quality, gut morphology, ileal digestibility and serumlipid profile in broilers. J Appl Anim Res. (2018) 46:479–85. 10.1080/09712119.2017.1337580
48.
Weimer S Zuelly S Davis M Karcher D Erasmus M . Differences in carcass composition and meat quality of conventional and slow-growing broiler chickens raised at 2 stocking densities. Poult Sci. (2022) 101:101833. 10.1016/j.psj.2022.101833
49.
Abdulwahid AS Mohammed AB Raouf SM Hasan TK . Effect of labazyme on growth performance, physiological parameters, and economic efficiency of broiler chickens. World. (2022) 12:156–63. 10.54203/scil.2022.wvj20
50.
Hassan FA Roushdy EM Kishawy AT Zaglool AW Tukur HA Saadeldin IM . Growth performance, antioxidant capacity, lipid-related transcript expression and the economics of broiler chickens fed different levels of rutin. Animals. (2018) 9:7. 10.3390/ani9010007
Summary
Keywords
broiler, carcass trait, growth performance, multi-enzyme, nutrient density
Citation
Attia YA, Al-Khalaifah HS, Alqhtani AH, Abd El-Hamid HS, Alyileili SR, El-Hamid AE-HEA, Bovera F and El-Shafey AA (2022) The impact of multi-enzyme fortification on growth performance, intestinal morphology, nutrient digestibility, and meat quality of broiler chickens fed a standard or low-density diet. Front. Vet. Sci. 9:1012462. doi: 10.3389/fvets.2022.1012462
Received
05 August 2022
Accepted
26 October 2022
Published
24 November 2022
Volume
9 - 2022
Edited by
Muhammad Saeed, Northwest A&F University, China
Reviewed by
Parasuraman Aiya Subramani, Vels Institute of Science, Technology & Advanced Studies (VISTAS), India; Vito Laudadio, University of Bari Aldo Moro, Italy; Muhammad Asif Arain, Lasbela University of Agriculture, Water & Marine Sciences, Pakistan; Tarek A. Ebeid, Kafrelsheikh University, Egypt
Updates
Copyright
© 2022 Attia, Al-Khalaifah, Alqhtani, Abd El-Hamid, Alyileili, El-Hamid, Bovera and El-Shafey.
This is an open-access article distributed under the terms of the Creative Commons Attribution License (CC BY). The use, distribution or reproduction in other forums is permitted, provided the original author(s) and the copyright owner(s) are credited and that the original publication in this journal is cited, in accordance with accepted academic practice. No use, distribution or reproduction is permitted which does not comply with these terms.
*Correspondence: Youssef A. Attia attia0103753095@gmail.comHanan S. Al-Khalaifah hkhalifa@kisr.edu.kw
This article was submitted to Animal Nutrition and Metabolism, a section of the journal Frontiers in Veterinary Science
Disclaimer
All claims expressed in this article are solely those of the authors and do not necessarily represent those of their affiliated organizations, or those of the publisher, the editors and the reviewers. Any product that may be evaluated in this article or claim that may be made by its manufacturer is not guaranteed or endorsed by the publisher.