ORIGINAL RESEARCH article
Front. Oncol.
Sec. Head and Neck Cancer
This article is part of the Research TopicAdvances in the Treatment of Nasopharyngeal CancerView all 9 articles
Application of Dual-energy CT in Assessing the Efficacy of Nasopharyngeal Carcinoma and Diagnosing Metastatic Lymph Nodes
Provisionally accepted- 1Jiangsu Cancer Hospital, Nanjing Medical University, Nanjing, China
- 2Nanjing Medical University, Nanjing, Jiangsu Province, China
- 3Nanjing Second Hospital, Nanjing (Zhongfu District), Jiangsu Province, China
Select one of your emails
You have multiple emails registered with Frontiers:
Notify me on publication
Please enter your email address:
If you already have an account, please login
You don't have a Frontiers account ? You can register here
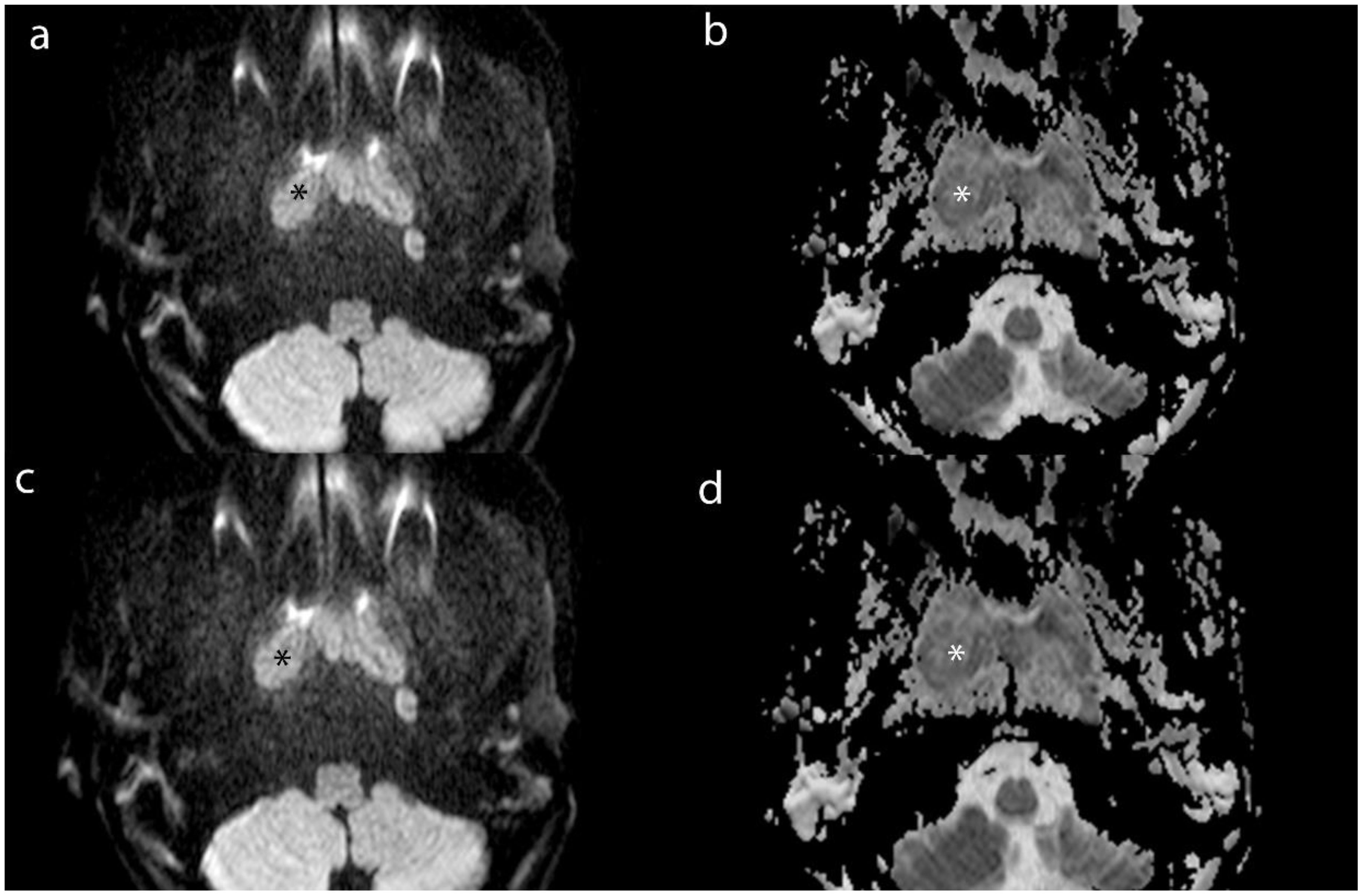
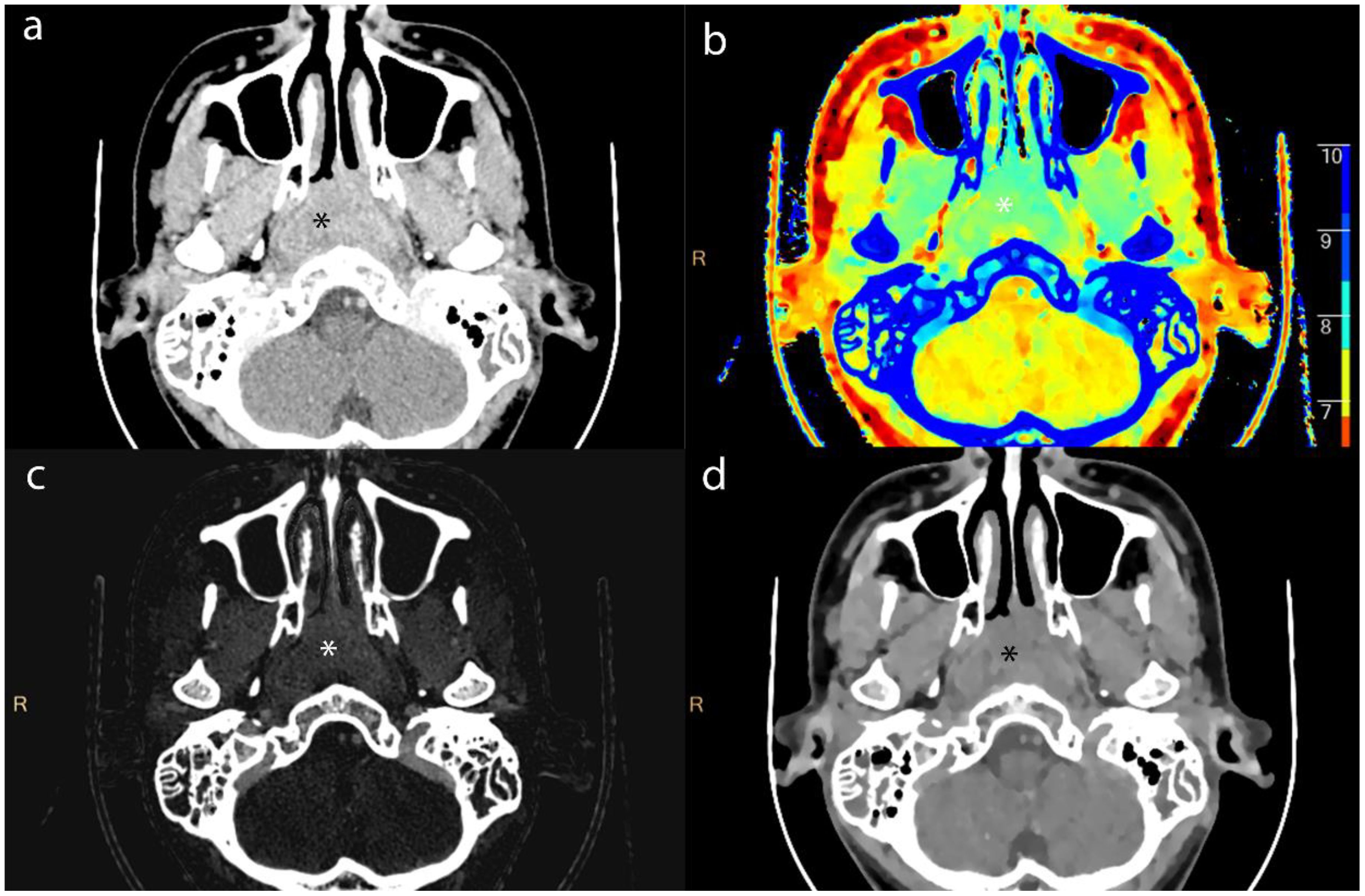
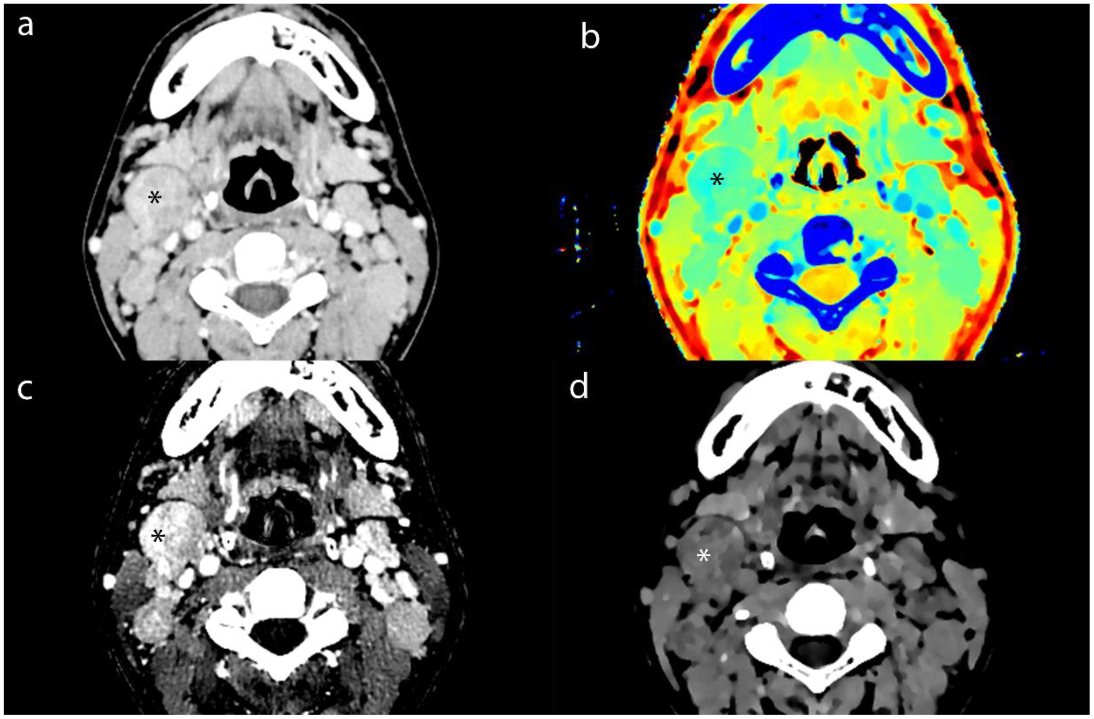
Purpose: To explore the value of dual-energy CT (DECT) in evaluating the efficacy of nasopharyngeal carcinoma (NPC) and in the detection of metastatic lymph nodes (MLNs). Materials and Methods: For this retrospective study, we collected and analyzed clinical and imaging data from 83 patients diagnosed with NPC via histopathology, who were admitted to the Radiotherapy Department from August 2022 to July 2024. The cohort consisted of 64 males and 19 females, with an average age of 50.86±13.45 (years). All patients underwent DECT enhancement and MRI scanning before and after the first treatment course to assess the extent of lesions and lymph nodes (LNs). A total of 423 LN imaging datasets were analyzed. We measured iodine concentration (IC), effective atomic number (Zeff), electron density (ED), and normalized iodine concentration (NIC). Additionally, we recorded the magnetic resonance ADC values of the LNs. Results: Statistical analysis of Zeff, ED, and NIC values of lesion and LNs revealed no significant differences between groups (p > 0.05). The Zeff, ED, and NIC values for lesions and LNs were significantly lower after treatment than before (p < 0.05). Receiver operating characteristic (ROC) analysis for MLNs indicated that the area under the ROC curve (AUC) for NIC indicated high accuracy. Conclusion: DECT provides valuable functional parameters for assessing the efficacy of NPC and demonstrates significant clinical application value. Notably, the NIC parameter shows high diagnostic efficacy for MLNs, comparable to the ADC value obtained from MRI.
Keywords: Dual-energy CT, Multi-parameters, nasopharyngeal carcinoma, Diagnostic accuracy, Metastatic lymph nodes
Received: 29 Mar 2025; Accepted: 27 Oct 2025.
Copyright: © 2025 Wang, dai, li, qiao, li, Pan, jiang, fang, kang and Zhang. This is an open-access article distributed under the terms of the Creative Commons Attribution License (CC BY). The use, distribution or reproduction in other forums is permitted, provided the original author(s) or licensor are credited and that the original publication in this journal is cited, in accordance with accepted academic practice. No use, distribution or reproduction is permitted which does not comply with these terms.
* Correspondence: zheng kang, 1366101002@qq.com
Disclaimer: All claims expressed in this article are solely those of the authors and do not necessarily represent those of their affiliated organizations, or those of the publisher, the editors and the reviewers. Any product that may be evaluated in this article or claim that may be made by its manufacturer is not guaranteed or endorsed by the publisher.
