CASE REPORT article
Front. Oncol.
Sec. Surgical Oncology
Imaging-Driven Diagnosis of Retroperitoneal Psoas Major Alveolar Soft Part Sarcoma: A Case Report
Provisionally accepted- 1The First Affiliated Hospital, Guizhou University of Traditional Chinese Medicine, Guiyang, China
- 2Department of Radiology, Guangdong Provincial People's Hospital, Guangdong Academy of Medical Sciences, Guangzhou, China
- 3Department of Radiology, Affiliated Hospital of Zunyi Medical College, Zunyi, Guizhou Province, China
- 4Department of Radiology, Huizhou Central People's Hospital, Huizhou, Guangdong Province, China
- 5The Second Affiliated Hospital, Guizhou University of Traditional Chinese Medicine, Guiyang, Guizhou Province, China
Select one of your emails
You have multiple emails registered with Frontiers:
Notify me on publication
Please enter your email address:
If you already have an account, please login
You don't have a Frontiers account ? You can register here
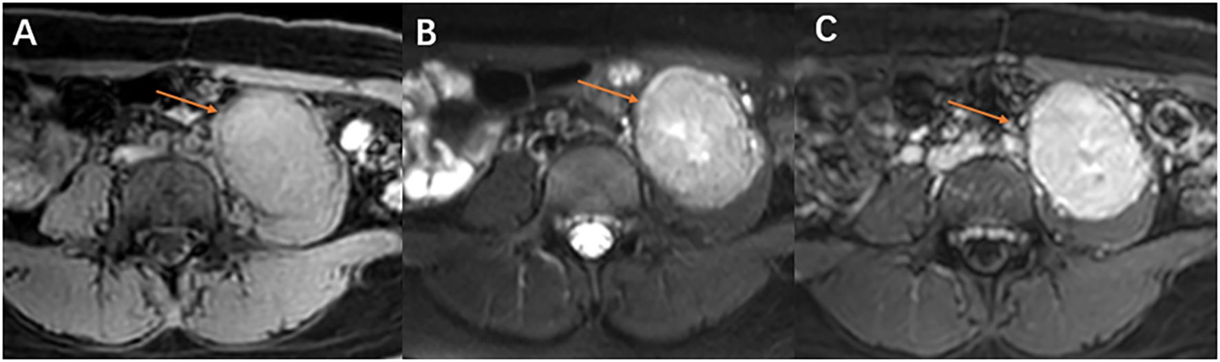
Alveolar soft part sarcoma (ASPS) is an infrequent and malignant soft tissue tumor with an elusive tissue origin. Its occurrence in the retroperitoneal psoas major muscle is extremely rare. The tumor's deep retroperitoneal location, complex anatomy, and hypervascularity pose challenges to preoperative diagnosis and surgical intervention. This case report presents a 21-year-old female diagnosed with left retroperitoneal psoas major ASPS. Advanced imaging modalities, such as computed tomography (CT) multidirectional reconstruction, magnetic resonance imaging (MRI), and three-dimensional (3D) rendering, were utilized. These imaging techniques not only clearly depicted the tumor's characteristics but also its spatial relationships with surrounding tissues and the vascular network. The detailed preoperative vascular assessment enabled the surgical team to comprehend the tumor anatomy and meticulously plan the approach, thus significantly reducing surgical risks and potential complications. The procedures and outcomes of this case offer valuable insights for clinical practice, highlighting the crucial role of imaging in the diagnosis and treatment of rare ASPS cases.
Keywords: Alveolar soft part sarcoma, Retroperitoneal psoas major, Imaging-guided diagnosis, Multimodal Imaging, Rare tumor
Received: 10 Apr 2025; Accepted: 07 Nov 2025.
Copyright: © 2025 韦, He, Li, Liu and Fan. This is an open-access article distributed under the terms of the Creative Commons Attribution License (CC BY). The use, distribution or reproduction in other forums is permitted, provided the original author(s) or licensor are credited and that the original publication in this journal is cited, in accordance with accepted academic practice. No use, distribution or reproduction is permitted which does not comply with these terms.
* Correspondence: Ming He, heming@gdph.org.cn
Disclaimer: All claims expressed in this article are solely those of the authors and do not necessarily represent those of their affiliated organizations, or those of the publisher, the editors and the reviewers. Any product that may be evaluated in this article or claim that may be made by its manufacturer is not guaranteed or endorsed by the publisher.
