CASE REPORT article
Front. Oncol.
Sec. Gynecological Oncology
This article is part of the Research TopicEvolving Therapies in Gynecological Oncology: From Chemotherapy to Personalized MedicineView all 5 articles
Delayed Uterine Rupture and Septic Shock After High-Intensity Focused Ultrasound for Uterine Fibroids: A Case Report
Provisionally accepted- 1Department of Obstetrics and Gynecology, Zigong Fourth People's Hospital, Zigong, China
- 2Department of Gynecology, The People's Hospital of Wenshan Zhuang and Miao Autonomous Prefecture, Wenshan, China
- 3Department of Gynecology, the Affiliated Changzhou Second Peoples Hospital of Nanjing Medical University, Changzhou, Jiangsu 213000, PR China;, Changzhou, China
Select one of your emails
You have multiple emails registered with Frontiers:
Notify me on publication
Please enter your email address:
If you already have an account, please login
You don't have a Frontiers account ? You can register here
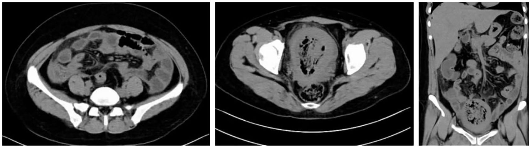
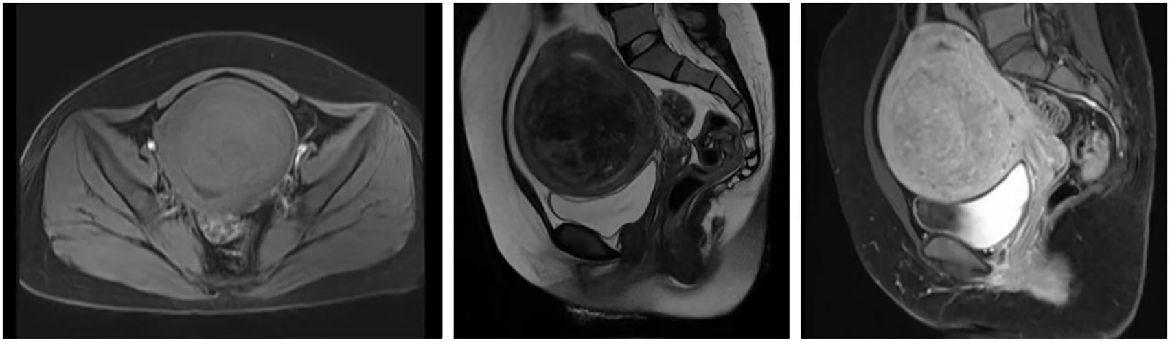
Background: High-intensity focused ultrasound (HIFU) ablation is widely regarded as a safe and minimally invasive technique for treating uterine fibroids. However, severe complications such as uterine rupture and septic shock remain exceedingly rare. Case presentation: We report a case of a 42-year-old woman who developed uterine rupture complicated by septic shock one month after undergoing HIFU ablation for uterine fibroids. Conclusions: Although HIFU ablation for uterine fibroids is widely considered a safe and minimally invasive procedure, clinicians should recognize the potential for severe complications, including uterine rupture and septic shock.
Keywords: High-intensity focused ultrasound, Uterine fibroids, Uterine Rupture, septic shock, HIFU
Received: 02 Sep 2025; Accepted: 20 Nov 2025.
Copyright: © 2025 Xia, Mao, Chi, Zu, Yu, Chen, Zhang and Chen. This is an open-access article distributed under the terms of the Creative Commons Attribution License (CC BY). The use, distribution or reproduction in other forums is permitted, provided the original author(s) or licensor are credited and that the original publication in this journal is cited, in accordance with accepted academic practice. No use, distribution or reproduction is permitted which does not comply with these terms.
* Correspondence: Jiming Chen, cjming@126.com
Disclaimer: All claims expressed in this article are solely those of the authors and do not necessarily represent those of their affiliated organizations, or those of the publisher, the editors and the reviewers. Any product that may be evaluated in this article or claim that may be made by its manufacturer is not guaranteed or endorsed by the publisher.
