CASE REPORT article
Front. Oncol.
Sec. Gynecological Oncology
This article is part of the Research TopicCutting-Edge Strategies in Screening, Prevention, and Treatment in Gynaecologic OncologyView all 45 articles
Case Report: Advanced Colorectal Cancer Diagnosed and Treated With Chemotherapy During Pregnancy
Provisionally accepted- 1Universita degli Studi di Bari Aldo Moro Dipartimento Interdisciplinare di Medicina, Bari, Italy
- 2Istituto Tumori Bari Giovanni Paolo II IRCCS, Bari, Italy
Select one of your emails
You have multiple emails registered with Frontiers:
Notify me on publication
Please enter your email address:
If you already have an account, please login
You don't have a Frontiers account ? You can register here
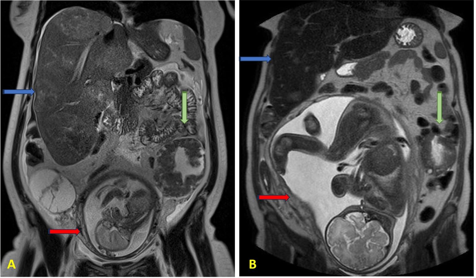
Introduction. Cancer during pregnancy is a rare event and often presents at an advanced stage due to delayed diagnosis. Clinical symptoms are frequently misattributed to normal pregnancy changes, leading to diagnostic challenges. Moreover, concerns regarding fetal safety limit the use of certain imaging modalities and treatment options. Managing cancer in pregnancy requires careful coordination across specialties to balance maternal treatment with fetal preservation. Case-report. We present the case of a pregnant woman diagnosed in the second trimester with advanced metastatic colorectal cancer. The disease involved multiple intra-abdominal sites, and the patient was managed through a multidisciplinary approach. Chemotherapy with FOLFOX scheme was administered during the second and third trimester of pregnancy, leading to a favorable clinical and radiologic response. Delivery was planned at term, with no complications for the newborn. Postpartum oncologic management was continued without delay. Conclusion. This case highlights the importance of individualized care in such complex scenarios and the feasibility and safety of administering chemotherapy during pregnancy.
Keywords: Cancer, Pregnancy, Pregnancy associated cancer, colorectal cancer, chemotherapy, Chemotherapy in pregnancy
Received: 04 Sep 2025; Accepted: 19 Nov 2025.
Copyright: © 2025 Galante, Cerbone, Sorgente, Moramarco, Difonzo, Cormio, Marinaccio, Alfonso, Cicinelli and Vimercati. This is an open-access article distributed under the terms of the Creative Commons Attribution License (CC BY). The use, distribution or reproduction in other forums is permitted, provided the original author(s) or licensor are credited and that the original publication in this journal is cited, in accordance with accepted academic practice. No use, distribution or reproduction is permitted which does not comply with these terms.
* Correspondence: Arianna Galante, ariannagalante94@gmail.com
Disclaimer: All claims expressed in this article are solely those of the authors and do not necessarily represent those of their affiliated organizations, or those of the publisher, the editors and the reviewers. Any product that may be evaluated in this article or claim that may be made by its manufacturer is not guaranteed or endorsed by the publisher.
