CASE REPORT article
Front. Oncol.
Sec. Head and Neck Cancer
Intrathyroidal Thymic Carcinoma Initially Suspected as a Parathyroid Tumor: A Case Report and Literature Review
Provisionally accepted- 1Fudan University Shanghai Cancer Center Xiamen Hospital, Xiamen, China
- 2Xinjiang Medical University, Urumqi, China
- 3The First Hospital of Putian City, Putian, China
- 4Fudan University Shanghai Cancer Center, Shanghai, China
Select one of your emails
You have multiple emails registered with Frontiers:
Notify me on publication
Please enter your email address:
If you already have an account, please login
You don't have a Frontiers account ? You can register here
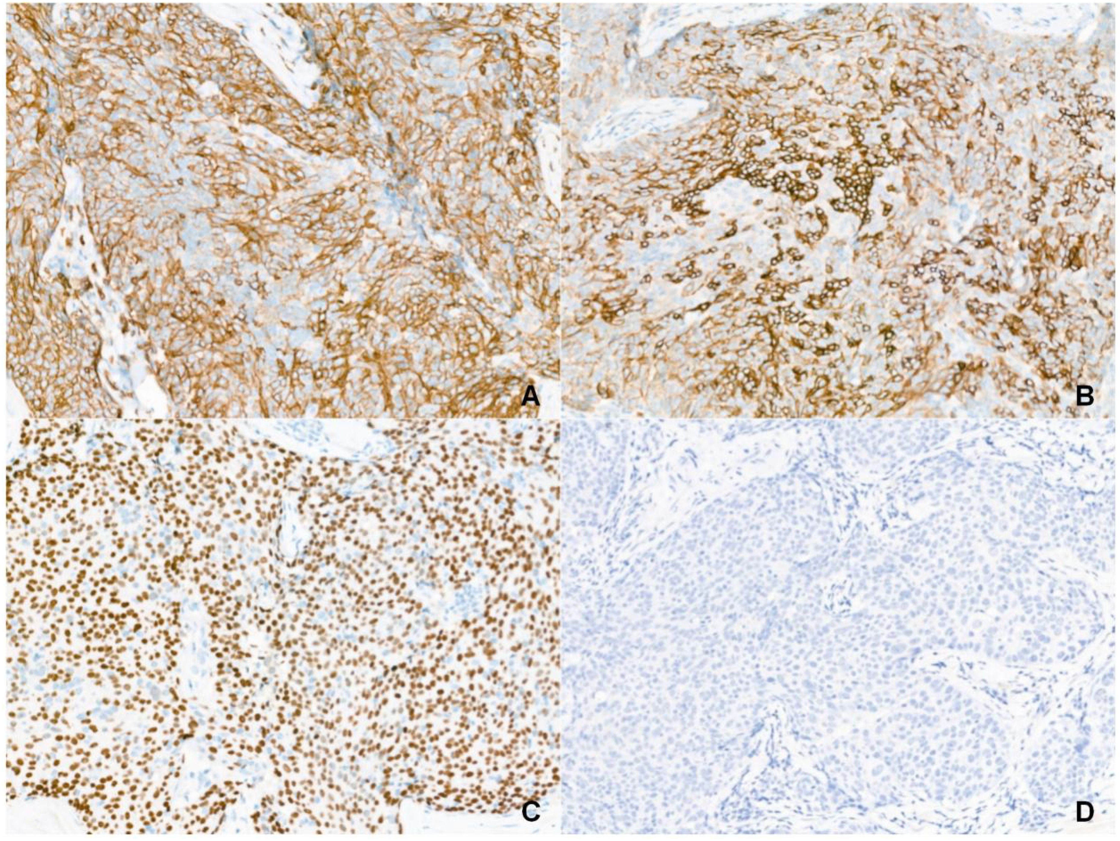
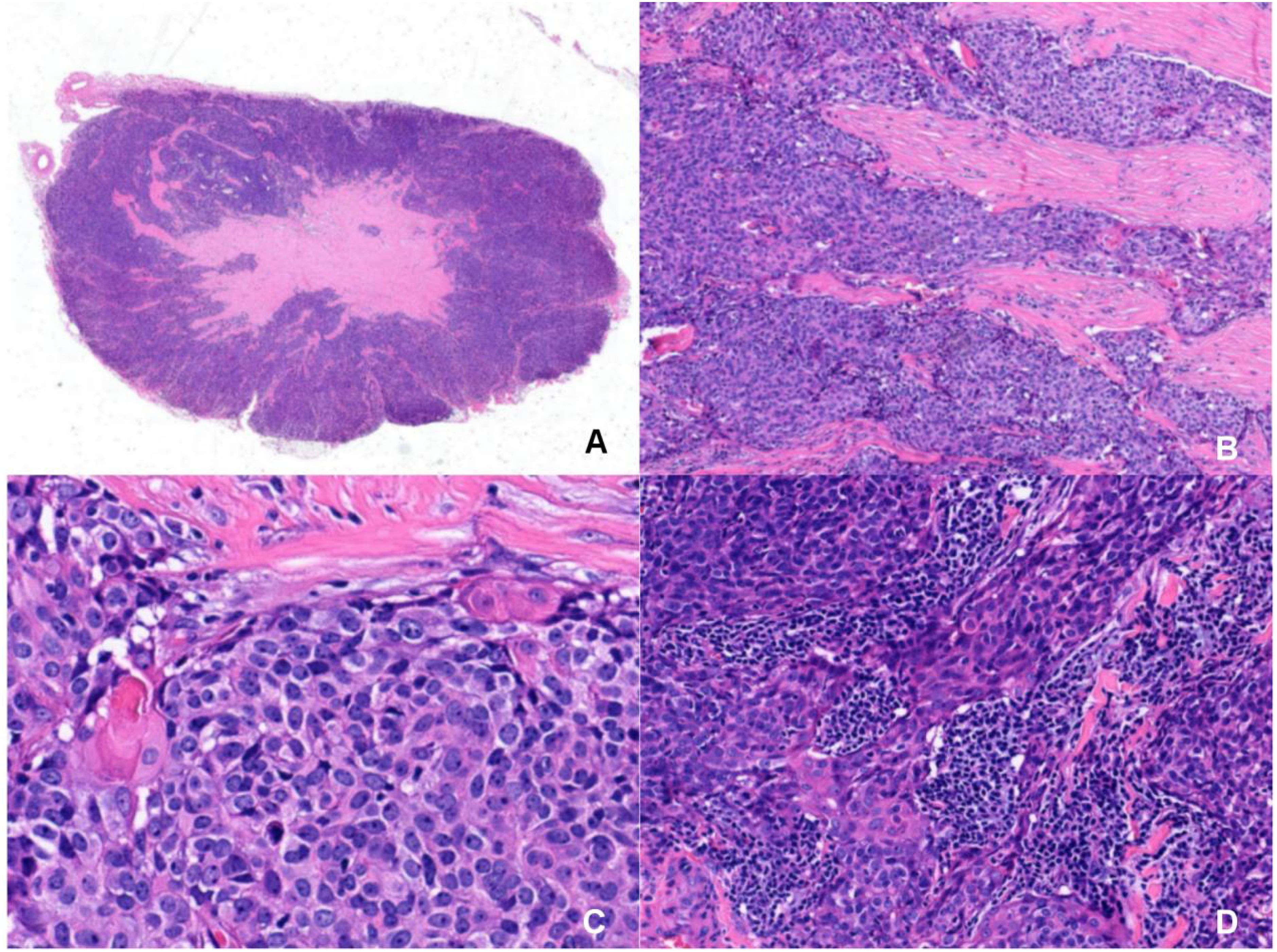
Intrathyroidal thymic carcinoma (ITTC) is a rare malignant tumor that presents significant diagnostic and therapeutic challenges. Herein, we present the case of a 35-year-old woman with a right neck mass initially suspected to originate from the parathyroid but ultimately diagnosed as ITTC. This case illustrates the non-specific clinical manifestations of ITTC, the associated diagnostic difficulties, and emphasizes the essential role of pathological examination in diagnosis and guiding management.
Keywords: intrathyroidal thymic carcinoma, parathyroid tumor, Pathology, Casereport, literature review
Received: 27 Sep 2025; Accepted: 20 Nov 2025.
Copyright: © 2025 Huang, Liu, Zeng, Huang, Lin, Chen, Zhuo, Mei and Guan. This is an open-access article distributed under the terms of the Creative Commons Attribution License (CC BY). The use, distribution or reproduction in other forums is permitted, provided the original author(s) or licensor are credited and that the original publication in this journal is cited, in accordance with accepted academic practice. No use, distribution or reproduction is permitted which does not comply with these terms.
* Correspondence:
Yunyun Mei, 15985997536@163.com
Qing Guan, monique.gq@hotmail.com
Disclaimer: All claims expressed in this article are solely those of the authors and do not necessarily represent those of their affiliated organizations, or those of the publisher, the editors and the reviewers. Any product that may be evaluated in this article or claim that may be made by its manufacturer is not guaranteed or endorsed by the publisher.
