CASE REPORT article
Front. Oncol.
Sec. Thoracic Oncology
This article is part of the Research TopicNovel Theragnostic Approaches in Thoracic MalignanciesView all 7 articles
Favorable Response to Third-Generation TKI Furmonertinib in a Patient with Early-Stage Non-Small Cell Lung Cancer Harboring Rare Compound EGFR Mutations: Exon 18 G719C and Exon 20 S768I — A Case Report
Provisionally accepted- The Affiliated Hospital of Qingdao University, Qingdao, China
Select one of your emails
You have multiple emails registered with Frontiers:
Notify me on publication
Please enter your email address:
If you already have an account, please login
You don't have a Frontiers account ? You can register here
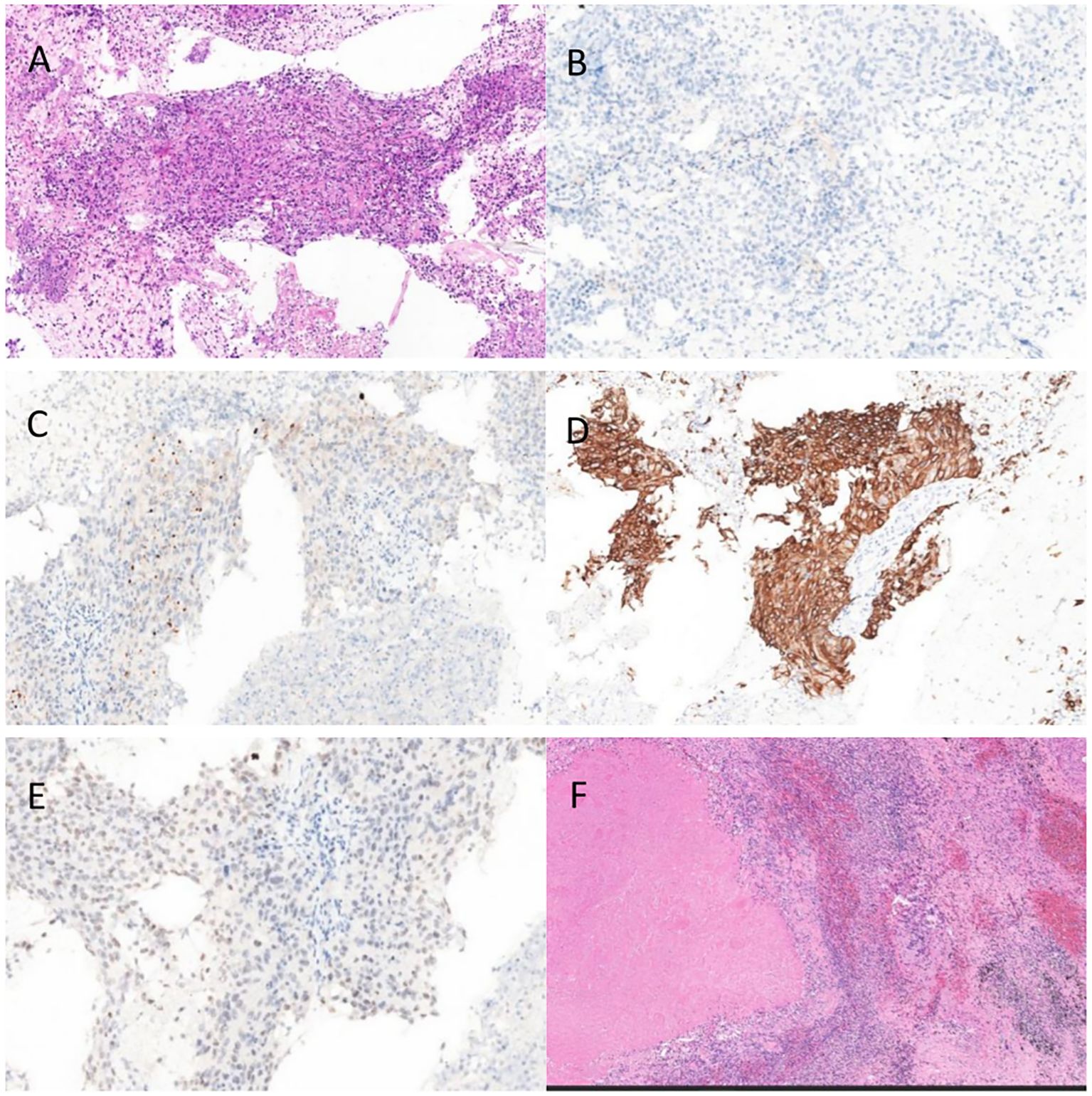
EGFR Exon 19 deletions and exon 21 point mutations of EGFR are the most prevalent alterations in lung adenocarcinoma, and patients with these mutations derive substantial clinical benefit from EGFR tyrosine kinase inhibitors (TKIs). Nevertheless, the therapeutic efficacy of TKIs in rare compound EGFR mutations remains unclear. Here, we describe a case of early-stage non-small cell lung cancer (NSCLC) harboring a G719C+S768I compound mutation that achieved complete remission (CR) following treatment with furmonertinib. These findings suggest that furmonertinib may represent a promising therapeutic option to improve cure rates in this subset of patients.
Keywords: EGFR, EGFR Exon 18 G719C, EGFR exon 20 S768I, EGFR-TKI, furmonertinib, Non-small cell lung cancer
Received: 27 Sep 2025; Accepted: 15 Dec 2025.
Copyright: © 2025 Liu, Zhang, Dong and Wang. This is an open-access article distributed under the terms of the Creative Commons Attribution License (CC BY). The use, distribution or reproduction in other forums is permitted, provided the original author(s) or licensor are credited and that the original publication in this journal is cited, in accordance with accepted academic practice. No use, distribution or reproduction is permitted which does not comply with these terms.
* Correspondence: Yongjie Wang
Disclaimer: All claims expressed in this article are solely those of the authors and do not necessarily represent those of their affiliated organizations, or those of the publisher, the editors and the reviewers. Any product that may be evaluated in this article or claim that may be made by its manufacturer is not guaranteed or endorsed by the publisher.
