CASE REPORT article
Front. Oncol.
Sec. Gastrointestinal Cancers: Colorectal Cancer
This article is part of the Research TopicEmergency Surgery for Abdominal Cancer: Challenges and InnovationView all articles
Masquerading Doughnut: A Case of Misdiagnosed Ileocecal Tumor-Induced Intussusception
Provisionally accepted- 1Shaoxing People's Hospital, Shaoxing, China
- 2Zhejiang University of Technology Zhijiang College, Shaoxing, China
Select one of your emails
You have multiple emails registered with Frontiers:
Notify me on publication
Please enter your email address:
If you already have an account, please login
You don't have a Frontiers account ? You can register here
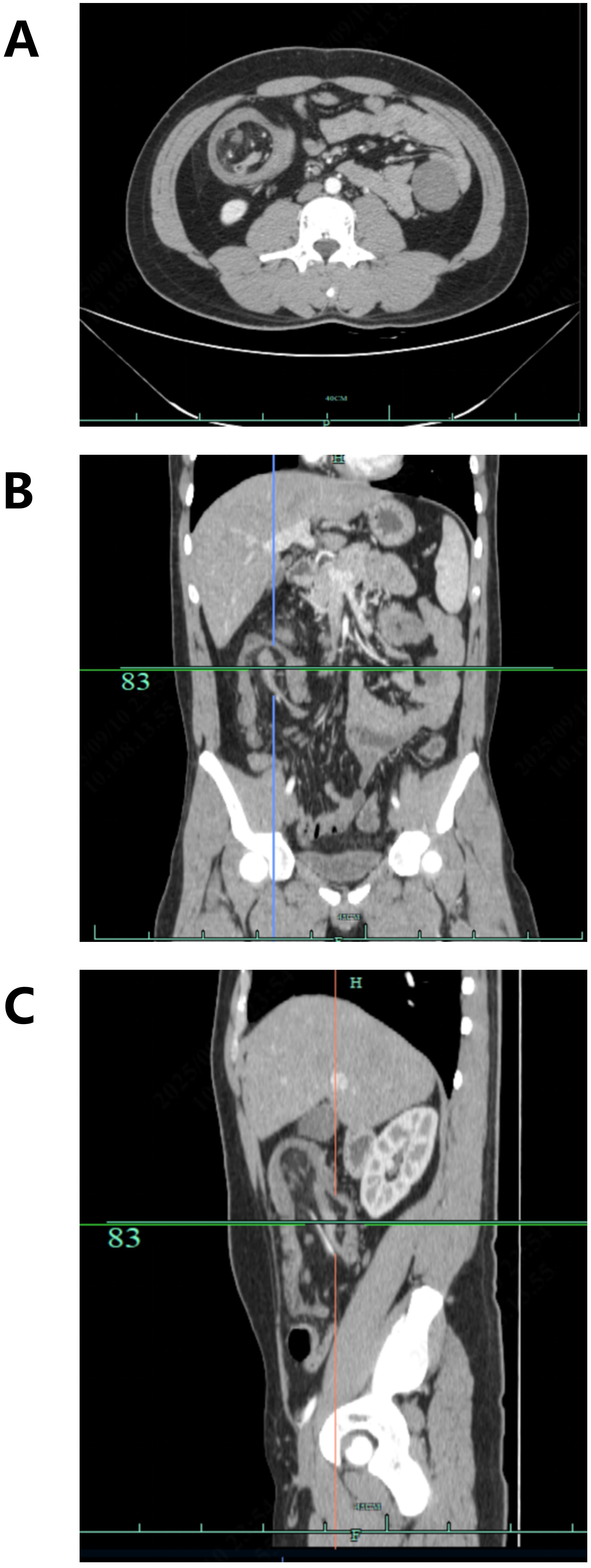
Background: Intussusception in adults is rare and often associated with underlying pathology such as tumors. Its coexistence with colorectal cancer(CRC) in young patients presents unique diagnostic challenges, as imaging may suggest separate lesions rather than a single malignancy. Case presentation: A 21-year-old male presented with worsening right upper and central abdominal pain. The contrast-enhanced abdominal CT suggested that the intussusception at the ileocecal region might be caused by a lipoma and revealed a separate mass in the transverse colon. Emergency laparoscopic exploration and subsequent open laparotomy confirmed a 4.0×5.0 cm cauliflower-like adenocarcinoma originating from the ileocecal region, which had caused the intussusception and mimicked separate pathologies on imaging. Conclusions: This case highlights the diagnostic complexity of synchronous intestinal lesions in young patients. It underscores the need for heightened suspicion of underlying malignancy when encountering intussusception and emphasizes the limitations of imaging in accurately characterizing complex bowel pathology.
Keywords: Colorectal cancer(CRC), Diagnosticchallenges, Intussusception, Occam's razor principle, young adults
Received: 24 Oct 2025; Accepted: 30 Nov 2025.
Copyright: © 2025 Zhang, Xu, Zhu, Dai and Xu. This is an open-access article distributed under the terms of the Creative Commons Attribution License (CC BY). The use, distribution or reproduction in other forums is permitted, provided the original author(s) or licensor are credited and that the original publication in this journal is cited, in accordance with accepted academic practice. No use, distribution or reproduction is permitted which does not comply with these terms.
* Correspondence: Guolin Zhang
Disclaimer: All claims expressed in this article are solely those of the authors and do not necessarily represent those of their affiliated organizations, or those of the publisher, the editors and the reviewers. Any product that may be evaluated in this article or claim that may be made by its manufacturer is not guaranteed or endorsed by the publisher.
