CASE REPORT article
Front. Oncol.
Sec. Breast Cancer
Male Occult Breast Cancer with Features Highly Resembling Primary Lung Cancer: A Case Report and Literature Review
Provisionally accepted- Binzhou Medical University Hospital, Binzhou, China
Select one of your emails
You have multiple emails registered with Frontiers:
Notify me on publication
Please enter your email address:
If you already have an account, please login
You don't have a Frontiers account ? You can register here
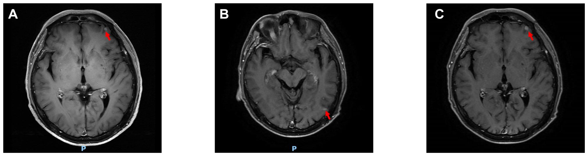
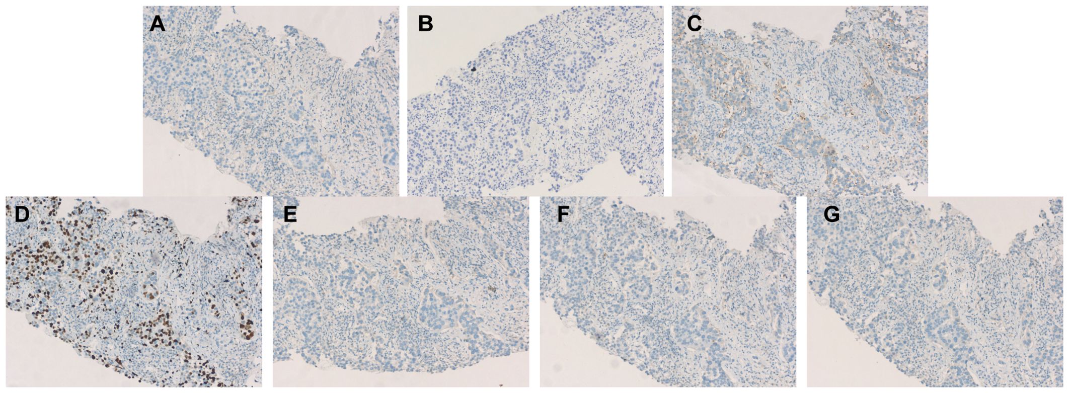
Male breast cancer is an extremely rare form of malignant tumor, and occult breast cancer is also an exceptionally uncommon disease. Given its rarity, diagnosing occult breast cancer in male patients presents significant challenges, and the diagnosis becomes even more difficult when the tumor exhibits characteristics of other neoplasms. For instance, this case report describes a male patient with occult breast cancer presenting with features typical of primary lung cancer. The uniqueness and complexity of this case lie in its clinical presentation: beyond typical axillary lymph node enlargement, the primary imaging feature was an isolated pulmonary mass lesion. This presented significant diagnostic hurdles. For the diagnosis of this case, we administered chemotherapy and intracranial radiotherapy to the patient. Therefore, sharing this rare case aims to heighten clinicians' awareness of differential diagnoses for metastatic cancer with an unknown primary site, particularly when pathological findings of pulmonary lesions do not align with conventional lung cancer markers.
Keywords: Case report5, male breast cancer1, occult breast cancer2, primary lung cancer3, systemic therapy4
Received: 01 Nov 2025; Accepted: 22 Dec 2025.
Copyright: © 2025 Su, Zhao, Liu, Shu, Li, Yang and Li. This is an open-access article distributed under the terms of the Creative Commons Attribution License (CC BY). The use, distribution or reproduction in other forums is permitted, provided the original author(s) or licensor are credited and that the original publication in this journal is cited, in accordance with accepted academic practice. No use, distribution or reproduction is permitted which does not comply with these terms.
* Correspondence: Mianli Li
Disclaimer: All claims expressed in this article are solely those of the authors and do not necessarily represent those of their affiliated organizations, or those of the publisher, the editors and the reviewers. Any product that may be evaluated in this article or claim that may be made by its manufacturer is not guaranteed or endorsed by the publisher.
