CASE REPORT article
Front. Oncol.
Sec. Hematologic Malignancies
This article is part of the Research TopicCase-based Advances in the Understanding of Rare and Unusual Hematologic Malignancies 2025-2026View all 18 articles
Low-Grade B-Cell Non-Hodgkin Lymphoma in the Sternocleidomastoid Muscle: A Case Report and Review of Literature
Provisionally accepted- Jiujiang First People's Hospital, Jiujiang, China
Select one of your emails
You have multiple emails registered with Frontiers:
Notify me on publication
Please enter your email address:
If you already have an account, please login
You don't have a Frontiers account ? You can register here
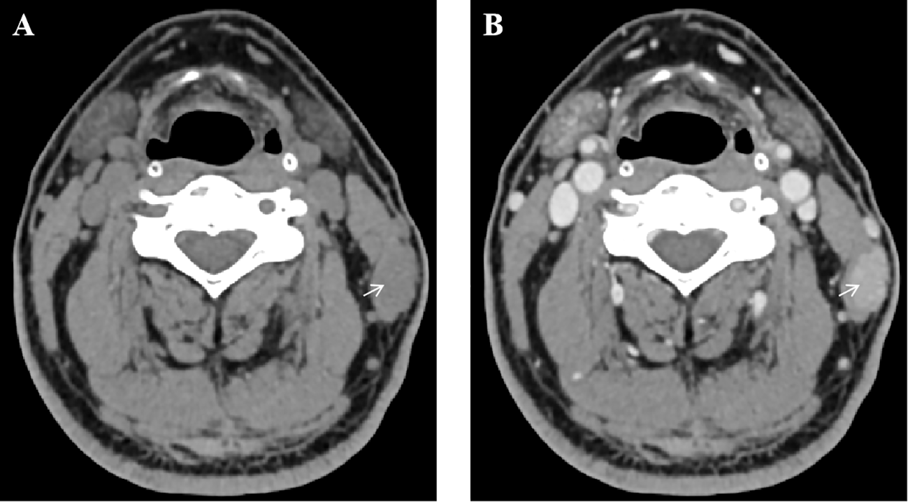
Primary non-Hodgkin lymphoma (NHL) arising in skeletal muscle is exceedingly rare. We present a case of low-grade B-cell NHL involving the sternocleidomastoid muscle . A 67-year-old male presented with an asymptomatic, slowly growing left neck mass. Imaging revealed a 17 mm × 11 mm intramuscular nodule, initially suggestive of a benign lesion. Excisional biopsy demonstrated lymphoid proliferation with muscle infiltration. Immunohistochemistry revealed CD20(+), PAX5(+), BCL2(+), and monoclonal IgH rearrangement, consistent with low-grade B-cell NHL, most likely extranodal marginal zone lymphoma (ENMZL), non-gastric/non-cutaneous type. Staging confirmed Lugano stage I disease. Given the indolent nature, the patient was managed with active surveillance. This case highlights an unusual intramuscular presentation of NHL, emphasizing the importance of histopathological and molecular evaluation for accurate diagnosis and tailored management.
Keywords: Extranodal marginal zone lymphoma (ENMZL), Immunohistochemistry, Intramuscular Lymphoma, Sternocleidomastoid muscle, Watch-and-Wait Management
Received: 12 Oct 2025; Accepted: 04 Feb 2026.
Copyright: © 2026 Peng, Wang and Dai. This is an open-access article distributed under the terms of the Creative Commons Attribution License (CC BY). The use, distribution or reproduction in other forums is permitted, provided the original author(s) or licensor are credited and that the original publication in this journal is cited, in accordance with accepted academic practice. No use, distribution or reproduction is permitted which does not comply with these terms.
* Correspondence: Miao Dai
Disclaimer: All claims expressed in this article are solely those of the authors and do not necessarily represent those of their affiliated organizations, or those of the publisher, the editors and the reviewers. Any product that may be evaluated in this article or claim that may be made by its manufacturer is not guaranteed or endorsed by the publisher.
