CASE REPORT article
Front. Oncol.
Sec. Hematologic Malignancies
This article is part of the Research TopicCase-based Advances in the Understanding of Rare and Unusual Hematologic Malignancies 2025-2026View all 17 articles
Acute Promyelocytic Leukemia with Novel TTMV::RARA Fusion Initially Presenting as Vertebral Myeloid Sarcoma: A Case Report
Provisionally accepted- 1Hebei University of Chinese Medicine, Shijiazhuang, China
- 2Hebei University of Chinese Medicine Hebei Provincial Hospital of Traditional Chinese Medicine, Shijiazhuang, China
- 3Second Outpatient Department of Hebei Provincial Government Offices Administration, shijiazhuang, China
Select one of your emails
You have multiple emails registered with Frontiers:
Notify me on publication
Please enter your email address:
If you already have an account, please login
You don't have a Frontiers account ? You can register here
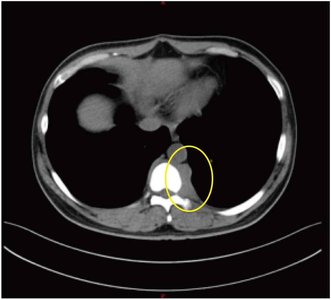
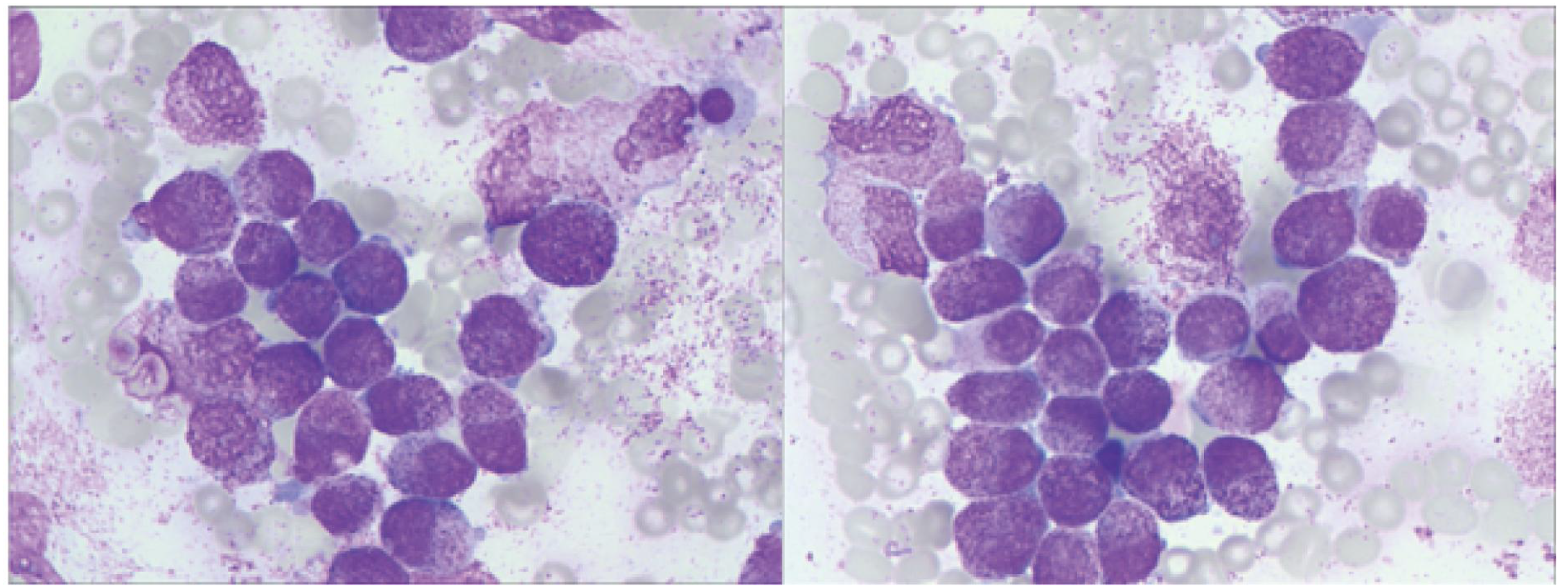
Background Acute promyelocytic leukemia (APL) caused by the TTMV::RARA fusion gene is extremely rare, with fewer than 10 formally reported cases worldwide, and routine molecular tests often fail to detect it. This case is unique because the disease first manifested as vertebral myeloid sarcoma. Although bone marrow morphology and immunophenotyping strongly suggested APL, routine diagnostic methods could not confirm the disease, and the final diagnosis relied on whole- transcriptome sequencing. Case Summary A 39- year- old man was admitted for persistent lower back pain and limited movement of the left lower limb. Imaging revealed destruction of the T9 vertebral body with paravertebral and mediastinal soft- tissue masses. Pathology of the resected mass confirmed myeloid sarcoma. The patient developed pancytopenia and coagulopathy. Bone marrow morphology and flow cytometry showed classic features of APL, and all- trans retinoic acid (ATRA) induction therapy was initiated. However, PML:: RARA PCR and RARa FISH were negative, fusion gene screening and karyotyping found no abnormalities, and the diagnosis was revised to AML, prompting a switch to IA chemotherapy. As the diagnosis remained unclear, whole- transcriptome sequencing was performed and revealed a TTMV::RARA fusion, which was confirmed by RT- PCR. The patient was ultimately diagnosed with TTMV::RARA APL. He later discontinued treatment and died months afterward. Conclusion This report presents a rare adult case of TTMV::RARA acute promyelocytic leukemia presenting as vertebral myeloid sarcoma. Whole-transcriptome sequencing was essential for diagnosis after routine molecular tests were negative, highlighting the importance of considering rare RARA fusions in APL-like cases lacking PML::RARA. TTMV::RARA APL may be sensitive to ATRA/ATO-based therapy; however, the patient discontinued treatment. Further cases and clinical experience are needed to optimize management strategies for this rare APL subtype.
Keywords: Acute promyelocytic leukemia, myeloid sarcoma, TTMV::RARA, Variant APL, whole-transcriptome sequencing
Received: 22 Nov 2025; Accepted: 28 Jan 2026.
Copyright: © 2026 Li, Zhang, Li, Yang, Zhang and li. This is an open-access article distributed under the terms of the Creative Commons Attribution License (CC BY). The use, distribution or reproduction in other forums is permitted, provided the original author(s) or licensor are credited and that the original publication in this journal is cited, in accordance with accepted academic practice. No use, distribution or reproduction is permitted which does not comply with these terms.
* Correspondence:
Nan Zhang
jing li
Disclaimer: All claims expressed in this article are solely those of the authors and do not necessarily represent those of their affiliated organizations, or those of the publisher, the editors and the reviewers. Any product that may be evaluated in this article or claim that may be made by its manufacturer is not guaranteed or endorsed by the publisher.
