Author Selda Aydin was omitted as an author in the published article. The correct author list reads:
“Caroline Anthon1,†, Hugo Pierret1,†, Frederic Houssiau2, Selda Aydin3, Astrid De Cuyper1, Cédric Van Marcke1, Marc Van Den Eynde1, Filomena Mazzeo1, Frank Cornelis1, Rachel Galot1, Francois P Duhoux1, Jean-François Baurain1, Emmanuel Seront 1,*”
Affiliation 3 “Department of Pathology, Cliniques Universitaires Saint-Luc, Brussels, Belgium” was omitted for author Selda Aydin. This affiliation has now been added for author Selda Aydin.
The Author Contributions Statement has been corrected to read: “CA: Writing – review & editing, Writing – original draft. HP: Writing – review & editing, Writing – original draft. FH: Writing – original draft, Writing – review & editing. SA: Writing – original draft, Writing – review & editing. AD: Writing – review & editing, Writing – original draft. CV: Writing – review & editing, Writing – original draft. MV: Writing – review & editing, Writing – original draft. FM: Writing – review & editing, Writing – original draft. FC: Writing – review & editing, Writing – original draft. RG: Writing – original draft, Writing – review & editing. FD: Writing – review & editing, Writing – original draft. J-FB: Writing – review & editing, Writing – original draft. ES: Resources, Investigation, Software, Conceptualization, Funding acquisition, Supervision, Writing – review & editing, Data curation, Project administration, Formal Analysis, Writing – original draft, Validation, Methodology, Visualization”.
There was a mistake in Figure 4 as published. There was two parts in the figure as published. The corrected Figure 4 appears below.
There was a mistake in the caption of Figure 4 as published. The caption has some errors in the published version. The corrected caption of Figure 4 appears below.
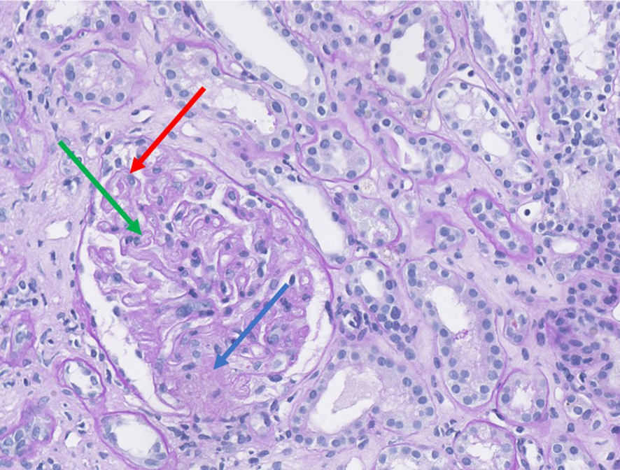
Figure 4

Renal biopsy demonstrating histological features of thrombotic microangiopathy (Periodic Acid–Schiff staining, magnification ×35). The glomeruli exhibit duplication of the glomerular basement membrane (red arrow) associated with endothelial swelling. Segmental ischemic lesion (green arrow) and mesangiolysis (blue arrow) are consistent with acute thrombotic microangiopathy.
“Renal biopsy demonstrating histological features of thrombotic microangiopathy (Periodic Acid–Schiff staining, magnification ×35). The glomeruli exhibit duplication of the glomerular basement membrane (red arrow) associated with endothelial swelling. Segmental ischemic lesion (green arrow) and mesangiolysis (blue arrow) are consistent with acute thrombotic microangiopathy”
The original version of this article has been updated.
Statements
Publisher’s note
All claims expressed in this article are solely those of the authors and do not necessarily represent those of their affiliated organizations, or those of the publisher, the editors and the reviewers. Any product that may be evaluated in this article, or claim that may be made by its manufacturer, is not guaranteed or endorsed by the publisher.
Summary
Keywords
immune checkpoint inhibitor, thrombotic microangiopathy, scleroderma renalcrisis, immune-related adverse event, systemic sclerosis
Citation
Anthon C, Pierret H, Houssiau F, Aydin S, De Cuyper A, Van Marcke C, Van Den Eynde M, Mazzeo F, Cornelis F, Galot R, Duhoux FP, Baurain J-F and Seront E (2026) Correction: A case report of malignant hypertension and multiorgan dysfunction during immunotherapy for gallbladder cancer. Front. Oncol. 16:1771057. doi: 10.3389/fonc.2026.1771057
Received
18 December 2025
Revised
30 December 2025
Accepted
09 January 2026
Published
22 January 2026
Volume
16 - 2026
Edited and reviewed by
Gian Marco Ghiggeri, Giannina Gaslini Institute (IRCCS), Italy
Updates
Copyright
© 2026 Anthon, Pierret, Houssiau, Aydin, De Cuyper, Van Marcke, Van Den Eynde, Mazzeo, Cornelis, Galot, Duhoux, Baurain and Seront.
This is an open-access article distributed under the terms of the Creative Commons Attribution License (CC BY). The use, distribution or reproduction in other forums is permitted, provided the original author(s) and the copyright owner(s) are credited and that the original publication in this journal is cited, in accordance with accepted academic practice. No use, distribution or reproduction is permitted which does not comply with these terms.
*Correspondence: Emmanuel Seront, emmanuel.seront@saintluc.uclouvain.be
†These authors have contributed equally to this work
Disclaimer
All claims expressed in this article are solely those of the authors and do not necessarily represent those of their affiliated organizations, or those of the publisher, the editors and the reviewers. Any product that may be evaluated in this article or claim that may be made by its manufacturer is not guaranteed or endorsed by the publisher.