ORIGINAL RESEARCH article
Front. Pediatr.
Sec. Pediatric Orthopedics
This article is part of the Research TopicFractures and Deformities of the Extremities in Children and Adolescents: Etiology, Diagnosis, and Treatment: 2025View all 16 articles
The necessity of ulnar osteotomy in children with Missed Monteggia Fracture
Provisionally accepted- Children's Hospital of Chongqing Medical University, Chongqing, China
Select one of your emails
You have multiple emails registered with Frontiers:
Notify me on publication
Please enter your email address:
If you already have an account, please login
You don't have a Frontiers account ? You can register here
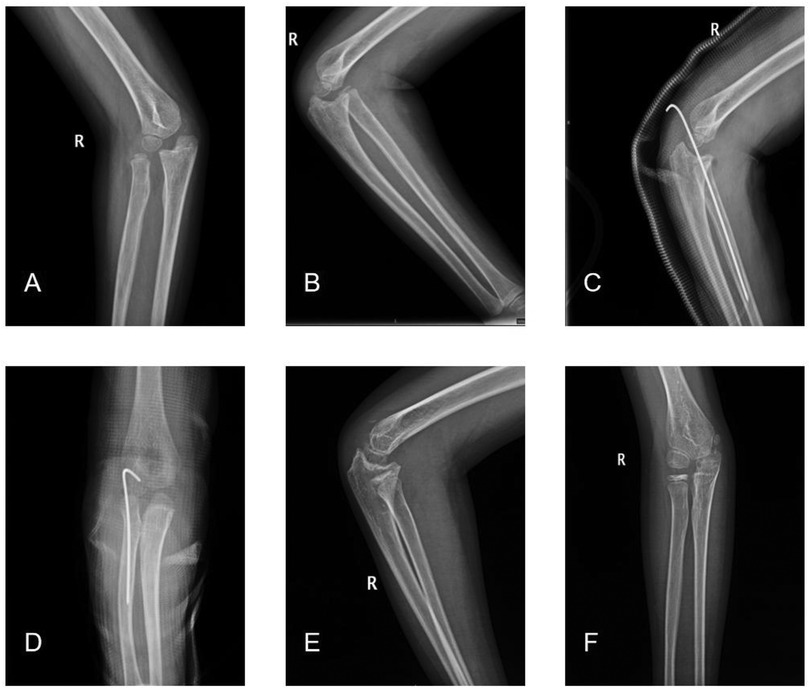
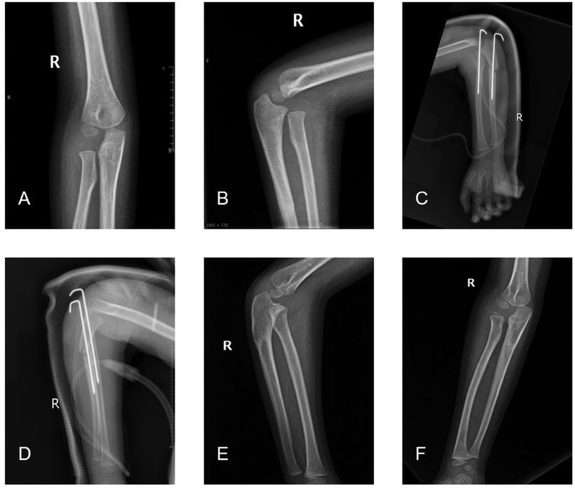
Objective: The aims of this study were to review our cases of missed Monteggia fracture treated by open reduction of the radial head with or without ulnar osteotomy and to investigate the necessity of ulnar osteotomy in surgical treatment of missed Monteggia fracture. Materials and methods: The children were divided into 2 groups according to the surgical methods: patients in group A were treated with Kirschner wire or external fixation after ulnar osteotomy and Kirschner wire fixation after humeroradial joint open reduction. Patients in group B were treated with open reduction of humeroradial joint fixed with Kirschner's wire, and ulna osteotomy was not performed. The imaging results of the most recent postoperative follow-up were evaluated using Nakamura grading criteria, and the elbow function was evaluated using Mayo elbow function score. Results: There were 53 patients in group A and 14 patients in group B. The mean age of children in group A was older than that in group B and the delay time of diagnosis and treatment in group A was longer than that in group B. There was no significant difference in the proportion of excellent postoperative Nakamura score between group A and group B (p>0.05). There was no significant difference in Mayo score of elbow joint after operation between group A and group B (P>0.05). In group A, complications of children were postoperative dislocation of humeroradial joint, broken Kirschner wire of humeroradial joint, occasional mild pain in the elbow joint and the Kirschner wire ends penetrating the subcutaneous tissue which were treated through surgery. In Group B, complications of children were postoperative dislocation of humeroradial joint, broken Kirschner wire of humeroradial joint and myositis ossificans. Conclusion: Ulnar osteotomy is not necessary for all children with missed Monteggia fracture. Open reduction of the humeroradial joint followed by Kirschner wire fixation can be considered as a surgical option for that younger patients with a short duration of delay.
Keywords: Missed Monteggia fractures, Child, Osteotomy, Open reduction, Kirschner wirefixation
Received: 27 May 2025; Accepted: 13 Oct 2025.
Copyright: © 2025 Zhang, zhou, Wang, Zhang, Li, Yao and Liu. This is an open-access article distributed under the terms of the Creative Commons Attribution License (CC BY). The use, distribution or reproduction in other forums is permitted, provided the original author(s) or licensor are credited and that the original publication in this journal is cited, in accordance with accepted academic practice. No use, distribution or reproduction is permitted which does not comply with these terms.
* Correspondence: Xing Liu, liuxingda@126.com
Disclaimer: All claims expressed in this article are solely those of the authors and do not necessarily represent those of their affiliated organizations, or those of the publisher, the editors and the reviewers. Any product that may be evaluated in this article or claim that may be made by its manufacturer is not guaranteed or endorsed by the publisher.
