CASE REPORT article
Front. Pediatr.
Sec. Pediatric Surgery
Giant Congenital transmesenteric hernia in a 6-Month-Old Infant: A Case of Delayed Recognition and Critical Diagnostic Lessons
Provisionally accepted- 1Department of Pediatric Surgery, The First People’s Hospital of Wuhu, Anhui, China
- 2Department of Gastrointestinal Surgery, The First People’s Hospital of Wuhu, Anhui, China
- 3Department of Pediatric Oncology Surgery, Suzhou Hospital, Affiliated to Anhui Medical University, Suzhou, China
Select one of your emails
You have multiple emails registered with Frontiers:
Notify me on publication
Please enter your email address:
If you already have an account, please login
You don't have a Frontiers account ? You can register here
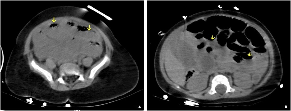
Congenital transmesenteric hernia, a rare internal hernia, is notoriously challenging to diagnose preoperatively due to nonspecific symptoms and inconclusive routine evaluations. In infants, early manifestations such as vomiting, irritability, and diarrhea often mimic acute gastroenteritis, leading to delayed recognition. Without timely intervention, progression to intestinal strangulation, necrosis, and shock significantly escalates treatment complexity and mortality risk. We report a case of a 6-month-old female infant with approximately 131cm of necrotic small bowel secondary to a giant transmesenteric hernia. This case illustrates the clinical trajectory, diagnostic pitfalls, and surgical management, highlighting the imperative for early suspicion and intervention. Critical analysis of this case underscores that prompt surgical correction is pivotal to mitigate morbidity and mortality in such scenarios. Enhanced clinician awareness of this condition and its subtle early signs could improve outcomes in pediatric patients.
Keywords: Congenital transmesenteric hernia, Internal hernia, Acute abdominal pain, Intestinal Obstruction, Infant
Received: 31 May 2025; Accepted: 23 Oct 2025.
Copyright: © 2025 Fang, Wang, Yang and Gao. This is an open-access article distributed under the terms of the Creative Commons Attribution License (CC BY). The use, distribution or reproduction in other forums is permitted, provided the original author(s) or licensor are credited and that the original publication in this journal is cited, in accordance with accepted academic practice. No use, distribution or reproduction is permitted which does not comply with these terms.
* Correspondence: Qun Gao, qlcmb@163.com
Disclaimer: All claims expressed in this article are solely those of the authors and do not necessarily represent those of their affiliated organizations, or those of the publisher, the editors and the reviewers. Any product that may be evaluated in this article or claim that may be made by its manufacturer is not guaranteed or endorsed by the publisher.
