ORIGINAL RESEARCH article
Front. Pediatr.
Sec. Pediatric Orthopedics
This article is part of the Research TopicFractures and Deformities of the Extremities in Children and Adolescents: Etiology, Diagnosis, and Treatment: 2025View all 16 articles
Application Value of Elbow Arthrography in the Treatment of Chronic Radial Head Dislocation in Children
Provisionally accepted- Northwest Women’s and Children’s Hospital, Xian, China
Select one of your emails
You have multiple emails registered with Frontiers:
Notify me on publication
Please enter your email address:
If you already have an account, please login
You don't have a Frontiers account ? You can register here
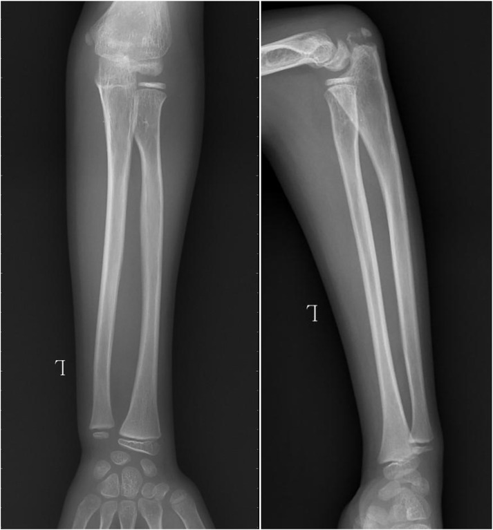
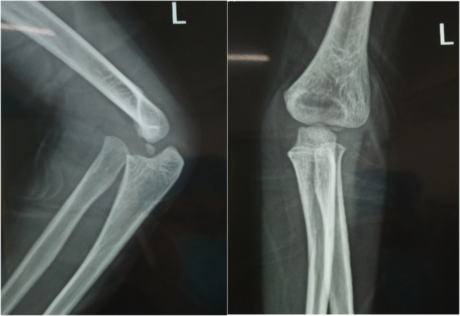
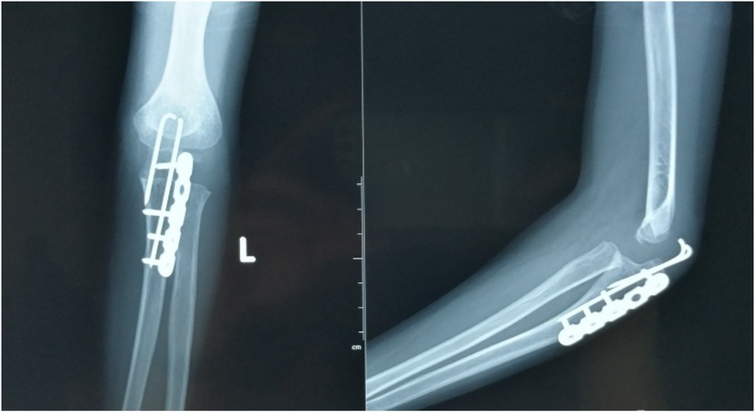
Objective: To investigate and analyze the application value of elbow arthrography in the treatment of chronic radial head dislocation in children. Methods: From January 2014 to January 2017, 15 children with chronic anterior radial head dislocation were treated (11 boys, 4 girls; average age 9 years, range 3-11 years). Intraoperative elbow arthrography was performed to assess the position of the radial head relative to the joint capsule. The nature of the dislocation was confirmed by opening the joint capsule to directly observe the relationship between the radial head and capitellum, as well as the morphology of the radial head. Reduction of the radial head was achieved via proximal ulnar osteotomy, and fixation was performed using a plate and screws with or without Kirschner wires (K-wires). Results: Elbow arthrography showed the radial head was located within the joint capsule in 12 cases and outside the capsule in 3 cases. Among the cases: All 8 congenital dislocations had the radial head within the joint capsule. Of the 7 traumatic dislocations, 4 had the radial head within the capsule and 3 outside. Direct inspection after capsulotomy confirmed the arthrography findings and revealed characteristic morphological differences. In congenital dislocations, there was no scar tissue between the radial head and capitellum, and the radial head fovea was shallow and flat. In traumatic dislocations, obvious scar tissue was present between the radial head and capitellum, and the radial head fovea was distinct. Follow-up ranged from 9 months to 4 years (average 2 years 5 months). Postoperative radiographs showed no cases of radial head re-dislocation or subluxation. Postoperative elbow range of motion improved in all patients, with no reports of pain or functional instability. Conclusion: Elbow arthrography serves as a valuable adjunct for differentiating between congenital and traumatic radial head dislocations, thereby informing both surgical strategy and the decision for supplemental fixation. When stable bony alignment is achieved, proximal ulnar osteotomy without annular ligament reconstruction represents an effective management strategy for chronic radial head dislocation in children.
Keywords: elbow arthrography, Children, Radial head, Dislocation, diagnosis
Received: 12 Jun 2025; Accepted: 30 Oct 2025.
Copyright: © 2025 Jiang and LI. This is an open-access article distributed under the terms of the Creative Commons Attribution License (CC BY). The use, distribution or reproduction in other forums is permitted, provided the original author(s) or licensor are credited and that the original publication in this journal is cited, in accordance with accepted academic practice. No use, distribution or reproduction is permitted which does not comply with these terms.
* Correspondence: Tao  LI, 15777109@qq.com
Disclaimer: All claims expressed in this article are solely those of the authors and do not necessarily represent those of their affiliated organizations, or those of the publisher, the editors and the reviewers. Any product that may be evaluated in this article or claim that may be made by its manufacturer is not guaranteed or endorsed by the publisher.
