ORIGINAL RESEARCH article
Front. Pediatr.
Sec. Pediatric Immunology
Low Lymphocyte Pool and Hydrocephalus as Clinical Features in an Infant with a Postzygotic PIK3CA Variant
Provisionally accepted- 1Institute of Immunology, Hannover Medical School, Hannover, Germany
- 2Cluster of Excellence RESIST (EXC 2155), Hannover Medical School, Hannover, Germany
- 3Department of Human Genetics, Hannover Medical School, Hannover, Germany
- 4Clinical Genetics and Genomic Medicine, University Hospital Würzburg, Würzburg, Germany
- 5Department Neonatology, AUF DER BULT- Children's and Youth Hospital, Hannover, Germany
- 6Department Pediatric Neurology, AUF DER BULT- Children's and Youth Hospital, Hannover, Germany
- 7Department Pediatric Surgery, AUF DER BULT- Children's and Youth Hospital, Hannover, Germany
- 8Department Pediatric Radiology, AUF DER BULT- Children's and Youth Hospital, Hannover, Germany
Select one of your emails
You have multiple emails registered with Frontiers:
Notify me on publication
Please enter your email address:
If you already have an account, please login
You don't have a Frontiers account ? You can register here
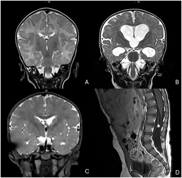
Pathogenic variants in the PIK3CA gene, which encodes the p110-α catalytic subunit of the phosphoinositide 3-kinase (PI3K), are commonly associated with overgrowth syndromes and cancer. We report a patient with the point variant c.1030G>A p.(Val344Met) in the PIK3CA gene who presented shortly after birth with viral sepsis and and severe lymphopenia, followed by colonic perforations. Histopathology showed ulcerative necrotizing colitis with lymphatic vascular malformation. The patient subsequently developed hydrocephalus requiring a ventriculoperitoneal shunt, complicated by refractory ascites that resolved with acetazolamide therapy. Awareness of the potential disease spectrum through early molecular diagnosis, combined with a comprehensive immunologic evaluation, enabled individualized management via closer clinical monitoring and timely interventions to prevent and control neurological and infectious complications. This case highlights the phenotypic heterogeneity of PIK3CA pathogenic variants and the importance of early precision medicine in pediatric care.
Keywords: PIK3CA gene mutation, severe lymphopenia, intern hydrocephalus, intestinal vascular malformation, Necrotizing enterocolitis (NEC)
Received: 19 Jun 2025; Accepted: 28 Oct 2025.
Copyright: © 2025 Léon-Lara, Ravens, Von Hardenberg, Auber, Bergmann, Ospina, Guthmann, Wübbena, Brechler, Weidemann and Richter. This is an open-access article distributed under the terms of the Creative Commons Attribution License (CC BY). The use, distribution or reproduction in other forums is permitted, provided the original author(s) or licensor are credited and that the original publication in this journal is cited, in accordance with accepted academic practice. No use, distribution or reproduction is permitted which does not comply with these terms.
* Correspondence: Manuela Friederike Richter, richter@hka.de
Disclaimer: All claims expressed in this article are solely those of the authors and do not necessarily represent those of their affiliated organizations, or those of the publisher, the editors and the reviewers. Any product that may be evaluated in this article or claim that may be made by its manufacturer is not guaranteed or endorsed by the publisher.
